HLA-DRB1 Antibody, Biotin conjugated
-
中文名稱:HLA-DRB1兔多克隆抗體, Biotin偶聯
-
貨號:CSB-PA17949D0Rb
-
規格:¥1100
-
圖片:
-
其他:
產品詳情
-
產品名稱:Rabbit anti-Human HLA-DRB1 Polyclonal antibody
-
Uniprot No.:
-
基因名:
-
別名:HLA class II histocompatibility antigen, DRB1-3 chain (Clone P2-beta-3) (MHC class II antigen DRB1*3), HLA-DRB1
-
宿主:Rabbit
-
反應種屬:Human
-
免疫原:Recombinant Human HLA class II histocompatibility antigen, DRB1-3 chain protein (31-266AA)
-
免疫原種屬:Human
-
標記方式:Biotin
-
克隆類型:Polyclonal
-
抗體亞型:IgG
-
純化方式:>95%, Protein G purified
-
濃度:It differs from different batches. Please contact us to confirm it.
-
保存緩沖液:Preservative: 0.03% Proclin 300
Constituents: 50% Glycerol, 0.01M PBS, PH 7.4 -
產品提供形式:Liquid
-
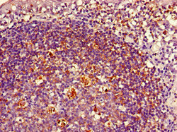
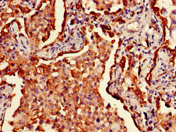
應用范圍:ELISA, IHC
-
推薦稀釋比:
Application Recommended Dilution IHC 1:20-1:200 -
Protocols:
-
儲存條件:Upon receipt, store at -20°C or -80°C. Avoid repeated freeze.
-
貨期:Basically, we can dispatch the products out in 1-3 working days after receiving your orders. Delivery time maybe differs from different purchasing way or location, please kindly consult your local distributors for specific delivery time.
-
用途:For Research Use Only. Not for use in diagnostic or therapeutic procedures.
相關產品
Most popular with customers
-
-
YWHAB Recombinant Monoclonal Antibody
Applications: ELISA, WB, IHC, IF, FC
Species Reactivity: Human, Mouse, Rat
-
Phospho-YAP1 (S127) Recombinant Monoclonal Antibody
Applications: ELISA, WB, IHC
Species Reactivity: Human
-
-
-
-
-















