HLA-C Antibody
-
中文名稱:HLA-C兔多克隆抗體
-
貨號:CSB-PA15099A0Rb
-
規格:¥440
-
圖片:
-
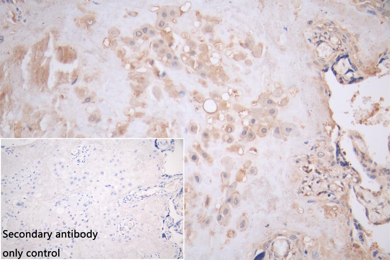
IHC image of CSB-PA15099A0Rb diluted at 1:400 and staining in paraffin-embedded human placenta tissue performed on a Leica BondTM system. After dewaxing and hydration, antigen retrieval was mediated by high pressure in a citrate buffer (pH 6.0). Section was blocked with 10% normal goat serum 30min at RT. Then primary antibody (1% BSA) was incubated at 4°C overnight. The primary is detected by a Goat anti-rabbit polymer IgG labeled by HRP and visualized using 0.05% DAB. Secondary antibody only control: uses 1% BSA instead of primary antibody
-
Immunofluorescence staining of Hela cell with CSB-PA15099A0Rb at 1:80, counter-stained with DAPI. The cells were fixed in 4% formaldehyde and blocked in 10% normal Goat Serum. The cells were then incubated with the antibody overnight at 4C. The secondary antibody was Alexa Fluor 488-congugated AffiniPure Goat Anti-Rabbit IgG(H+L).
-
Immunofluorescence staining of Hela cell with 5% goat serum, counter-stained with DAPI. The cells were fixed in 4% formaldehyde and blocked in 10% normal Goat Serum. The cells were then incubated with the antibody overnight at 4C. The secondary antibody was Alexa Fluor 488-congugated AffiniPure Goat Anti-Rabbit IgG(H+L).
-
Western Blot
Positive WB detected in: Hela whole cell lysate, A549 whole cell lysate, HepG2 whole cell lysate, A431 whole cell lysate
All lanes: HLA-C antibody at 1:1000
Secondary
Goat polyclonal to rabbit IgG at 1/50000 dilution
Predicted band size: 41 kDa
Observed band size: 41 kDa
-
-
其他:
產品詳情
-
產品描述:HLA-C polyclonal antibody CSB-PA15099A0Rb was produced in the rabbit immunized by using the Recombinant Human HLA-C protein (25-308AA) as the immunogen. The target protein HLA-C belongs to the HLA class I heavy chain paralogues. This class I molecule is a heterodimer consisting of a heavy chain and a light chain. Class I molecules play a critical role in the immune system by presenting peptides derived from endoplasmic reticulum lumen. Diseases associated with HLA-C include Psoriasis 1 and Human Immunodeficiency Virus Type 1.
This Rabbit anti-Homo sapiens (Human) HLA-C Polyclonal antibody was tested in the ELISA, WB, IHC and IF applications. The non-conjugated IgG got purified by protein G and reached up to 95% in purity. It only reacts with the HLA-C proteins of human-origin and may be used to detect the endogenous levels of HLA-C protein. -
Uniprot No.:
-
宿主:Rabbit
-
反應種屬:Human
-
免疫原:Recombinant Human HLA-C protein (25-308AA)
-
免疫原種屬:Homo sapiens (Human)
-
標記方式:Non-conjugated
本頁面中的產品,HLA-C Antibody (CSB-PA15099A0Rb),的標記方式是Non-conjugated。對于HLA-C Antibody,我們還提供其他標記。見下表:
-
克隆類型:Polyclonal
-
抗體亞型:IgG
-
純化方式:>95%, Protein G purified
-
濃度:It differs from different batches. Please contact us to confirm it.
-
保存緩沖液:Preservative: 0.03% Proclin 300
Constituents: 50% Glycerol, 0.01M PBS, PH 7.4 -
產品提供形式:Liquid
-
應用范圍:ELISA, WB, IHC, IF
-
推薦稀釋比:
Application Recommended Dilution WB 1:1000-1:5000 IHC 1:200-1:500 IF 1:50-1:200 -
Protocols:
-
儲存條件:Upon receipt, store at -20°C or -80°C. Avoid repeated freeze.
-
貨期:Basically, we can dispatch the products out in 1-3 working days after receiving your orders. Delivery time maybe differs from different purchasing way or location, please kindly consult your local distributors for specific delivery time.
-
用途:For Research Use Only. Not for use in diagnostic or therapeutic procedures.
相關產品
Most popular with customers
-
YWHAB Recombinant Monoclonal Antibody
Applications: ELISA, WB, IHC, IF, FC
Species Reactivity: Human, Mouse, Rat
-
Phospho-YAP1 (S127) Recombinant Monoclonal Antibody
Applications: ELISA, WB, IHC
Species Reactivity: Human
-
-
-
-
-
-















