HKDC1 Antibody
-
中文名稱:HKDC1兔多克隆抗體
-
貨號:CSB-PA647983LA01HU
-
規格:¥440
-
圖片:
-
Western blot
All lanes: HKDC1 antibody at 4µg/ml + U87 whole cell lysate
Secondary
Goat polyclonal to rabbit IgG at 1/10000 dilution
Predicted band size: 103, 91, 83 kDa
Observed band size: 103 kDa -
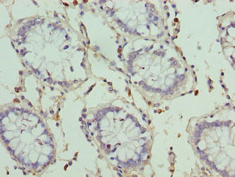
Immunohistochemistry of paraffin-embedded human colon cancer using CSB-PA647983LA01HU at dilution of 1:100
-
-
其他:
產品詳情
-
產品名稱:Rabbit anti-Homo sapiens (Human) HKDC1 Polyclonal antibody
-
Uniprot No.:
-
基因名:
-
別名:BC016235 antibody; Hexokinase domain containing 1 antibody; Hexokinase domain-containing protein 1 antibody; Hkdc1 antibody; HKDC1_HUMAN antibody; Putative hexokinase HKDC1 antibody
-
宿主:Rabbit
-
反應種屬:Human
-
免疫原:Recombinant Human Putative hexokinase HKDC1 protein (129-427AA)
-
免疫原種屬:Homo sapiens (Human)
-
標記方式:Non-conjugated
本頁面中的產品,HKDC1 Antibody (CSB-PA647983LA01HU),的標記方式是Non-conjugated。對于HKDC1 Antibody,我們還提供其他標記。見下表:
-
克隆類型:Polyclonal
-
抗體亞型:IgG
-
純化方式:>95%, Protein G purified
-
濃度:It differs from different batches. Please contact us to confirm it.
-
保存緩沖液:Preservative: 0.03% Proclin 300
Constituents: 50% Glycerol, 0.01M PBS, PH 7.4 -
產品提供形式:Liquid
-
應用范圍:ELISA, WB, IHC
-
推薦稀釋比:
Application Recommended Dilution WB 1:1000-1:5000 IHC 1:20-1:200 -
Protocols:
-
儲存條件:Upon receipt, store at -20°C or -80°C. Avoid repeated freeze.
-
貨期:Basically, we can dispatch the products out in 1-3 working days after receiving your orders. Delivery time maybe differs from different purchasing way or location, please kindly consult your local distributors for specific delivery time.
-
用途:For Research Use Only. Not for use in diagnostic or therapeutic procedures.
相關產品
靶點詳情
-
功能:Catalyzes the phosphorylation of hexose to hexose 6-phosphate, although at very low level compared to other hexokinases. Has low glucose phosphorylating activity compared to other hexokinases. Involved in glucose homeostasis and hepatic lipid accumulation. Required to maintain whole-body glucose homeostasis during pregnancy; however additional evidences are required to confirm this role.
-
基因功能參考文獻:
- results suggest a conditional regulation of KRT16 gene by ATF4 that may be inhibited in normal cells, but engaged during cancer progression. Potential roles of KRT16, FAM129A and HKDC1 genes upregulation in adaptive stress responses and pathologies are discussed PMID: 29420561
- Segregation analysis revealed that variants c.475T>G in SKP1, c.671G>A in PROB1, and c.527G>A in IL17B in the 5q31.1-q35.3 linkage region, and c.850G>A in HKDC1 in the 10q22 locus completely segregated with the phenotype in the studied Keratoconus family PMID: 27703147
- Association of HKDC1 genetic variants with susceptibility to gestational diabetes mellitus. PMID: 27346736
- Data identified two novel genome-wide significant associations: 2-h plasma glucose and HKDC1, and fasting C-peptide and BACE2. PMID: 23903356
-
亞細胞定位:Mitochondrion membrane; Peripheral membrane protein.
-
蛋白家族:Hexokinase family
-
組織特異性:Widely expressed. Highly expressed in the brush border, surface epithelium and the myenteric plexus of the small and large intestines; the acinar centrocytes and interlobular ducts of the pancreas; and the alveolar macrophages in the lungs (at protein lev
-
數據庫鏈接:
Most popular with customers
-
-
YWHAB Recombinant Monoclonal Antibody
Applications: ELISA, WB, IHC, IF, FC
Species Reactivity: Human, Mouse, Rat
-
Phospho-YAP1 (S127) Recombinant Monoclonal Antibody
Applications: ELISA, WB, IHC
Species Reactivity: Human
-
-
-
-
-















