HIST1H3A (Ab-45) Antibody
-
中文名稱:HIST1H3A (Ab-45)兔多克隆抗體
-
貨號:CSB-PA010418OA45nphHU
-
規格:¥660
-
圖片:
-
Western Blot
Positive WB detected in: Jurkat whole cell lysate, 293 whole cell lysate, HepG2 whole cell lysate, Mouse kidney tissue
All lanes: HIST1H3A antibody at 0.64µg/ml
Secondary
Goat polyclonal to rabbit IgG at 1/50000 dilution
Predicted band size: 16 kDa
Observed band size: 16 kDa -
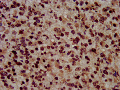
IHC image of CSB-PA010418OA45nphHU diluted at 1:100 and staining in paraffin-embedded human glioma performed on a Leica BondTM system. After dewaxing and hydration, antigen retrieval was mediated by high pressure in a citrate buffer (pH 6.0). Section was blocked with 10% normal goat serum 30min at RT. Then primary antibody (1% BSA) was incubated at 4°C overnight. The primary is detected by a biotinylated secondary antibody and visualized using an HRP conjugated SP system.
-
IHC image of CSB-PA010418OA45nphHU diluted at 1:100 and staining in paraffin-embedded human melanoma performed on a Leica BondTM system. After dewaxing and hydration, antigen retrieval was mediated by high pressure in a citrate buffer (pH 6.0). Section was blocked with 10% normal goat serum 30min at RT. Then primary antibody (1% BSA) was incubated at 4°C overnight. The primary is detected by a biotinylated secondary antibody and visualized using an HRP conjugated SP system.
-
Immunofluorescence staining of Hela cells with CSB-PA010418OA45nphHU at 1:5, counter-stained with DAPI. The cells were fixed in 4% formaldehyde, permeabilized using 0.2% Triton X-100 and blocked in 10% normal Goat Serum. The cells were then incubated with the antibody overnight at 4°C. The secondary antibody was Alexa Fluor 488-congugated AffiniPure Goat Anti-Rabbit IgG(H+L).
-
-
其他:
產品詳情
-
產品名稱:Rabbit anti-Homo sapiens (Human) HIST1H3A Polyclonal antibody
-
Uniprot No.:
-
基因名:
-
別名:H3 histone family member E pseudogene antibody; H3 histone family; member A antibody; H3/A antibody; H31_HUMAN antibody; H3F3 antibody; H3FA antibody; Hist1h3a antibody; HIST1H3B antibody; HIST1H3C antibody; HIST1H3D antibody; HIST1H3E antibody; HIST1H3F antibody; HIST1H3G antibody; HIST1H3H antibody; HIST1H3I antibody; HIST1H3J antibody; HIST3H3 antibody; histone 1; H3a antibody; Histone cluster 1; H3a antibody; Histone H3 3 pseudogene antibody; Histone H3.1 antibody; Histone H3/a antibody; Histone H3/b antibody; Histone H3/c antibody; Histone H3/d antibody; Histone H3/f antibody; Histone H3/h antibody; Histone H3/i antibody; Histone H3/j antibody; Histone H3/k antibody; Histone H3/l antibody
-
宿主:Rabbit
-
反應種屬:Human, Mouse
-
免疫原:Peptide sequence around site of Thr (45) derived from Human Histone H3.1
-
免疫原種屬:Homo sapiens (Human)
-
標記方式:Non-conjugated
-
克隆類型:Polyclonal
-
抗體亞型:IgG
-
純化方式:Antigen Affinity Purified
-
濃度:It differs from different batches. Please contact us to confirm it.
-
保存緩沖液:Preservative: 0.03% Proclin 300
Constituents: 50% Glycerol, 0.01M PBS, pH 7.4 -
產品提供形式:Liquid
-
應用范圍:ELISA, WB, IHC, IF
-
推薦稀釋比:
Application Recommended Dilution WB 1:100-1:1000 IHC 1:20-1:200 IF 1:1-1:10 -
Protocols:
-
儲存條件:Upon receipt, store at -20°C or -80°C. Avoid repeated freeze.
-
貨期:Basically, we can dispatch the products out in 1-3 working days after receiving your orders. Delivery time maybe differs from different purchasing way or location, please kindly consult your local distributors for specific delivery time.
-
用途:For Research Use Only. Not for use in diagnostic or therapeutic procedures.
相關產品
靶點詳情
-
功能:Core component of nucleosome. Nucleosomes wrap and compact DNA into chromatin, limiting DNA accessibility to the cellular machineries which require DNA as a template. Histones thereby play a central role in transcription regulation, DNA repair, DNA replication and chromosomal stability. DNA accessibility is regulated via a complex set of post-translational modifications of histones, also called histone code, and nucleosome remodeling.
-
基因功能參考文獻:
- Data indicate the mechanism for epigenetic regulation in cancer by inducing E3 ubiquitin ligase NEDD4-dependent histone H3 ubiquitination. PMID: 28300060
- the identification of increased expression of H3K27me3 during a patient's clinical course can be helpful for determining whether the tumors are heterochronous PMID: 29482987
- Here, we report that JMJD5, a Jumonji C (JmjC) domain-containing protein, is a Cathepsin L-type protease that mediates histone H3 N-tail proteolytic cleavage under stress conditions that cause a DNA damage response. PMID: 28982940
- Data suggest that Ki-67 antigen proliferative index has important limitations and hhosphohistone H3 (PHH3) is an alternative proliferative marker. PMID: 29040195
- These results identify cytokine-induced histone 3 lysine 27 trimethylation as a mechanism that stabilizes gene silencing in macrophages PMID: 27653678
- This data indicates that, in the early developing human brain, HIST1H3B constitutes the largest proportion of H3.1 transcripts among H3.1 isoforms. PMID: 27251074
- This series of 47 diffuse midline gliomas, histone H3-K27M mutation was mutually exclusive with IDH1-R132H mutation and EGFR amplification, rarely co-occurred with BRAF-V600E mutation, and was commonly associated with p53 overexpression, ATRX loss, and monosomy 10. Among these K27M+ diffuse midline gliomas. PMID: 26517431
- Data show that histone chaperone HIRA co-localizes with viral genomes, binds to incoming viral and deposits histone H3.3 onto these. PMID: 28981850
- These experiments showed that PHF13 binds specifically to DNA and to two types of histone H3 methyl tags (lysine 4-tri-methyl or lysine 4-di-methyl) where it functions as a transcriptional co-regulator. PMID: 27223324
- Hemi-methylated CpGs DNA recognition activates UHRF1 ubiquitylation towards multiple lysines on the H3 tail adjacent to the UHRF1 histone-binding site. PMID: 27595565
- We describe, for the first time, the MR imaging features of pediatric diffuse midline gliomas with histone H3 K27M mutation PMID: 28183840
- Approximately 30% of pediatric high grade gliomas (pedHGG) including GBM and DIPG harbor a lysine 27 mutation (K27M) in histone 3.3 (H3.3) which is correlated with poor outcome and was shown to influence EZH2 function. PMID: 27135271
- H3F3A K27M mutation in adult cerebellar HGG is not rare. PMID: 28547652
- Data show that lysyl oxidase-like 2 (LOXL2) is a histone modifier enzyme that removes trimethylated lysine 4 (K4) in histone H3 (H3K4me3) through an amino-oxidase reaction. PMID: 27735137
- Histone H3 lysine 9 (H3K9) acetylation was most prevalent when the Dbf4 transcription level was highest whereas the H3K9me3 level was greatest during and just after replication. PMID: 27341472
- SPOP-containing complex regulates SETD2 stability and H3K36me3-coupled alternative splicing. PMID: 27614073
- Data suggest that binding of helical tail of histone 3 (H3) with PHD ('plant homeodomain') fingers of BAZ2A or BAZ2B (bromodomain adjacent to zinc finger domain 2A or 2B) requires molecular recognition of secondary structure motifs within H3 tail and could represent an additional layer of regulation in epigenetic processes. PMID: 28341809
- The results demonstrate a novel mechanism by which Kdm4d regulates DNA replication by reducing the H3K9me3 level to facilitate formation of preinitiation complex. PMID: 27679476
- Histone H3 modifications caused by traffic-derived airborne particulate matter exposures in leukocytes PMID: 27918982
- A key role of persistent histone H3 serine 10 or serine 28 phosphorylation in chemical carcinogenesis through regulating gene transcription of DNA damage response genes PMID: 27996159
- hTERT promoter mutations are frequent in medulloblastoma and are associated with older patients, prone to recurrence and located in the right cerebellar hemisphere. On the other hand, histone 3 mutations do not seem to be present in medulloblastoma. PMID: 27694758
- AS1eRNA-driven DNA looping and activating histone modifications promote the expression of DHRS4-AS1 to economically control the DHRS4 gene cluster. PMID: 26864944
- Data suggest that nuclear antigen Sp100C is a multifaceted histone H3 methylation and phosphorylation sensor. PMID: 27129259
- The authors propose that histone H3 threonine 118 phosphorylation via Aurora-A alters the chromatin structure during specific phases of mitosis to promote timely condensin I and cohesin disassociation, which is essential for effective chromosome segregation. PMID: 26878753
- Hemi-methylated DNA opens a closed conformation of UHRF1 to facilitate its H3 histone recognition. PMID: 27045799
- Functional importance of H3K9me3 in hypoxia, apoptosis and repression of APAK. PMID: 25961932
- Taken together, the authors verified that histone H3 is a real substrate for GzmA in vivo in the Raji cells treated by staurosporin. PMID: 26032366
- We conclude that circulating H3 levels correlate with mortality in sepsis patients and inversely correlate with antithrombin levels and platelet counts. PMID: 26232351
- Data show that double mutations on the residues in the interface (L325A/D328A) decreases the histone H3 H3K4me2/3 demethylation activity of lysine (K)-specific demethylase 5B (KDM5B). PMID: 24952722
- Data indicate that minichromosome maintenance protein 2 (MCM2) binding is not required for incorporation of histone H3.1-H4 into chromatin but is important for stability of H3.1-H4. PMID: 26167883
- Data suggest that histone H3 lysine methylation (H3K4me3) serves a crucial mechanistic role in leukemia stem cell (LSC) maintenance PMID: 26190263
- PIP5K1A modulates ribosomal RNA gene silencing through its interaction with histone H3 lysine 9 trimethylation and heterochromatin protein HP1-alpha. PMID: 26157143
- Data indicate that the lower-resolution mass spectrometry instruments can be utilized for histone post-translational modifications (PTMs) analysis. PMID: 25325711
- Data indicate that inhibition of lysine-specific demethylase 1 activity prevented IL-1beta-induced histone H3 lysine 9 (H3K9) demethylation at microsomal prostaglandin E synthase 1 (mPGES-1) promoter. PMID: 24886859
- The authors report that de novo CENP-A assembly and kinetochore formation on human centromeric alphoid DNA arrays is regulated by a histone H3K9 acetyl/methyl balance. PMID: 22473132
顯示更多
收起更多
-
相關疾病:Glioma (GLM)
-
亞細胞定位:Nucleus. Chromosome.
-
蛋白家族:Histone H3 family
-
數據庫鏈接:
Most popular with customers
-
-
Phospho-YAP1 (S127) Recombinant Monoclonal Antibody
Applications: ELISA, WB, IHC
Species Reactivity: Human
-
-
-
-
-
-















