HIST1H2BC (Ab-12) Antibody
-
中文名稱:HIST1H2BC (Ab-12)兔多克隆抗體
-
貨號:CSB-PA010403OA12nbutHU
-
規格:¥660
-
圖片:
-
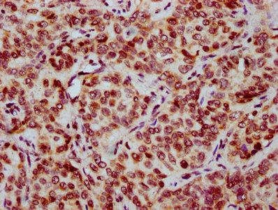
IHC image of CSB-PA010403OA12nbutHU diluted at 1:20 and staining in paraffin-embedded human liver cancer performed on a Leica BondTM system. After dewaxing and hydration, antigen retrieval was mediated by high pressure in a citrate buffer (pH 6.0). Section was blocked with 10% normal goat serum 30min at RT. Then primary antibody (1% BSA) was incubated at 4°C overnight. The primary is detected by a biotinylated secondary antibody and visualized using an HRP conjugated SP system.
-
Immunofluorescence staining of HepG2 cells with CSB-PA010403OA12nbutHU at 1:1, counter-stained with DAPI. The cells were fixed in 4% formaldehyde, permeabilized using 0.2% Triton X-100 and blocked in 10% normal Goat Serum. The cells were then incubated with the antibody overnight at 4°C. The secondary antibody was Alexa Fluor 488-congugated AffiniPure Goat Anti-Rabbit IgG(H+L).
-
-
其他:
產品詳情
-
產品名稱:Rabbit anti-Homo sapiens (Human) HIST1H2BC Polyclonal antibody
-
Uniprot No.:
-
基因名:HIST1H2BC
-
別名:H2BC4 antibody; H2BFL antibody; HIST1H2BC; antibody; H2BC6 antibody; H2BFH antibody; HIST1H2BE; antibody; H2BC7 antibody; H2BFG antibody; HIST1H2BF; antibody; H2BC8 antibody; H2BFA antibody; HIST1H2BG; antibody; H2BC10 antibody; H2BFK antibody; HIST1H2BIHistone H2B type 1-C/E/F/G/I antibody; Histone H2B.1 A antibody; Histone H2B.a antibody; H2B/a antibody; Histone H2B.g antibody; H2B/g antibody; Histone H2B.h antibody; H2B/h antibody; Histone H2B.k antibody; H2B/k antibody; Histone H2B.l antibody; H2B/l antibody
-
宿主:Rabbit
-
反應種屬:Human
-
免疫原:Peptide sequence around site of Lys (12) derived from Human Histone H2B type 1-C/E/F/G/I
-
免疫原種屬:Homo sapiens (Human)
-
標記方式:Non-conjugated
-
克隆類型:Polyclonal
-
抗體亞型:IgG
-
純化方式:Antigen Affinity Purified
-
濃度:It differs from different batches. Please contact us to confirm it.
-
保存緩沖液:Preservative: 0.03% Proclin 300
Constituents: 50% Glycerol, 0.01M PBS, pH 7.4 -
產品提供形式:Liquid
-
應用范圍:ELISA, IHC, IF
-
推薦稀釋比:
Application Recommended Dilution IHC 1:10-1:100 IF 1:1-1:10 -
Protocols:
-
儲存條件:Upon receipt, store at -20°C or -80°C. Avoid repeated freeze.
-
貨期:Basically, we can dispatch the products out in 1-3 working days after receiving your orders. Delivery time maybe differs from different purchasing way or location, please kindly consult your local distributors for specific delivery time.
-
用途:For Research Use Only. Not for use in diagnostic or therapeutic procedures.
相關產品
靶點詳情
-
功能:Core component of nucleosome. Nucleosomes wrap and compact DNA into chromatin, limiting DNA accessibility to the cellular machineries which require DNA as a template. Histones thereby play a central role in transcription regulation, DNA repair, DNA replication and chromosomal stability. DNA accessibility is regulated via a complex set of post-translational modifications of histones, also called histone code, and nucleosome remodeling.; Has broad antibacterial activity. May contribute to the formation of the functional antimicrobial barrier of the colonic epithelium, and to the bactericidal activity of amniotic fluid.
-
亞細胞定位:Nucleus. Chromosome.
-
蛋白家族:Histone H2B family
-
數據庫鏈接:
Most popular with customers
-
-
Phospho-YAP1 (S127) Recombinant Monoclonal Antibody
Applications: ELISA, WB, IHC
Species Reactivity: Human
-
-
-
-
-
-















