HIST1H2AG (Ab-125) Antibody
-
中文名稱:HIST1H2AG (Ab-125)兔多克隆抗體
-
貨號:CSB-PA010389PA125ncrHU
-
規格:¥660
-
圖片:
-
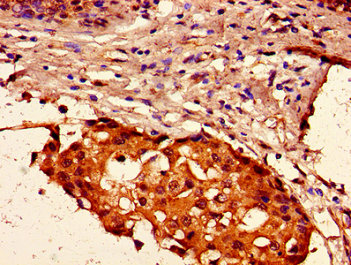
Immunohistochemistry of paraffin-embedded human glioma using CSB-PA010389PA125ncrHU at dilution of 1:100
-
Immunohistochemistry of paraffin-embedded human breast cancer using CSB-PA010389PA125ncrHU at dilution of 1:100
-
Immunofluorescent analysis of Hela cells using CSB-PA010389PA125ncrHU at dilution of 1:100 and Alexa Fluor 488-congugated AffiniPure Goat Anti-Rabbit IgG(H+L)
-
-
其他:
產品詳情
-
產品名稱:Rabbit anti-Homo sapiens (Human) HIST1H2AG Polyclonal antibody
-
Uniprot No.:
-
基因名:HIST1H2AG
-
別名:H2AC11 antibody; H2AFP antibody; HIST1H2AG; antibody; H2AC13 antibody; H2AFC antibody; HIST1H2AI; antibody; H2AC15 antibody; H2AFD antibody; HIST1H2AK; antibody; H2AC16 antibody; H2AFI antibody; HIST1H2AL; antibody; H2AC17 antibody; H2AFN antibody; HIST1H2AMHistone H2A type 1 antibody; H2A.1 antibody; Histone H2A/ptl antibody
-
宿主:Rabbit
-
反應種屬:Human
-
免疫原:Peptide sequence around site of Lys (125) derived from Human Histone H2A type 1
-
免疫原種屬:Homo sapiens (Human)
-
標記方式:Non-conjugated
-
克隆類型:Polyclonal
-
抗體亞型:IgG
-
純化方式:Antigen Affinity Purified
-
濃度:It differs from different batches. Please contact us to confirm it.
-
保存緩沖液:Preservative: 0.03% Proclin 300
Constituents: 50% Glycerol, 0.01M PBS, pH 7.4 -
產品提供形式:Liquid
-
應用范圍:ELISA, IHC, IF
-
推薦稀釋比:
Application Recommended Dilution IHC 1:20-1:200 IF 1:50-1:200 -
Protocols:
-
儲存條件:Upon receipt, store at -20°C or -80°C. Avoid repeated freeze.
-
貨期:Basically, we can dispatch the products out in 1-3 working days after receiving your orders. Delivery time maybe differs from different purchasing way or location, please kindly consult your local distributors for specific delivery time.
-
用途:For Research Use Only. Not for use in diagnostic or therapeutic procedures.
相關產品
靶點詳情
-
功能:Core component of nucleosome. Nucleosomes wrap and compact DNA into chromatin, limiting DNA accessibility to the cellular machineries which require DNA as a template. Histones thereby play a central role in transcription regulation, DNA repair, DNA replication and chromosomal stability. DNA accessibility is regulated via a complex set of post-translational modifications of histones, also called histone code, and nucleosome remodeling.
-
亞細胞定位:Nucleus. Chromosome.
-
蛋白家族:Histone H2A family
-
數據庫鏈接:
Most popular with customers
-
-
YWHAB Recombinant Monoclonal Antibody
Applications: ELISA, WB, IHC, IF, FC
Species Reactivity: Human, Mouse, Rat
-
Phospho-YAP1 (S127) Recombinant Monoclonal Antibody
Applications: ELISA, WB, IHC
Species Reactivity: Human
-
-
-
-
-















