HIST1H1D (Ab-34) Antibody
-
中文名稱:HIST1H1D (Ab-34)兔多克隆抗體
-
貨號:CSB-PA010379OA34nbhbHU
-
規格:¥660
-
圖片:
-
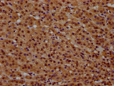
IHC image of CSB-PA010379OA34nbhbHU diluted at 1:20 and staining in paraffin-embedded human adrenal gland tissue performed on a Leica BondTM system. After dewaxing and hydration, antigen retrieval was mediated by high pressure in a citrate buffer (pH 6.0). Section was blocked with 10% normal goat serum 30min at RT. Then primary antibody (1% BSA) was incubated at 4°C overnight. The primary is detected by a biotinylated secondary antibody and visualized using an HRP conjugated SP system.
-
Immunofluorescence staining of PC-3 cells with CSB-PA010379OA34nbhbHU at 1:1.5, counter-stained with DAPI. The cells were fixed in 4% formaldehyde, permeabilized using 0.2% Triton X-100 and blocked in 10% normal Goat Serum. The cells were then incubated with the antibody overnight at 4°C. The secondary antibody was Alexa Fluor 488-congugated AffiniPure Goat Anti-Rabbit IgG(H+L).
-
-
其他:
產品詳情
-
產品名稱:Rabbit anti-Homo sapiens (Human) HIST1H1D Polyclonal antibody
-
Uniprot No.:
-
基因名:HIST1H1D
-
別名:H1 histone family member 3 antibody; H1.3 antibody; H13_HUMAN antibody; H1F3 antibody; HIST1 H1D antibody; HIST1H1D antibody; Histone 1 H1d antibody; Histone cluster 1 H1d antibody; Histone H1.3 antibody; Histone H1c antibody; MGC138176 antibody
-
宿主:Rabbit
-
反應種屬:Human
-
免疫原:Peptide sequence around site of Lys (34) derived from Human Histone H1.3
-
免疫原種屬:Homo sapiens (Human)
-
標記方式:Non-conjugated
-
克隆類型:Polyclonal
-
抗體亞型:IgG
-
純化方式:Antigen Affinity Purified
-
濃度:It differs from different batches. Please contact us to confirm it.
-
保存緩沖液:Preservative: 0.03% Proclin 300
Constituents: 50% Glycerol, 0.01M PBS, pH 7.4 -
產品提供形式:Liquid
-
應用范圍:ELISA, IHC, IF
-
推薦稀釋比:
Application Recommended Dilution IHC 1:10-1:100 IF 1:1-1:10 -
Protocols:
-
儲存條件:Upon receipt, store at -20°C or -80°C. Avoid repeated freeze.
-
貨期:Basically, we can dispatch the products out in 1-3 working days after receiving your orders. Delivery time maybe differs from different purchasing way or location, please kindly consult your local distributors for specific delivery time.
-
用途:For Research Use Only. Not for use in diagnostic or therapeutic procedures.
相關產品
靶點詳情
-
功能:Histone H1 protein binds to linker DNA between nucleosomes forming the macromolecular structure known as the chromatin fiber. Histones H1 are necessary for the condensation of nucleosome chains into higher-order structured fibers. Acts also as a regulator of individual gene transcription through chromatin remodeling, nucleosome spacing and DNA methylation.
-
基因功能參考文獻:
- Results show that histone H1.3, was identified only in non-neoplastic MCF-10A breast cells but not in metastatic MDA-MB-231 breast cancer cells . PMID: 26209608
- Histone H1 organizes and maintains an extensive protein-protein interaction network in the nucleolus required for nucleolar structure and integrity. PMID: 25584861
- overexpression of histone cluster 1 is associated with recurrence in meningiomas. PMID: 20685720
-
亞細胞定位:Nucleus. Chromosome. Note=According to PubMed:15911621 more commonly found in euchromatin. According to PubMed:10997781 is associated with inactive chromatin.
-
蛋白家族:Histone H1/H5 family
-
數據庫鏈接:
Most popular with customers
-
-
YWHAB Recombinant Monoclonal Antibody
Applications: ELISA, WB, IHC, IF, FC
Species Reactivity: Human, Mouse, Rat
-
Phospho-YAP1 (S127) Recombinant Monoclonal Antibody
Applications: ELISA, WB, IHC
Species Reactivity: Human
-
-
-
-
-















