HIPK1 Antibody
-
中文名稱:HIPK1兔多克隆抗體
-
貨號:CSB-PA145013
-
規格:¥1100
-
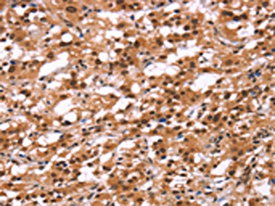
圖片:
-
The image on the left is immunohistochemistry of paraffin-embedded Human thyroid cancer tissue using CSB-PA145013(HIPK1 Antibody) at dilution 1/25, on the right is treated with synthetic peptide. (Original magnification: ×200)
-
The image on the left is immunohistochemistry of paraffin-embedded Human brain tissue using CSB-PA145013(HIPK1 Antibody) at dilution 1/25, on the right is treated with synthetic peptide. (Original magnification: ×200)
-
-
其他:
產品詳情
-
Uniprot No.:
-
基因名:
-
別名:Hipk 1 antibody; Hipk1 antibody; HIPK1_HUMAN antibody; Homeodomain interacting protein kinase 1 antibody; Homeodomain interacting protein kinase 1 like protein antibody; Homeodomain-interacting protein kinase 1 antibody; Myak antibody; Nbak 2 antibody; Nbak2 antibody; Nuclear body associated kinase 2 antibody; Nuclear body associated kinase 2b antibody
-
宿主:Rabbit
-
反應種屬:Human,Mouse,Rat
-
免疫原:Synthetic peptide of Human HIPK1
-
免疫原種屬:Homo sapiens (Human)
-
標記方式:Non-conjugated
-
抗體亞型:IgG
-
純化方式:Antigen affinity purification
-
濃度:It differs from different batches. Please contact us to confirm it.
-
保存緩沖液:-20°C, pH7.4 PBS, 0.05% NaN3, 40% Glycerol
-
產品提供形式:Liquid
-
應用范圍:ELISA,IHC
-
推薦稀釋比:
Application Recommended Dilution ELISA 1:1000-1:2000 IHC 1:25-1:100 -
Protocols:
-
儲存條件:Upon receipt, store at -20°C or -80°C. Avoid repeated freeze.
-
貨期:Basically, we can dispatch the products out in 1-3 working days after receiving your orders. Delivery time maybe differs from different purchasing way or location, please kindly consult your local distributors for specific delivery time.
-
用途:For Research Use Only. Not for use in diagnostic or therapeutic procedures.
相關產品
靶點詳情
-
功能:Serine/threonine-protein kinase involved in transcription regulation and TNF-mediated cellular apoptosis. Plays a role as a corepressor for homeodomain transcription factors. Phosphorylates DAXX and MYB. Phosphorylates DAXX in response to stress, and mediates its translocation from the nucleus to the cytoplasm. Inactivates MYB transcription factor activity by phosphorylation. Prevents MAP3K5-JNK activation in the absence of TNF. TNF triggers its translocation to the cytoplasm in response to stress stimuli, thus activating nuclear MAP3K5-JNK by derepression and promoting apoptosis. May be involved in anti-oxidative stress responses. Involved in the regulation of eye size, lens formation and retinal lamination during late embryogenesis. Promotes angiogenesis and to be involved in erythroid differentiation. May be involved in malignant squamous cell tumor formation. Phosphorylates PAGE4 at 'Thr-51' which is critical for the ability of PAGE4 to potentiate the transcriptional activator activity of JUN.
-
基因功能參考文獻:
- HIPK1, HIPK2 and HIPK3 interact with the components of the carbon catabolite repressor 4 (CCR4)-negative on TATA (NOT) complex, an important regulator of all the major steps in the mRNA metabolism. it has emerged that HIPKs and their related miRNAs are involved in diabetic nephropathy, gastric cancer chemoresistance, cervical cancer progression, and recombinant protein expression in cultured cells. [Review] PMID: 29793420
- The data presented here con fi rmed that HIPK1 is involved in the increased expression of recombinant luciferase and the secreted recombinant GPC3-hFc from HEK 293 cells following transfection with miR-22-3p. PMID: 28987030
- PAGE4, a regulator of c-Jun transactivation, is phosphorylated by homeodomain-interacting protein kinase 1. PMID: 24559171
- HIPK1 drives p53 activation to limit colorectal cancer cell growth. PMID: 23676219
- HIPK1 and HIPK2, are transcriptional corepressors that regulate TGF-beta-dependent angiogenesis during embryonic development. PMID: 23565059
- HIPK1 expression was identified only in invasive breast cancer cells with three different patterns: cytoplasmic, nuclear, and both cytoplasmic and nuclear. PMID: 23071292
- TNFalpha-induced desumoylation and cytoplasmic translocation of HIPK1 are critical in TNFalpha-induced ASK1-JNK/p38 activation PMID: 15701637
- c-Myb appears to be phosphorylated by HIPK1 in its negative regulatory domain as supported by both in vivo and in vitro data. PMID: 19646965
顯示更多
收起更多
-
亞細胞定位:Nucleus. Cytoplasm. Nucleus speckle.
-
蛋白家族:Protein kinase superfamily, CMGC Ser/Thr protein kinase family, HIPK subfamily
-
組織特異性:Ubiquitously expressed with highest levels in skeletal muscle and heart. Overexpressed in breast cancer cell lines. Isoform 2 is highly expressed in testis. Expressed in both androgen-dependent and androgen-independent prostate cancer cells.
-
數據庫鏈接:
Most popular with customers
-
-
YWHAB Recombinant Monoclonal Antibody
Applications: ELISA, WB, IHC, IF, FC
Species Reactivity: Human, Mouse, Rat
-
Phospho-YAP1 (S127) Recombinant Monoclonal Antibody
Applications: ELISA, WB, IHC
Species Reactivity: Human
-
-
-
-
-















