HIP1R Antibody
-
中文名稱:HIP1R兔多克隆抗體
-
貨號:CSB-PA010366LA01HU
-
規格:¥440
-
圖片:
-
Western Blot
Positive WB detected in: Rat brain tissue
All lanes: HIP1R antibody at 2.4μg/ml
Secondary
Goat polyclonal to rabbit IgG at 1/50000 dilution
Predicted band size: 120, 71 kDa
Observed band size: 120 kDa -
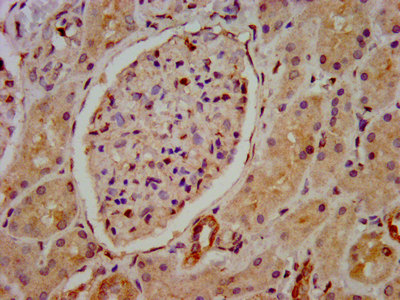
IHC image of CSB-PA010366LA01HU diluted at 1:800 and staining in paraffin-embedded human kidney tissue performed on a Leica BondTM system. After dewaxing and hydration, antigen retrieval was mediated by high pressure in a citrate buffer (pH 6.0). Section was blocked with 10% normal goat serum 30min at RT. Then primary antibody (1% BSA) was incubated at 4°C overnight. The primary is detected by a biotinylated secondary antibody and visualized using an HRP conjugated SP system.
-
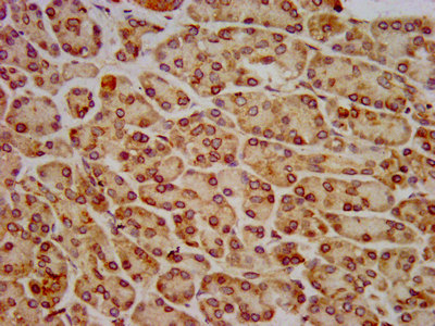
IHC image of CSB-PA010366LA01HU diluted at 1:800 and staining in paraffin-embedded human pancreatic tissue performed on a Leica BondTM system. After dewaxing and hydration, antigen retrieval was mediated by high pressure in a citrate buffer (pH 6.0). Section was blocked with 10% normal goat serum 30min at RT. Then primary antibody (1% BSA) was incubated at 4°C overnight. The primary is detected by a biotinylated secondary antibody and visualized using an HRP conjugated SP system.
-
-
其他:
產品詳情
-
產品名稱:Rabbit anti-Homo sapiens (Human) HIP1R Polyclonal antibody
-
Uniprot No.:
-
基因名:HIP1R
-
別名:FLJ14000 antibody; FLJ27022 antibody; HIP-12 antibody; Hip1 related antibody; HIP1-related protein antibody; HIP12 antibody; HIP1R antibody; HIP1R_HUMAN antibody; HIP3 antibody; Huntingtin Interacting Protein 1 Related antibody; Huntingtin interacting protein 12 antibody; Huntingtin-interacting protein 1-related protein antibody; Huntingtin-interacting protein 12 antibody; ILWEQ antibody; KIAA0655 antibody; MGC47513 antibody
-
宿主:Rabbit
-
反應種屬:Human, Rat
-
免疫原:Recombinant Human Huntingtin-interacting protein 1-related protein (304-487AA)
-
免疫原種屬:Homo sapiens (Human)
-
標記方式:Non-conjugated
本頁面中的產品,HIP1R Antibody (CSB-PA010366LA01HU),的標記方式是Non-conjugated。對于HIP1R Antibody,我們還提供其他標記。見下表:
-
克隆類型:Polyclonal
-
抗體亞型:IgG
-
純化方式:>95%, Protein G purified
-
濃度:It differs from different batches. Please contact us to confirm it.
-
保存緩沖液:Preservative: 0.03% Proclin 300
Constituents: 50% Glycerol, 0.01M PBS, pH 7.4 -
產品提供形式:Liquid
-
應用范圍:ELISA, WB, IHC
-
推薦稀釋比:
Application Recommended Dilution WB 1:500-1:5000 IHC 1:500-1:1000 -
Protocols:
-
儲存條件:Upon receipt, store at -20°C or -80°C. Avoid repeated freeze.
-
貨期:Basically, we can dispatch the products out in 1-3 working days after receiving your orders. Delivery time maybe differs from different purchasing way or location, please kindly consult your local distributors for specific delivery time.
-
用途:For Research Use Only. Not for use in diagnostic or therapeutic procedures.
相關產品
靶點詳情
-
功能:Component of clathrin-coated pits and vesicles, that may link the endocytic machinery to the actin cytoskeleton. Binds 3-phosphoinositides (via ENTH domain). May act through the ENTH domain to promote cell survival by stabilizing receptor tyrosine kinases following ligand-induced endocytosis.
-
基因功能參考文獻:
- HIP1R rescued miR-23b/-27b-mediated repression of migration in prostate cancer cells. HIP1R mRNA levels were decreased in seminal vesicle tissue from mice bearing miR-23b/-27b-transduced prostate cancer cell xenografts compared with scrambled controls, suggesting HIP1R is a key functional target of miR-23b/-27b. PMID: 26898757
- our findings support the conclusion that the rs12817488 in CCDC62/HIP1R polymorphism may increase the risk of Parkinson's disease in the Chinese Han population. PMID: 25818163
- We conclude that HIP1R expression is strongly indicative of survival in diffuse large B-cell lymphoma PMID: 26341140
- STK39 (rs2102808) and CCDC62/HIP1R (rs12817488) do not appear to influence PD risk. PMID: 24312176
- HIP1r plays an important role in regulating the attachment of spindle microtubules to chromosomes during mitosis, an event that is required for accurate congression and segregation of chromosomes. PMID: 21189155
- HIP1 and HIP12 display differential binding to F-actin, AP2, and clathrin. Identification of a novel interaction with clathrin light chain. (HIP12) PMID: 11889126
- both HIP1r and HIP1 bind inositol lipids via their epsin N-terminal homology (ENTH) domains PMID: 14732715
- Hip1R has a role in making the interaction between actin and the endocytic machinery functional and transient PMID: 14742709
- The F-actin binding capacity of Hip12 is regulated by intrasteric occlusion of primary actin-binding determinants within the Hip12 I/LWEQ module. PMID: 15581353
- the stability of intergenerational transmission of a variable number tandem repeat (VNTR) polymorphism, found in the Huntingtin interacting protein-1 related gene (HIP12/HIP1R) that is mapped to the chromosome 12q24.31 region. PMID: 15588756
- characterize the F-actin-binding region of HIP1R, termed the talin-HIP1/R/Sla2p actin-tethering C-terminal homology (THATCH) domain PMID: 16415883
- Human HIP1 transgenic Hip1/Hip1r knockout mice are completely free from dwarfism and spinal defects. PMID: 17452370
- Neuronal dysfunction in transgenic Caenorhabditis elegans expressing mutant N-terminal huntingtin is specifically enhanced by hipr-1 loss of function. PMID: 17928447
- in mammalian cells CLCs function in intracellular membrane trafficking by acting as recruitment proteins for HIP1R, enabling HIP1R to regulate actin assembly on clathrin-coated structures PMID: 18165318
- Actin binding by Hip1 (huntingtin-interacting protein 1) and Hip1R (Hip1-related protein) is regulated by clathrin light chain PMID: 18790740
- This study provided the previously unknown function of HIP1R involved in the intrinsic cell death pathway and further explored possible mechanisms by which HIP1R induces cell death. PMID: 19255499
顯示更多
收起更多
-
亞細胞定位:Cytoplasm, perinuclear region. Endomembrane system. Cytoplasmic vesicle, clathrin-coated vesicle membrane. Note=Membrane-associated protein, mainly localized at the endocytic compartments and in the perinuclear region.
-
蛋白家族:SLA2 family
-
組織特異性:Brain, heart, kidney, pancreas, and liver, but not in lung or placenta.
-
數據庫鏈接:
Most popular with customers
-
-
YWHAB Recombinant Monoclonal Antibody
Applications: ELISA, WB, IHC, IF, FC
Species Reactivity: Human, Mouse, Rat
-
Phospho-YAP1 (S127) Recombinant Monoclonal Antibody
Applications: ELISA, WB, IHC
Species Reactivity: Human
-
-
-
-
-















