HIKESHI Antibody
-
中文名稱:HIKESHI兔多克隆抗體
-
貨號:CSB-PA706632HA01HU
-
規格:¥440
-
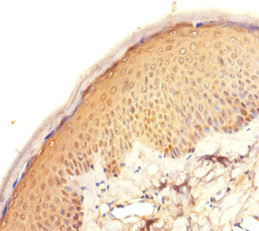
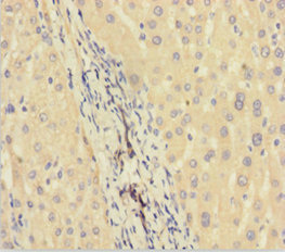
圖片:
-
其他:
產品詳情
-
產品名稱:Rabbit anti-Homo sapiens (Human) HIKESHI Polyclonal antibody
-
Uniprot No.:
-
基因名:HIKESHI
-
別名:C11orf73 antibody; Chromosome 11 open reading frame 73 antibody; CK073_HUMAN antibody; FLJ43020 antibody; Hikeshi antibody; HSPC138 antibody; HSPC179 antibody; L7RN6 antibody; Lethal Chr 7 Rinchik 6 antibody; OPI10 antibody; Protein Hikeshi antibody; Uncharacterized protein C11orf73 antibody
-
宿主:Rabbit
-
反應種屬:Human
-
免疫原:Recombinant Human Protein Hikeshi protein (1-197AA)
-
免疫原種屬:Homo sapiens (Human)
-
標記方式:Non-conjugated
本頁面中的產品,HIKESHI Antibody (CSB-PA706632HA01HU),的標記方式是Non-conjugated。對于HIKESHI Antibody,我們還提供其他標記。見下表:
-
克隆類型:Polyclonal
-
抗體亞型:IgG
-
純化方式:>95%, Protein G purified
-
濃度:It differs from different batches. Please contact us to confirm it.
-
保存緩沖液:Preservative: 0.03% Proclin 300
Constituents: 50% Glycerol, 0.01M PBS, PH 7.4 -
產品提供形式:Liquid
-
應用范圍:ELISA, IHC
-
推薦稀釋比:
Application Recommended Dilution IHC 1:20-1:200 -
Protocols:
-
儲存條件:Upon receipt, store at -20°C or -80°C. Avoid repeated freeze.
-
貨期:Basically, we can dispatch the products out in 1-3 working days after receiving your orders. Delivery time maybe differs from different purchasing way or location, please kindly consult your local distributors for specific delivery time.
-
用途:For Research Use Only. Not for use in diagnostic or therapeutic procedures.
相關產品
靶點詳情
-
功能:Acts as a specific nuclear import carrier for HSP70 proteins following heat-shock stress: acts by mediating the nucleoporin-dependent translocation of ATP-bound HSP70 proteins into the nucleus. HSP70 proteins import is required to protect cells from heat shock damages. Does not translocate ADP-bound HSP70 proteins into the nucleus.
-
基因功能參考文獻:
- Our results suggest that HIKESHI is a marker of cancer progression and that the combination of HIKESHI inhibition and hyperthermia is a therapeutic tool for refractory gastric cancer PMID: 28731175
- Depletion of Hikeshi renders HeLa cells proteotoxic stress-sensitive through the abrogation of the nuclear function of HSP70s required for HSF1 regulation. PMID: 28980748
- A novel homozygous variant in HIKESHI was identified in a patient with hypomyelinating leukoencephalopathy with periventricular cysts and vermian atrophy. Modified interactions inside Hikeshi's hydrophobic pockets induce mutant protein instability. PMID: 28000699
- Leukoencephalopathy and early death associated with an Ashkenazi-Jewish founder mutation in the Hikeshi gene.P.V54L mutation in Hikeshi is associated with absence of nuclear HSP70 during heat shock stress. PMID: 26545878
- The crystal structure of Hikeshi explains how Hikeshi participates in the regulation of nuclear import through the recognition of FG-Nups and which part of Hikeshi affects its binding to Hsp70. PMID: 25760597
- identify a nuclear import pathway that operates during heat shock stress and is mediated by an evolutionarily conserved protein, Hikeshi (coded by the C11orf73 gene) binds to FG-Nups and translocates through nuclear pores on its own, showing characteristic features of nuclear transport carriers. PMID: 22541429
顯示更多
收起更多
-
相關疾病:Leukodystrophy, hypomyelinating, 13 (HLD13)
-
亞細胞定位:Cytoplasm. Cytoplasm, cytosol. Nucleus.
-
蛋白家族:OPI10 family
-
數據庫鏈接:
Most popular with customers
-
-
YWHAB Recombinant Monoclonal Antibody
Applications: ELISA, WB, IHC, IF, FC
Species Reactivity: Human, Mouse, Rat
-
Phospho-YAP1 (S127) Recombinant Monoclonal Antibody
Applications: ELISA, WB, IHC
Species Reactivity: Human
-
-
-
-
-















