HHEX Antibody
-
中文名稱:HHEX兔多克隆抗體
-
貨號:CSB-PA010335OA01HU
-
規格:¥440
-
圖片:
-
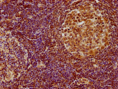
IHC image of CSB-PA010335OA01HU diluted at 1:100 and staining in paraffin-embedded human lymph node tissue performed on a Leica BondTM system. After dewaxing and hydration, antigen retrieval was mediated by high pressure in a citrate buffer (pH 6.0). Section was blocked with 10% normal goat serum 30min at RT. Then primary antibody (1% BSA) was incubated at 4°C overnight. The primary is detected by a biotinylated secondary antibody and visualized using an HRP conjugated SP system.
-
-
其他:
產品詳情
-
產品名稱:Rabbit anti-Homo sapiens (Human) HHEX Polyclonal antibody
-
Uniprot No.:
-
基因名:HHEX
-
別名:Hematopoietically expressed homeobox antibody; Hematopoietically-expressed homeobox protein HHEX antibody; HEX antibody; HHEX antibody; HHEX_HUMAN antibody; HMPH antibody; Homeobox hematopoietically expressed antibody; Homeobox protein HEX antibody; Homeobox protein PRH antibody; HOX11L PEN antibody; PRH antibody; PRHX antibody; Proline rich homeodomain containing transcription factor antibody
-
宿主:Rabbit
-
反應種屬:Human
-
免疫原:Peptide sequence from Human Hematopoietically-expressed homeobox protein HHEX protein (187-204AA)
-
免疫原種屬:Homo sapiens (Human)
-
標記方式:Non-conjugated
本頁面中的產品,HHEX Antibody (CSB-PA010335OA01HU),的標記方式是Non-conjugated。對于HHEX Antibody,我們還提供其他標記。見下表:
-
克隆類型:Polyclonal
-
抗體亞型:IgG
-
純化方式:Antigen Affinity Purified
-
濃度:It differs from different batches. Please contact us to confirm it.
-
保存緩沖液:Preservative: 0.03% Proclin 300
Constituents: 50% Glycerol, 0.01M PBS, pH 7.4 -
產品提供形式:Liquid
-
應用范圍:ELISA, IHC
-
推薦稀釋比:
Application Recommended Dilution IHC 1:20-1:200 -
Protocols:
-
儲存條件:Upon receipt, store at -20°C or -80°C. Avoid repeated freeze.
-
貨期:Basically, we can dispatch the products out in 1-3 working days after receiving your orders. Delivery time maybe differs from different purchasing way or location, please kindly consult your local distributors for specific delivery time.
-
用途:For Research Use Only. Not for use in diagnostic or therapeutic procedures.
相關產品
靶點詳情
-
功能:Recognizes the DNA sequence 5'-ATTAA-3'. Transcriptional repressor. Activator of WNT-mediated transcription in conjunction with CTNNB1. Establishes anterior identity at two levels; acts early to enhance canonical WNT-signaling by repressing expression of TLE4, and acts later to inhibit NODAL-signaling by directly targeting NODAL. May play a role in hematopoietic differentiation.
-
基因功能參考文獻:
- HHEX is expressed in multiple types of acute myeloid leukemia (AML), with the highest levels seen in t(8;21) AML. PMID: 29263042
- The SNPs in TCF7L2 and HHEX were genotyped by polymerase chain reaction-restriction fragment length polymorphism. There were no significant differences in the distribution of genotypes and alleles between polycystic ovary syndrome cases and controls PMID: 26563606
- Two differentiation-related genes, HHEX and HLX, are promoters of early phase reprogramming toward pluripotency. PMID: 27335261
- This finding highlights the potentially functional alteration with HHEX rs1111875 and rs7923837 polymorphisms may increase colorectal cancer susceptibility. PMID: 27105501
- The aim of this study was to examine the association between HHEX (rs5015480) and PROX1 (rs340874) gene polymorphisms and Gestational diabetes mellitus (GDM) .The HHEX gene rs5015480 C allele may be a risk allele of GDM that is associated with increased BMI during pregnancy PMID: 27684496
- Vascular smooth muscle protein kinase CK2 inhibition suppresses neointima formation via a proline-rich homeodomain-dependent mechanism. PMID: 28927755
- HHEX over expression induced by human cytomegalovirus infection closely associated with vascular proliferative diseases. PMID: 27965937
- The multivariate logistic regression analysis with reference to both alleles and genotypes of CDKAL1 SNPs showed significant association, suggesting an important role for this gene in the T2DM pathophysiology. INTERPRETATION & CONCLUSIONS: A significant association was seen of all the three SNPs of CDKAL1 and CDKN2A/B genes with T2DM but none of the two SNPs of HHEX. PMID: 27377502
- These studies identify uPA-dependent de-repression of vegfr1 and vegfr2 gene transcription through binding to HHEX/PRH as a novel mechanism by which uPA mediates the pro-angiogenic effects of VEGF and identifies a potential new target for control of pathologic angiogenesis. PMID: 27151212
- Low HHEX mutation is associated with Thyroid Dysgenesis. PMID: 26757609
- Data suggest that hematopoietically expressed homeobox protein (HHEX) downmodulation by promyelocytic leukemia-retinoic acid receptor alpha fusion oncoprotein (PML-RARalpha) is a key event during acute promyelocytic leukemia (APL) pathogenesis. PMID: 27052408
- Hhex binds to the Cdkn2a locus and directly interacts with the Polycomb-repressive complex 2 (PRC2) to enable H3K27me3-mediated epigenetic repression PMID: 26728554
- Data suggest that Hhex is a novel regulator of c-Myc function that limits c-Myc activity in transformed cells. PMID: 25220416
- PRH controls the migration of multiple epithelial cell lineages in part at least through the direct transcriptional regulation of Endoglin PMID: 24240683
- HHEX promotes hepatic specification by repressing EOMES expression. PMID: 24651531
- Data indicate the potential importance of CDKAL1 protein and homeobox protein HHEX in glucose homeostasis in this Alaska Native population with a low prevalence of type 2 diabetes (T2D). PMID: 24112421
- In all the CHD patients, we did not find any causative mutations in the coding region of the HHEX gene. PMID: 23929257
- Tissue-specific knockdown of the HHEX ortholog dHHEX (CG7056) directed metabolic defects and enhanced lethality; for example, fat-body-specific loss of dHHEX led to increased hemolymph glucose and reduced insulin sensitivity PMID: 23445342
- In conclusion, this epistatic interaction showed a high degree of consistency when stratifying by sex, the epsilon4 allele of apolipoprotein E genotype, and geographic region. PMID: 23036584
- Data indicate associations of SNPs in eight loci CXCR4, HHEX, FOXA2, NGN3, TCF7L2, FLJ39370 (C4orf32), LOC646279 (RPL21P7) and THADA with body mass index (BMI) and weight. PMID: 23349771
- A significant association of rs1111875, rs5015480 and rs7923837 in HHEX gene with type 2 diabetes. PMID: 23166797
- Association to type 2 diabetes was found for rs13266634 (SLC30A8), rs7923837 (HHEX), rs10811661 (CDKN2A/2B), rs4402960 (IGF2BP2), rs12779790 (CDC123/CAMK1D), and rs2237892 (KCNQ1). PMID: 22923468
- None of the 12 SNPs in the six genes (KCNJ11, TCF7L2, SLC30A8, HHEX, FTO and CDKAL1) uncovered in the genome-wide association studies were associated with polycystic ovary syndrome. PMID: 22443257
- re-establishment of gene control by PRH is in part responsible for the therapeutic effects of dasatinib. PMID: 22874537
- Genetic variants of the IDE-KIF11-HHEX region at 10q23.33 contribute to type 2 diabetes susceptibility. PMID: 22506066
- Loss of HHEX is associated with colorectal cancer. PMID: 21656028
- The proline rich homeodomain protein PRH/Hhex forms predominantly octameric and/or hexadecameric species in solution as well as larger assemblies. PMID: 22540015
- The associations between SNPs of TCF7L2, CDKAL1, SLC30A8 and HHEX and the development of DR and DN. PMID: 22487833
- HHEX, is more likely to represent the genuine signals of T2DM in the Tunisian population. PMID: 21510814
- Single nucleotide polymorphism (SNP) analysis revealed that the sequence variant (rs5015480) near HHEX and two SNPs (rs7756992 and rs9465871) in CDKAL1 were associated with the susceptibility of type 2 diabetes mellitus in females, but not in males. PMID: 21368910
- HHEX, IDE and SLC30A8 showed strongest tissue-specific mRNA expression bias and are associated with increased risk of type 2 diabete. PMID: 20703447
- Observational study of gene-disease association, gene-gene interaction, gene-environment interaction, and pharmacogenomic / toxicogenomic. (HuGE Navigator) PMID: 20879858
- Our data indicate that common genetic variants in two genes previously related to obesity (FTO) and diabetes (HHEX) by genome-wide association scans were not associated with endometrial cancer risk. PMID: 20647405
- Data report a novel association between the fetal ADCY5 type 2 diabetes risk allele and decreased birthweight, and confirm in meta-analyses associations between decreased birthweight and the type 2 diabetes risk alleles of HHEX-IDE and CDKAL1. PMID: 20490451
- Type 2 diabetes susceptibility alleles at HHEX are associated with low body mass index at 8 years in children who were born large for gestational age. PMID: 20460429
- There was no association of the genetic polymorhism rs1111875 of HHEX with the occurrence of polycystic ovary syndrome in the Chinese population. PMID: 20041287
- PRH is a key regulator of the VEGF signaling pathway and describe a mechanism whereby PRH plays an important role in tumorigenesis and leukemogenesis. PMID: 20176809
- the same genetic HHEX-IDE variant, which is associated with type 2 diabetes from previous studies, also influences pediatric body mass index PMID: 19933996
- Observational study of gene-disease association, gene-gene interaction, gene-environment interaction, and genetic testing. (HuGE Navigator) PMID: 20075150
- the interaction between Hhex and SOX13 may contribute to control Wnt/TCF1 signaling in the early embryo. PMID: 20028982
- there is an association between PPARG, KCNJ11, CDKAL1, CDKN2A-CDKN2B, IDE-KIF11-HHEX, IGF2BP2 and SLC30A8 and type 2 diabetes in the Chinese population PMID: 19862325
- HHEX has been implicated in pancreas development and the regulation of insulin secretion and risk of type 2 diabetes. PMID: 20080751
- genomic organization and chromosome 10 mapping PMID: 11701950
- PRH is a negative regulator of eIF4E in myeloid cells, interacting with eIF4E through a conserved binding site typically found in translational regulators PMID: 12554669
- HEX may not affect the differentiation of endothelial cells but acts as a negative regulator of angiogenesis. PMID: 12588764
- PRH interacts with the HC8 subunit of the proteasome in the context of both 20 and 26 S proteasomes and is associated with the proteasome in K562 hematopoietic cells; the proline-rich PRH N-terminal domain is responsible for this interaction. PMID: 12826010
- Hex can act as a T lineage oncogene when misexpressed in hematopoietic precursor cells PMID: 14555989
- Tgf-beta mediated repression of flk-1/KDR and mediated repression of flk-1/KDR and VEGF signaling involves the inducible formation of inhibitory Hex-GATA signaling Hex-GATA involves the formation of Hex-GATA complexes. PMID: 15016828
- Pax8 regulates the transcriptional activity of Hex promoter; several Pax8 binding sites in the Hex promoter are present PMID: 15062550
- Hex, a hematopoietically expressed homeobox protein, induces transcription of the SM22alpha gene by facilitating the interaction between SRF and its cognate binding site in embryonic fibroblasts. PMID: 15242862
顯示更多
收起更多
-
亞細胞定位:Nucleus.
-
組織特異性:Liver and promyelocytic leukemia cell line HL-60.
-
數據庫鏈接:
Most popular with customers
-
-
YWHAB Recombinant Monoclonal Antibody
Applications: ELISA, WB, IHC, IF, FC
Species Reactivity: Human, Mouse, Rat
-
Phospho-YAP1 (S127) Recombinant Monoclonal Antibody
Applications: ELISA, WB, IHC
Species Reactivity: Human
-
-
-
-
-















