HEXIM1 Antibody
-
中文名稱:HEXIM1兔多克隆抗體
-
貨號:CSB-PA010318DSR1HU
-
規格:¥440
-
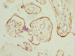
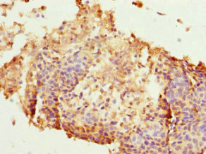
圖片:
-
其他:
產品詳情
-
產品名稱:Rabbit anti-Homo sapiens (Human) HEXIM1 Polyclonal antibody
-
Uniprot No.:
-
基因名:HEXIM1
-
別名:Cardiac lineage protein 1 antibody; CLP 1 antibody; CLP1 antibody; EDG 1 antibody; EDG1 antibody; Estrogen down-regulated gene 1 protein antibody; FLJ13562 antibody; Hexamethylene bis acetamide inducible 1 antibody; Hexamethylene bis acetamide inducible protein antibody; Hexamethylene bis acetamide inducible transcript 1 antibody; Hexamethylene bis-acetamide-inducible protein 1 antibody; HEXI1_HUMAN antibody; HEXIM 1 antibody; Hexim1 antibody; HEXIM1 protein antibody; HIS 1 antibody; HIS1 antibody; HMBA inducible antibody; MAQ 1 antibody; MAQ1 antibody; Menage a quatre 1 antibody; Menage a quatre protein 1 antibody; Protein HEXIM1 antibody
-
宿主:Rabbit
-
反應種屬:Human
-
免疫原:Recombinant Human Protein HEXIM1 protein (210-359AA)
-
免疫原種屬:Homo sapiens (Human)
-
標記方式:Non-conjugated
-
克隆類型:Polyclonal
-
抗體亞型:IgG
-
純化方式:Antigen Affinity Purified
-
濃度:It differs from different batches. Please contact us to confirm it.
-
保存緩沖液:PBS with 0.02% sodium azide, 50% glycerol, pH7.3.
-
產品提供形式:Liquid
-
應用范圍:ELISA, IHC
-
推薦稀釋比:
Application Recommended Dilution IHC 1:20-1:200 -
Protocols:
-
儲存條件:Upon receipt, store at -20°C or -80°C. Avoid repeated freeze.
-
貨期:Basically, we can dispatch the products out in 1-3 working days after receiving your orders. Delivery time maybe differs from different purchasing way or location, please kindly consult your local distributors for specific delivery time.
-
用途:For Research Use Only. Not for use in diagnostic or therapeutic procedures.
相關產品
靶點詳情
-
功能:Transcriptional regulator which functions as a general RNA polymerase II transcription inhibitor. Core component of the 7SK RNP complex: in cooperation with 7SK snRNA sequesters P-TEFb in a large inactive 7SK snRNP complex preventing RNA polymerase II phosphorylation and subsequent transcriptional elongation. May also regulate NF-kappa-B, ESR1, NR3C1 and CIITA-dependent transcriptional activity. Plays a role in the regulation of DNA virus-mediated innate immune response by assembling into the HDP-RNP complex, a complex that serves as a platform for IRF3 phosphorylation and subsequent innate immune response activation through the cGAS-STING pathway.
-
基因功能參考文獻:
- The 7SK RNA binds to Hexim1 and turns it into an inhibitor of the positive transcription elongation factor (P-TEFb). And in addition to its action on P-TEFb, it plays a role in a variety of different mechanisms: it controls the stability of transcription factor components and assists binding of transcription factors to their targets. PMID: 29345523
- We conclude that the degradation of NPM1 and HEXIM1 through autophagy in certain AML subsets contributes to the activation of the BET pathway in these cells. PMID: 27732946
- Identify a HEXIM1-containing ribonuclear protein complex composed also of DNA-PK, paraspeckle subunits, and the long non-coding RNA (lncRNA) NEAT1, which acts as a key nuclear regulator of DNA-mediated activation of innate immune response through the cGAS-STING pathway. PMID: 28712728
- HMBA and derivative HMBA4a1 induce HEXIM1 activity, targeting several signaling pathways critical in tumorigenesis and metastasis. PMID: 27238569
- HSP70 activator shows similar activity as HMBA and 4a1 to induce HEXIM1 expression, suggesting that HMBA and 4a1 might be putative HSP70 activators PMID: 28213333
- Our results demonstrated that HEXIM1 exhibited the most consistent response to BET inhibitors in all of the settings examined, including tumors and surrogate tissues. PMID: 27903752
- Suggest that greater tumor associated macrophage density, strong Hexim1 expression, strong SMAD2 expression, and mild SMAD7 expression play important roles in the progression of prostate adenocarcinoma. PMID: 26608417
- Results show that HEXIM1 is a tumor suppressor in melanoma that responds to nucleotide stress by inhibiting transcription elongation of tumorigenic genes and stabilizing mRNA transcripts of other tumor suppressor genes. PMID: 27058786
- Data indicate the binding of RNA-binding protein HEXIM with 7SKsnRNP complex comprising the non-coding RNA 7SK and proteins MePCE and LARP7. PMID: 25863285
- PPM1G phosphatase directly binds 7SK RNA and the kinase inhibitor Hexim1 once P-TEFb has been released from the 7SK snRNP. PMID: 26324325
- This study demonstrates a novel role of HEXIM1 in regulating human pluripotent stem cells fate through a P-TEFb-independent pathway. PMID: 23977357
- HEXIM1 functions as an AR (androgen receptor) co-repressor as it physically interacts with the AR and is required for the ability of anti-androgens to inhibit androgen-induced target gene expression and cell proliferation. PMID: 24844355
- the release of P-TEFb from the 7SK snRNP led to increased synthesis of HEXIM1 but not HEXIM2 PMID: 24515107
- There is evidence for a direct interaction between HIF-1alpha and HEXIM1, and HEXIM1 up-regulated hydroxylation of HIF-1alpha. PMID: 24015760
- P-TEFb/HEXIM1-dependent transcriptional regulation may play a pathophysiological role in RVH and be a novel therapeutic target for mitigating RVH in PAH PMID: 23300697
- results not only identify HEXIM1 as a positive regulator of p53, but also propose a novel molecular mechanism of p53 activation caused by the anti-cancer drugs and compounds. PMID: 22948151
- Changes in Hexim-1 protein expression and cellular distribution significantly influence androgen receptor activation and transforming growth factor (TGF)-beta signaling in prostate cancer progression. PMID: 22095517
- N-terminal residues in cyclin T1 are specifically involved in the binding of cyclin T1 to HEXIM1 but not to Tat. PMID: 22342181
- Structural insights were provided into the recognition of the regulator protein Hexim1 by P-TEFb and the modulation of coiledcoil dynamics by specific discontinuities. PMID: 22033481
- Tat efficiently replaces HEXIM1 on the 7SK snRNA in vivo and it promotes the disassembly of the 7SK/HEXIM/P-TEFb negative transcriptional regulatory snRNP to augment the nuclear level of active P-TEFb. PMID: 20976203
- reincorporation of HEXIM1 into the 7SK snRNP is likely the regulated step of reassembly of the 7SK snRNP containing P-TEFb PMID: 20808803
- data provide evidence to suggest a novel role for HEXIM1 in cancer progression PMID: 20453883
- T-loop phosphorylated Cdk9 localizes to nuclear speckle domains which may serve as sites of active P-TEFb function and exchange between the Brd4 and 7SK/HEXIM1 regulatory complexes. PMID: 20201073
- binding to Cyclin T1 induces an asymmetry or sterical hindrance in the first coiled coil segment of dimeric Hexim1 that disallows formation of a 2:2 complex. PMID: 20210365
- MAQ1 cooperates with 7SK RNA to form a novel type of CDK inhibitor. PMID: 12832472
- Binding of the 7SK snRNA turns the HEXIM1 protein into a P-TEFB (CDK9/cyclin T) inhibitor. PMID: 15201869
- HEXIM1 and HEXIM2 exhibit distinct expression patterns in various human tissues PMID: 15713661
- utilization of HEXIM1 or HEXIM2 to bind and inhibit P-TEFb can be differentially regulated in vivo. PMID: 15713662
- Hexim1 has a cyclin T-binding domain and binds competitively to HIV-1 Tat PMID: 15855166
- increased estrogen down regulated gene 1 expression results in inhibition of cyclin T1 recruitment and estrogen receptor 1 DNA binding PMID: 15940264
- HEXIM1 forms a transcriptionally abortive complex with glucocorticoid receptor without involving 7SK RNA and positive transcription elongation factor b. PMID: 15941832
- HEXIM1 dimer associates with only one molecule of RNA. PMID: 15965233
- HIV-1 Tat transactivation is effectively inhibited by co-expression of HEXIM1; HEXIM1 expression specifically represses transcription mediated by the direct activation of P-TEFb through artificial recruitment of GAL4-CycT1 PMID: 15992410
- analysis of positive transcription elongation factor - HEXIM1 - 7SK RNA complex PMID: 15994294
- Ectopic expression of HEXIM1 causes growth inhibition and promotes neuronal differentiation. These findings highlight a crucial role of HEXIM1 protein during cell differentiation. PMID: 16222702
- the interplay between 7SK snRNA and oppositely charged regions in HEXIM1 direct its binding to P-TEFb and subcellular localization that culminates in the inhibition of transcription PMID: 16362050
- Binding of HEXIM1 is a prerequisite for association of P-TEFb with the G302-C324 apical region of the 3' hairpin of 7SK that is highly reminiscent of the human immunodeficiency virus transactivation-responsive RNA. PMID: 16382153
- Data show that the transcription-dependent dissociation of P-TEFb-HEXIM1-7SK RNA relies upon formation of hnRNP-7SK RNA complexes. PMID: 17709395
- provide structural insights how Hexim1 recognizes the Cyclin T1 subunit of positive transcription elongation factor b PMID: 17724342
- a mutant HEXIM1 protein that cannot be phosphorylated and released from P-TEFb and 7SK snRNA via the PI3K/Akt pathway antagonizes this HMBA-mediated induction of viral production. PMID: 17937499
- NPM binds to HEXIM1 in vitro and in vivo, and functions as a negative regulator of HEXIM1. PMID: 18371977
- HEXIM1 may act as a gene-selective transcriptional regulator via direct interaction with certain transcriptional regulators including glucocorticoid receptor. PMID: 18407829
- HEXIM1 regulation on estrogen action showed a decrease in estrogen-stimulated recruitment of ERalpha, P-TEFb, and S2P RNAP II to promoter and coding regions of ERalpha-responsive genes pS2 and CCND1 with increased HEXIM1 expression in MCF-7 cells PMID: 18757415
- HEXIM1 may participate in tissue-selective determination of glucocorticoid sensitivity via direct interaction with GR at least in certain gene sets including atp1a1 and scnn1a. PMID: 18801933
- Ubiquitination of HEXIM1 protein increases the inhibitory ability of HEXIM1 protein on P-TEFb-dependent transcription, but does not lead to proteasome-dependent protein degradation of HEXIM1. PMID: 19617712
- The tripartite protein-RNA complex formation between Hexim, Cyclin T and 7SK snRNA, was analyzed. PMID: 19883659
- Biochemically characterized a hexamethylene bisacetamide-inducible protein HEXIM1, which is a novel nuclear protein. Interacts with p50 of NF-kB and suppresses NF-kB transcription. PMID: 12581153
顯示更多
收起更多
-
亞細胞定位:Nucleus. Cytoplasm. Note=Binds alpha-importin and is mostly nuclear (PubMed:16362050).
-
蛋白家族:HEXIM family
-
組織特異性:Ubiquitously expressed with higher expression in placenta. HEXIM1 and HEXIM2 are differentially expressed. Expressed in endocrine tissues.
-
數據庫鏈接:
Most popular with customers
-
-
YWHAB Recombinant Monoclonal Antibody
Applications: ELISA, WB, IHC, IF, FC
Species Reactivity: Human, Mouse, Rat
-
Phospho-YAP1 (S127) Recombinant Monoclonal Antibody
Applications: ELISA, WB, IHC
Species Reactivity: Human
-
-
-
-
-















