HERC6 Antibody
-
中文名稱:HERC6兔多克隆抗體
-
貨號:CSB-PA812876LA01HU
-
規格:¥440
-
圖片:
-
其他:
產品詳情
-
產品名稱:Rabbit anti-Homo sapiens (Human) HERC6 Polyclonal antibody
-
Uniprot No.:
-
基因名:HERC6
-
別名:EC 6.3.2. antibody; FLJ20637 antibody; HECT and RLD domain containing E3 ubiquitin protein ligase family member 6 antibody; HECT domain and RCC1 like domain containing protein 6 antibody; HECT domain and RCC1-like domain 6 antibody; HECT domain and RCC1-like domain-containing protein 6 antibody; Hect domain and RLD 6 antibody; HERC 6 antibody; HERC6 antibody; HERC6_HUMAN antibody; Potential ubiquitin ligase antibody; Probable E3 ubiquitin protein ligase HERC6 antibody; Probable E3 ubiquitin-protein ligase HERC6 antibody
-
宿主:Rabbit
-
反應種屬:Human
-
免疫原:Recombinant Human Probable E3 ubiquitin-protein ligase HERC6 protein (764-1022AA)
-
免疫原種屬:Homo sapiens (Human)
-
標記方式:Non-conjugated
本頁面中的產品,HERC6 Antibody (CSB-PA812876LA01HU),的標記方式是Non-conjugated。對于HERC6 Antibody,我們還提供其他標記。見下表:
-
克隆類型:Polyclonal
-
抗體亞型:IgG
-
純化方式:>95%, Protein G purified
-
濃度:It differs from different batches. Please contact us to confirm it.
-
保存緩沖液:Preservative: 0.03% Proclin 300
Constituents: 50% Glycerol, 0.01M PBS, PH 7.4 -
產品提供形式:Liquid
-
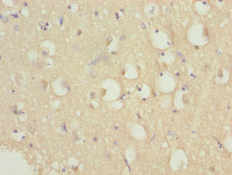
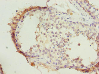
應用范圍:ELISA, IHC
-
推薦稀釋比:
Application Recommended Dilution IHC 1:20-1:200 -
Protocols:
-
儲存條件:Upon receipt, store at -20°C or -80°C. Avoid repeated freeze.
-
貨期:Basically, we can dispatch the products out in 1-3 working days after receiving your orders. Delivery time maybe differs from different purchasing way or location, please kindly consult your local distributors for specific delivery time.
-
用途:For Research Use Only. Not for use in diagnostic or therapeutic procedures.
相關產品
靶點詳情
-
功能:E3 ubiquitin-protein ligase which accepts ubiquitin from an E2 ubiquitin-conjugating enzyme in the form of a thioester and then directly transfers the ubiquitin to targeted substrates.
-
基因功能參考文獻:
- HERC6 ancestor emerged in nematodes and that the family expanded throughout evolution. The mRNA expression pattern was found to be diverse in selected tissues and cells PMID: 15676274
-
亞細胞定位:Cytoplasm, cytosol.
-
組織特異性:Detected in brain, heart, placenta and testis.
-
數據庫鏈接:
Most popular with customers
-
-
YWHAB Recombinant Monoclonal Antibody
Applications: ELISA, WB, IHC, IF, FC
Species Reactivity: Human, Mouse, Rat
-
Phospho-YAP1 (S127) Recombinant Monoclonal Antibody
Applications: ELISA, WB, IHC
Species Reactivity: Human
-
-
-
-
-















