HEBP2 Antibody
-
中文名稱:HEBP2兔多克隆抗體
-
貨號:CSB-PA896539HA01HU
-
規格:¥440
-
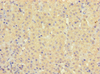
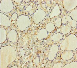
圖片:
-
其他:
產品詳情
-
產品名稱:Rabbit anti-Homo sapiens (Human) HEBP2 Polyclonal antibody
-
Uniprot No.:
-
基因名:HEBP2
-
別名:C6orf34 antibody; Chromosome 6 open reading frame 34 antibody; Hebp2 antibody; HEBP2_HUMAN antibody; Heme binding protein 2 antibody; Heme-binding protein 2 antibody; Placental protein 23 antibody; PP23 antibody; Protein SOUL antibody; SOUL antibody
-
宿主:Rabbit
-
反應種屬:Human
-
免疫原:Recombinant Human Heme-binding protein 2 protein (2-205AA)
-
免疫原種屬:Homo sapiens (Human)
-
標記方式:Non-conjugated
本頁面中的產品,HEBP2 Antibody (CSB-PA896539HA01HU),的標記方式是Non-conjugated。對于HEBP2 Antibody,我們還提供其他標記。見下表:
-
克隆類型:Polyclonal
-
抗體亞型:IgG
-
純化方式:>95%, Protein G purified
-
濃度:It differs from different batches. Please contact us to confirm it.
-
保存緩沖液:Preservative: 0.03% Proclin 300
Constituents: 50% Glycerol, 0.01M PBS, PH 7.4 -
產品提供形式:Liquid
-
應用范圍:ELISA, IHC
-
推薦稀釋比:
Application Recommended Dilution IHC 1:20-1:200 -
Protocols:
-
儲存條件:Upon receipt, store at -20°C or -80°C. Avoid repeated freeze.
-
貨期:Basically, we can dispatch the products out in 1-3 working days after receiving your orders. Delivery time maybe differs from different purchasing way or location, please kindly consult your local distributors for specific delivery time.
-
用途:For Research Use Only. Not for use in diagnostic or therapeutic procedures.
相關產品
靶點詳情
-
功能:Can promote mitochondrial permeability transition and facilitate necrotic cell death under different types of stress conditions.
-
基因功能參考文獻:
- There are important structural differences in the BH3 domain in the intact SOUL molecule and the same sequence bound to Bcl-xL. PMID: 21639858
- SOUL can be a novel member of the BH3 domain-only proteins that cannot induce cell death alone but can facilitate both outer and inner mitochondrial membrane permeabilization and predominantly necrotic cell death in oxidative stress. PMID: 19901022
- SOUL promotes necrotic cell death by inducing mitochondrial permeability transition PMID: 17098234
- preliminary X ray structure PMID: 19574650
-
亞細胞定位:Cytoplasm. Mitochondrion.
-
蛋白家族:HEBP family
-
組織特異性:Detected in placenta.
-
數據庫鏈接:
Most popular with customers
-
-
YWHAB Recombinant Monoclonal Antibody
Applications: ELISA, WB, IHC, IF, FC
Species Reactivity: Human, Mouse, Rat
-
Phospho-YAP1 (S127) Recombinant Monoclonal Antibody
Applications: ELISA, WB, IHC
Species Reactivity: Human
-
-
-
-
-















