HBZ Antibody
-
中文名稱:HBZ兔多克隆抗體
-
貨號:CSB-PA010162DSR2HU
-
規格:¥440
-
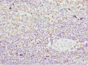
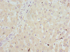
圖片:
-
其他:
產品詳情
-
產品名稱:Rabbit anti-Homo sapiens (Human) HBZ Polyclonal antibody
-
Uniprot No.:
-
基因名:HBZ
-
別名:HBAZ antibody; HBAZ_HUMAN antibody; HBZ 2 antibody; HBZ antibody; HBZ2 antibody; Hemoglobin subunit zeta antibody; Hemoglobin zeta antibody; Hemoglobin zeta chain antibody; Zeta globin antibody; Zeta-globin antibody
-
宿主:Rabbit
-
反應種屬:Human
-
免疫原:Recombinant Human Hemoglobin subunit zeta protein (1-142AA)
-
免疫原種屬:Homo sapiens (Human)
-
標記方式:Non-conjugated
-
克隆類型:Polyclonal
-
抗體亞型:IgG
-
純化方式:Antigen Affinity Purified
-
濃度:It differs from different batches. Please contact us to confirm it.
-
保存緩沖液:PBS with 0.02% sodium azide, 50% glycerol, pH7.3.
-
產品提供形式:Liquid
-
應用范圍:ELISA, IHC
-
推薦稀釋比:
Application Recommended Dilution IHC 1:20-1:200 -
Protocols:
-
儲存條件:Upon receipt, store at -20°C or -80°C. Avoid repeated freeze.
-
貨期:Basically, we can dispatch the products out in 1-3 working days after receiving your orders. Delivery time maybe differs from different purchasing way or location, please kindly consult your local distributors for specific delivery time.
-
用途:For Research Use Only. Not for use in diagnostic or therapeutic procedures.
相關產品
靶點詳情
-
功能:The zeta chain is an alpha-type chain of mammalian embryonic hemoglobin.
-
基因功能參考文獻:
- Data indicate a tetranucleotide 3'UTR motif that is required for the high-level accumulation of zeta-globin transcripts in cultured cells, and demonstrate that it prolongs their cytoplasmic half-lives. PMID: 24751163
- Chimeric zeta globin exhibits oxygen binding characteristics which fall within the range observed in adult human and human embryonic hemoglobins. PMID: 11747442
- The HBZ protein is localized to heterochromatin and capable of repressing JUN activity and viral transcription. PMID: 15755797
-
蛋白家族:Globin family
-
組織特異性:Detected in fetal erythrocytes (at protein level).
-
數據庫鏈接:
Most popular with customers
-
-
YWHAB Recombinant Monoclonal Antibody
Applications: ELISA, WB, IHC, IF, FC
Species Reactivity: Human, Mouse, Rat
-
Phospho-YAP1 (S127) Recombinant Monoclonal Antibody
Applications: ELISA, WB, IHC
Species Reactivity: Human
-
-
-
-
-















