HAO1 Antibody
-
中文名稱:HAO1兔多克隆抗體
-
貨號:CSB-PA891938LA01HU
-
規格:¥440
-
圖片:
-
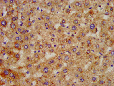
IHC image of CSB-PA891938LA01HU diluted at 1:300 and staining in paraffin-embedded human liver tissue performed on a Leica BondTM system. After dewaxing and hydration, antigen retrieval was mediated by high pressure in a citrate buffer (pH 6.0). Section was blocked with 10% normal goat serum 30min at RT. Then primary antibody (1% BSA) was incubated at 4°C overnight. The primary is detected by a biotinylated secondary antibody and visualized using an HRP conjugated SP system.
-
Immunofluorescence staining of HepG2 cells with CSB-PA891938LA01HU at 1:100, counter-stained with DAPI. The cells were fixed in 4% formaldehyde, permeabilized using 0.2% Triton X-100 and blocked in 10% normal Goat Serum. The cells were then incubated with the antibody overnight at 4°C. The secondary antibody was Alexa Fluor 488-congugated AffiniPure Goat Anti-Rabbit IgG(H+L).
-
-
其他:
產品詳情
-
產品名稱:Rabbit anti-Homo sapiens (Human) HAO1 Polyclonal antibody
-
Uniprot No.:
-
基因名:HAO1
-
別名:(S) 2 hydroxy acid oxidase antibody; Glycolate oxidase antibody; GOX antibody; GOX1 antibody; HAO1 antibody; HAOX1 antibody; HAOX1_HUMAN antibody; Hydroxyacid oxidase 1 antibody; MGC142225 antibody; MGC142227 antibody; OTTHUMP00000030231 antibody
-
宿主:Rabbit
-
反應種屬:Human
-
免疫原:Recombinant Human Hydroxyacid oxidase 1 protein (161-273AA)
-
免疫原種屬:Homo sapiens (Human)
-
標記方式:Non-conjugated
本頁面中的產品,HAO1 Antibody (CSB-PA891938LA01HU),的標記方式是Non-conjugated。對于HAO1 Antibody,我們還提供其他標記。見下表:
-
克隆類型:Polyclonal
-
抗體亞型:IgG
-
純化方式:>95%, Protein G purified
-
濃度:It differs from different batches. Please contact us to confirm it.
-
保存緩沖液:Preservative: 0.03% Proclin 300
Constituents: 50% Glycerol, 0.01M PBS, pH 7.4 -
產品提供形式:Liquid
-
應用范圍:ELISA, IHC, IF
-
推薦稀釋比:
Application Recommended Dilution IHC 1:200-1:500 IF 1:50-1:200 -
Protocols:
-
儲存條件:Upon receipt, store at -20°C or -80°C. Avoid repeated freeze.
-
貨期:Basically, we can dispatch the products out in 1-3 working days after receiving your orders. Delivery time maybe differs from different purchasing way or location, please kindly consult your local distributors for specific delivery time.
-
用途:For Research Use Only. Not for use in diagnostic or therapeutic procedures.
相關產品
問答及客戶評論
■ 常見問題解答
靶點詳情
-
功能:Has 2-hydroxyacid oxidase activity. Most active on the 2-carbon substrate glycolate, but is also active on 2-hydroxy fatty acids, with high activity towards 2-hydroxy palmitate and 2-hydroxy octanoate.
-
基因功能參考文獻:
- The study presents the first spectroscopic evidence of the formation of an intermediate with absorbance features resembling those of a flavosemiquinone in the oxidative half-reaction of glycolate oxidase. PMID: 21141873
- The inhibitor heteroatoms interact with five active-site residues that have been implicated in catalysis in homologous flavodehydrogenases of L-2-hydroxy acids. In addition, the chlorophenyl substituent is surrounded by nonconserved hydrophobic residues. PMID: 20054120
- These inhibitions suggest that glycolate binds to the active site of the reduced enzyme, and that DCIP also has affinity for the oxidized enzyme. PMID: 17669354
- Active site and loop 4 movements within human glycolate oxidase. PMID: 18215067
-
亞細胞定位:Peroxisome.
-
蛋白家族:FMN-dependent alpha-hydroxy acid dehydrogenase family
-
組織特異性:Liver.
-
數據庫鏈接:
Most popular with customers
-
-
YWHAB Recombinant Monoclonal Antibody
Applications: ELISA, WB, IHC, IF, FC
Species Reactivity: Human, Mouse, Rat
-
Phospho-YAP1 (S127) Recombinant Monoclonal Antibody
Applications: ELISA, WB, IHC
Species Reactivity: Human
-
-
-
-
-















