GZMK Antibody
-
中文名稱:GZMK兔多克隆抗體
-
貨號:CSB-PA057029
-
規格:¥1100
-
圖片:
-
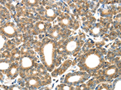
The image on the left is immunohistochemistry of paraffin-embedded Human thyroid cancer tissue using CSB-PA057029(GZMK Antibody) at dilution 1/20, on the right is treated with synthetic peptide. (Original magnification: ×200)
-
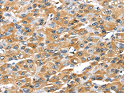
The image on the left is immunohistochemistry of paraffin-embedded Human liver cancer tissue using CSB-PA057029(GZMK Antibody) at dilution 1/20, on the right is treated with synthetic peptide. (Original magnification: ×200)
-
-
其他:
產品詳情
-
Uniprot No.:
-
基因名:
-
別名:Fragmentin 3 antibody; Fragmentin-3 antibody; Fragmentin3 antibody; GRAK_HUMAN antibody; Granzyme 3 antibody; granzyme K (granzyme 3; tryptase II) antibody; granzyme K (serine protease; granzyme 3; tryptase II) antibody; Granzyme K antibody; Granzyme K precursor antibody; Granzyme-3 antibody; Granzyme3 antibody; GranzymeK antibody; GZMK antibody; NK TRYP 2 antibody; NK TRYP2 antibody; NK tryptase 2 antibody; NK-TRYP-2 antibody; NK-tryptase-2 antibody; NKTRYP2 antibody; Serine protease granzyme 3 antibody; TRYP 2 antibody; TRYP2 antibody; Tryptase II antibody; TryptaseII antibody
-
宿主:Rabbit
-
反應種屬:Human
-
免疫原:Synthetic peptide of Human GZMK
-
免疫原種屬:Homo sapiens (Human)
-
標記方式:Non-conjugated
-
抗體亞型:IgG
-
純化方式:Antigen affinity purification
-
濃度:It differs from different batches. Please contact us to confirm it.
-
保存緩沖液:-20°C, pH7.4 PBS, 0.05% NaN3, 40% Glycerol
-
產品提供形式:Liquid
-
應用范圍:ELISA,IHC
-
推薦稀釋比:
Application Recommended Dilution ELISA 1:2000-1:5000 IHC 1:25-1:100 -
Protocols:
-
儲存條件:Upon receipt, store at -20°C or -80°C. Avoid repeated freeze.
-
貨期:Basically, we can dispatch the products out in 1-3 working days after receiving your orders. Delivery time maybe differs from different purchasing way or location, please kindly consult your local distributors for specific delivery time.
-
用途:For Research Use Only. Not for use in diagnostic or therapeutic procedures.
相關產品
靶點詳情
-
基因功能參考文獻:
- Extracellular granzyme K mediates endothelial activation through the cleavage of PAR-1. PMID: 26936634
- Extracellular GrK is an unexpected direct modulator of lipopolysaccharide-TLR4 signaling during the antimicrobial innate immune response. PMID: 24711407
- Granzyme K plays an important physiological role in immunoregulation of adaptive immunity underlying the cytotoxicity of CD56(bright) natural killer (NK) cells toward activated T cells. PMID: 21666061
- Gr3 proenzymes is activated by cathepsin C which concomitantly decreased the molecular weight to that of active Gr3. PMID: 20377743
- The 2.2-A crystal structure reveals a rigid zymogen with unusual features PMID: 12384499
- The present findings thus introduce the possibility that human beta-tryptase, after mast cell degranulation and exposure to neutral pH in the tissue, may dissociate into active monomers with properties that are distinct from the tetrameric counterpart. PMID: 12387726
- We found human GzmK triggers rapid cell death independently of caspase activation. The features of death are characterized by rapid externalization of phosphatidylserine, nuclear morphological changes and single-stranded DNA nicks. PMID: 17008916
- Rsults indicate that plasma levels of Granzyme K could serve as a useful diagnostic marker to stage sepsis, permitting better classification, specific treatments of patients, and may play a functional role in the development of sepsis. PMID: 17438453
- p53 is as a cytotoxic bomb that can be triggered by granzyme K, leading to potentiating killing efficacy. PMID: 19201868
顯示更多
收起更多
-
亞細胞定位:Secreted. Cytoplasmic granule.
-
蛋白家族:Peptidase S1 family, Granzyme subfamily
-
組織特異性:Expressed in lung, spleen, thymus and peripheral blood leukocytes.
-
數據庫鏈接:
Most popular with customers
-
-
YWHAB Recombinant Monoclonal Antibody
Applications: ELISA, WB, IHC, IF, FC
Species Reactivity: Human, Mouse, Rat
-
Phospho-YAP1 (S127) Recombinant Monoclonal Antibody
Applications: ELISA, WB, IHC
Species Reactivity: Human
-
-
-
-
-















