GZMH Antibody
-
中文名稱:GZMH兔多克隆抗體
-
貨號:CSB-PA010083ESR2HU
-
規格:¥440
-
圖片:
-
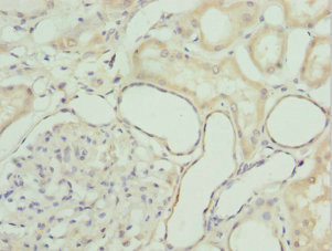
Immunohistochemistry of paraffin-embedded human kidney tissue using CSB-PA010083ESR2HU at dilution of 1:100
-
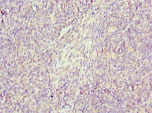
Immunohistochemistry of paraffin-embedded human thymus tissue using CSB-PA010083ESR2HU at dilution of 1:100
-
Immunofluorescent analysis of PC-3 cells using CSB-PA010083ESR2HU at dilution of 1:100 and Alexa Fluor 488-congugated AffiniPure Goat Anti-Rabbit IgG(H+L)
-
-
其他:
產品詳情
-
產品名稱:Rabbit anti-Homo sapiens (Human) GZMH Polyclonal antibody
-
Uniprot No.:
-
基因名:GZMH
-
別名:Cathepsin G like 2 antibody; Cathepsin G-like 2 antibody; CCP X antibody; CCP-X antibody; CGL 2 antibody; CGL2 antibody; CSP C antibody; CSP-C antibody; CTLA1 antibody; CTSGL2 antibody; Cytotoxic serine protease C antibody; Cytotoxic T lymphocyte associated serine esterase 1 antibody; Cytotoxic T lymphocyte proteinase antibody; Cytotoxic T-lymphocyte proteinase antibody; EC 3.4.21.- antibody; GRAH_HUMAN antibody; Granzyme H (cathepsin G-like 2; protein h-CCPX) antibody; Granzyme H antibody; GZMH antibody; Protein h CCPX antibody
-
宿主:Rabbit
-
反應種屬:Human
-
免疫原:Recombinant Human Granzyme H protein (20-246AA)
-
免疫原種屬:Homo sapiens (Human)
-
標記方式:Non-conjugated
-
克隆類型:Polyclonal
-
抗體亞型:IgG
-
純化方式:Antigen Affinity Purified
-
濃度:It differs from different batches. Please contact us to confirm it.
-
保存緩沖液:PBS with 0.02% sodium azide, 50% glycerol, pH7.3.
-
產品提供形式:Liquid
-
應用范圍:ELISA, IHC, IF
-
推薦稀釋比:
Application Recommended Dilution IHC 1:20-1:200 IF 1:50-1:200 -
Protocols:
-
儲存條件:Upon receipt, store at -20°C or -80°C. Avoid repeated freeze.
-
貨期:Basically, we can dispatch the products out in 1-3 working days after receiving your orders. Delivery time maybe differs from different purchasing way or location, please kindly consult your local distributors for specific delivery time.
-
用途:For Research Use Only. Not for use in diagnostic or therapeutic procedures.
相關產品
靶點詳情
-
功能:Cytotoxic chymotrypsin-like serine protease with preference for bulky and aromatic residues at the P1 position and acidic residues at the P3' and P4' sites. Probably necessary for target cell lysis in cell-mediated immune responses. Participates in the antiviral response via direct cleavage of several proteins essential for viral replication.
-
基因功能參考文獻:
- Granzyme H did directly process DFF45, potentially leading to DNA damage. PMID: 23352961
- Upon reactive center loop cleavage at Phe-343,SERPINB1 covalently complexes with GzmH. SERPINB1 overexpression suppresses GzmH- or LAK cell-mediated cytotoxicity. Crystal structures show possible conformational changes in GzmH for the suicide inhibition. PMID: 23269243
- An unusual RKR motif (Arg39-Lys40-Arg41), conserved only in GzmH, helps define the S3' and S4' binding regions, indicating the preference for acidic residues at the P3' and P4' sites. PMID: 22156497
- GzmH suppresses viral replication through association with the hepatitis B virus x protein. PMID: 22156339
- Granzyme C rapidly induces target cell death by attacking nuclear and mitochondrial targets and that these targets are distinct from those used by granzyme B to cause classical apoptosis. PMID: 12515723
- granzyme H complements the pro-apoptotic function of granzyme B in human NK cells PMID: 15069086
- Granzyme H destroys the function of critical adenoviral proteins required for viral DNA replication and granzyme B inhibition. PMID: 17363894
- Expression levels of GzmH in naive natural killer cells and its killing ability support the role of the protease in triggering an alternative cell-death pathway in innate immunity. PMID: 17409270
- GzmH may play an essential role in caspase-dependent pathogen clearance in the innate immunity that may complement the proapoptotic function of GzmB in human NK cells. PMID: 17765974
- Granzyme H could have evolved a proteolytic specificity that both interferes directly with adenovirus replication and prevents the virus from blocking the potent pro-apoptotic activity of granzyme B. PMID: 17766182
- Cleavage of La protein by granzyme H generates a COOH-terminal truncated form of La protein that loses nuclear localization and decreases hepatitis C virus-internal ribosome entry site-mediated translational activity. PMID: 19039329
顯示更多
收起更多
-
亞細胞定位:Cytolytic granule.
-
蛋白家族:Peptidase S1 family, Granzyme subfamily
-
組織特異性:Constitutively expressed in NK cells.
-
數據庫鏈接:
Most popular with customers
-
-
YWHAB Recombinant Monoclonal Antibody
Applications: ELISA, WB, IHC, IF, FC
Species Reactivity: Human, Mouse, Rat
-
Phospho-YAP1 (S127) Recombinant Monoclonal Antibody
Applications: ELISA, WB, IHC
Species Reactivity: Human
-
-
-
-
-















