GTF3C5 Antibody
-
中文名稱:GTF3C5兔多克隆抗體
-
貨號:CSB-PA896534LA01HU
-
規格:¥440
-
圖片:
-
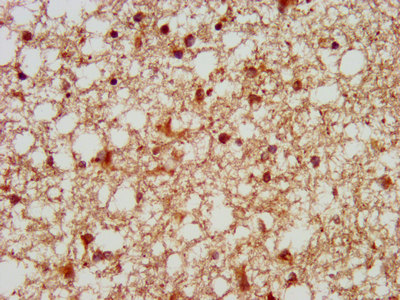
IHC image of CSB-PA896534LA01HU diluted at 1:100 and staining in paraffin-embedded human brain tissue performed on a Leica BondTM system. After dewaxing and hydration, antigen retrieval was mediated by high pressure in a citrate buffer (pH 6.0). Section was blocked with 10% normal goat serum 30min at RT. Then primary antibody (1% BSA) was incubated at 4°C overnight. The primary is detected by a biotinylated secondary antibody and visualized using an HRP conjugated SP system.
-
-
其他:
產品詳情
-
產品名稱:Rabbit anti-Homo sapiens (Human) GTF3C5 Polyclonal antibody
-
Uniprot No.:
-
基因名:GTF3C5
-
別名:FLJ20857 antibody; General transcription factor 3C polypeptide 5 antibody; General transcription factor IIIC polypeptide 5 63kDa antibody; GTF3C5 antibody; TF3C epsilon antibody; TF3C-epsilon antibody; TF3C5_HUMAN antibody; TFIIIC 63 kDa subunit antibody; TFiiiC2 63 antibody; TFIIIC63 antibody; TFIIICepsilon antibody; Transcription factor IIIC 63 kDa subunit antibody; Transcription factor IIIC epsilon subunit antibody; Transcription factor IIIC subunit epsilon antibody
-
宿主:Rabbit
-
反應種屬:Human
-
免疫原:Recombinant Human General transcription factor 3C polypeptide 5 protein (305-448AA)
-
免疫原種屬:Homo sapiens (Human)
-
標記方式:Non-conjugated
本頁面中的產品,GTF3C5 Antibody (CSB-PA896534LA01HU),的標記方式是Non-conjugated。對于GTF3C5 Antibody,我們還提供其他標記。見下表:
-
克隆類型:Polyclonal
-
抗體亞型:IgG
-
純化方式:>95%, Protein G purified
-
濃度:It differs from different batches. Please contact us to confirm it.
-
保存緩沖液:Preservative: 0.03% Proclin 300
Constituents: 50% Glycerol, 0.01M PBS, pH 7.4 -
產品提供形式:Liquid
-
應用范圍:ELISA, IHC
-
推薦稀釋比:
Application Recommended Dilution IHC 1:20-1:200 -
Protocols:
-
儲存條件:Upon receipt, store at -20°C or -80°C. Avoid repeated freeze.
-
貨期:Basically, we can dispatch the products out in 1-3 working days after receiving your orders. Delivery time maybe differs from different purchasing way or location, please kindly consult your local distributors for specific delivery time.
-
用途:For Research Use Only. Not for use in diagnostic or therapeutic procedures.
相關產品
靶點詳情
-
功能:Involved in RNA polymerase III-mediated transcription. Integral, tightly associated component of the DNA-binding TFIIIC2 subcomplex that directly binds tRNA and virus-associated RNA promoters.
-
亞細胞定位:Nucleus.
-
蛋白家族:TFIIIC subunit 5 family
-
數據庫鏈接:
Most popular with customers
-
-
Phospho-YAP1 (S127) Recombinant Monoclonal Antibody
Applications: ELISA, WB, IHC
Species Reactivity: Human
-
-
-
-
-
-
VCP Recombinant Monoclonal Antibody
Applications: ELISA, WB, IHC, IF, IP
Species Reactivity: Human, Rat















