GSX2 Antibody
-
中文名稱:GSX2兔多克隆抗體
-
貨號:CSB-PA009996LA01HU
-
規格:¥440
-
圖片:
-
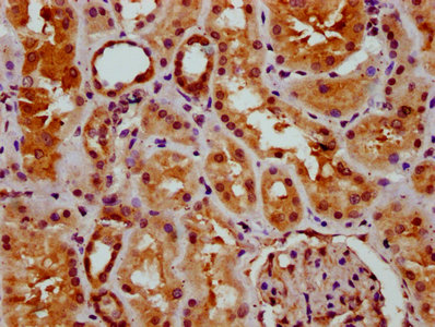
IHC image of CSB-PA009996LA01HU diluted at 1:400 and staining in paraffin-embedded human kidney tissue performed on a Leica BondTM system. After dewaxing and hydration, antigen retrieval was mediated by high pressure in a citrate buffer (pH 6.0). Section was blocked with 10% normal goat serum 30min at RT. Then primary antibody (1% BSA) was incubated at 4°C overnight. The primary is detected by a biotinylated secondary antibody and visualized using an HRP conjugated SP system.
-
-
其他:
產品詳情
-
產品名稱:Rabbit anti-Homo sapiens (Human) GSX2 Polyclonal antibody
-
Uniprot No.:
-
基因名:GSX2
-
別名:GS homeobox 2 antibody; GSX2 antibody; GSX2_HUMAN antibody; Homeobox protein GSH 2 antibody; Homeobox protein GSH-2 antibody
-
宿主:Rabbit
-
反應種屬:Human
-
免疫原:Recombinant Human GS homeobox 2 protein (15-118AA)
-
免疫原種屬:Homo sapiens (Human)
-
標記方式:Non-conjugated
本頁面中的產品,GSX2 Antibody (CSB-PA009996LA01HU),的標記方式是Non-conjugated。對于GSX2 Antibody,我們還提供其他標記。見下表:
-
克隆類型:Polyclonal
-
抗體亞型:IgG
-
純化方式:>95%, Protein G purified
-
濃度:It differs from different batches. Please contact us to confirm it.
-
保存緩沖液:Preservative: 0.03% Proclin 300
Constituents: 50% Glycerol, 0.01M PBS, pH 7.4 -
產品提供形式:Liquid
-
應用范圍:ELISA, IHC
-
推薦稀釋比:
Application Recommended Dilution IHC 1:200-1:500 -
Protocols:
-
儲存條件:Upon receipt, store at -20°C or -80°C. Avoid repeated freeze.
-
貨期:Basically, we can dispatch the products out in 1-3 working days after receiving your orders. Delivery time maybe differs from different purchasing way or location, please kindly consult your local distributors for specific delivery time.
-
用途:For Research Use Only. Not for use in diagnostic or therapeutic procedures.
相關產品
靶點詳情
-
功能:Transcription factor that binds 5'-CNAATTAG-3' DNA sequence and regulates the expression of numerous genes including genes important for brain development. During telencephalic development, causes ventralization of pallial progenitors and, depending on the developmental stage, specifies different neuronal fates. At early stages, necessary and sufficient to correctly specify the ventral lateral ganglionic eminence (LGE) and its major derivatives, the striatal projection neurons. At later stages, may specify LGE progenitors toward dorsal LGE fates, including olfactory bulb interneurons.
-
基因功能參考文獻:
- Data show that GS Homeobox 2 (Gsx2) and Early B-cell factor 1 (Ebf1) combined overexpression in human embryonic stem (hES) cells achieves high yields of medium spiny neurons (MSNs). PMID: 28137879
- 4q12 translocations with GSX2 expression identify a CD7(+) acute myeloid leukaemia subset. PMID: 25816740
- Gsx2 negatively regulates neurogenesis from postnatal progenitor cells. PMID: 22242181
- Transgenic mice lacking microRNAs miR-9-2 and miR-9-3 exhibit multiple defects of telencephalic structures which may be brought about by dysregulation of Foxg1, Nr2e1, Gsh2, and Meis2 expression. PMID: 21368052
- ectopically expressed in myeloid leukemic cells with t(4;12)(q11-q12;p13), suggesting that expression of GSH2 was deregulated by the translocation, indicating a variant leukemogenic mechanism for translocations involving the 5' end of ETV6 PMID: 11861295
- Gsx2 specifies striatal projection neuron and olfactory bulb interneuron identity at distinct time points during neurogenesis in transgenic mice. PMID: 19709628
顯示更多
收起更多
-
亞細胞定位:Nucleus. Cytoplasm.
-
蛋白家族:Antp homeobox family
-
數據庫鏈接:
Most popular with customers
-
YWHAB Recombinant Monoclonal Antibody
Applications: ELISA, WB, IHC, IF, FC
Species Reactivity: Human, Mouse, Rat
-
Phospho-YAP1 (S127) Recombinant Monoclonal Antibody
Applications: ELISA, WB, IHC
Species Reactivity: Human
-
-
-
-
-
-















