GSTM4 Antibody
-
中文名稱:GSTM4兔多克隆抗體
-
貨號:CSB-PA009984ESR2HU
-
規格:¥440
-
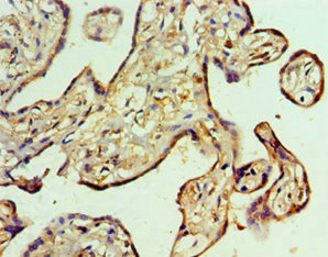
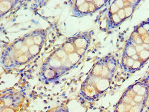
圖片:
-
其他:
產品詳情
-
產品名稱:Rabbit anti-Homo sapiens (Human) GSTM4 Polyclonal antibody
-
Uniprot No.:
-
基因名:GSTM4
-
別名:Glutathione S transferase M4 antibody; Glutathione S transferase Mu 4 antibody; Glutathione S-transferase Mu 4 antibody; GST class mu 4 antibody; GST class-mu 4 antibody; GST-Mu2 antibody; GSTM4 4 antibody; GSTM4 antibody; GSTM4-4 antibody; GSTM4_HUMAN antibody; GTM4 antibody; GTS Mu2 antibody; MGC131945 antibody; MGC9247 antibody
-
宿主:Rabbit
-
反應種屬:Human
-
免疫原:Recombinant Human Glutathione S-transferase Mu 4 protein (1-218AA)
-
免疫原種屬:Homo sapiens (Human)
-
標記方式:Non-conjugated
-
克隆類型:Polyclonal
-
抗體亞型:IgG
-
純化方式:Antigen Affinity Purified
-
濃度:It differs from different batches. Please contact us to confirm it.
-
保存緩沖液:PBS with 0.02% sodium azide, 50% glycerol, pH7.3.
-
產品提供形式:Liquid
-
應用范圍:ELISA, IHC
-
推薦稀釋比:
Application Recommended Dilution IHC 1:20-1:200 -
Protocols:
-
儲存條件:Upon receipt, store at -20°C or -80°C. Avoid repeated freeze.
-
貨期:Basically, we can dispatch the products out in 1-3 working days after receiving your orders. Delivery time maybe differs from different purchasing way or location, please kindly consult your local distributors for specific delivery time.
-
用途:For Research Use Only. Not for use in diagnostic or therapeutic procedures.
相關產品
靶點詳情
-
功能:Conjugation of reduced glutathione to a wide number of exogenous and endogenous hydrophobic electrophiles. Catalyzes the conjugation of leukotriene A4 with reduced glutathione (GSH) to form leukotriene C4. Can also catalyzes the transfer of a glutathionyl group from glutathione (GSH) to 13(S),14(S)-epoxy-docosahexaenoic acid to form maresin conjugate in tissue regeneration 1 (MCTR1), a bioactive lipid mediator that possess potent anti-inflammatory and proresolving actions.
-
基因功能參考文獻:
- We observed suggestive associations between survival and GSTT1 copy number and GSTA5, GSTM4, and ABCC4 single nucleotide polymorphisms PMID: 20200426
- A T2517C polymorphism in the GSTM4 gene is associated with risk of developing lung cancer. PMID: 12140136
- a novel splice variant of GSTM4 that resulted from tandem skipping of exons 4 and 5 is identified. PMID: 16854533
- GSTM4 (glutathione S-transferase mu 4) haplotype 1101000 may be an important determinant for lung function growth PMID: 19151192
- GSTM4 contributes to the cancerous behavior of Ewing's sarcoma. PMID: 19718047
顯示更多
收起更多
-
亞細胞定位:Cytoplasm.
-
蛋白家族:GST superfamily, Mu family
-
組織特異性:Expressed in a wide variety of tissues.
-
數據庫鏈接:
Most popular with customers
-
-
YWHAB Recombinant Monoclonal Antibody
Applications: ELISA, WB, IHC, IF, FC
Species Reactivity: Human, Mouse, Rat
-
Phospho-YAP1 (S127) Recombinant Monoclonal Antibody
Applications: ELISA, WB, IHC
Species Reactivity: Human
-
-
-
-
-















