GSTA2 Antibody
-
中文名稱:GSTA2兔多克隆抗體
-
貨號:CSB-PA009971ESR2HU
-
規格:¥440
-
圖片:
-
Western blot
All lanes: Glutathione S-transferase A2 antibody at 4μg/ml + Mouse liver tissue
Secondary
Goat polyclonal to rabbit IgG at 1/10000 dilution
Predicted band size: 26 kDa
Observed band size: 26 kDa -
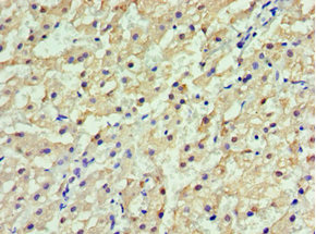
Immunohistochemistry of paraffin-embedded human liver cancer using CSB-PA009971ESR2HU at dilution of 1:100
-
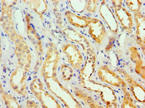
Immunohistochemistry of paraffin-embedded human kidney tissue using CSB-PA009971ESR2HU at dilution of 1:100
-
-
其他:
產品詳情
-
產品名稱:Rabbit anti-Homo sapiens (Human) GSTA2 Polyclonal antibody
-
Uniprot No.:
-
基因名:GSTA2
-
別名:GSTA2 antibody; GST2 antibody; Glutathione S-transferase A2 antibody; EC 2.5.1.18 antibody; GST HA subunit 2 antibody; GST class-alpha member 2 antibody; GST-gamma antibody; GSTA2-2 antibody; GTH2 antibody
-
宿主:Rabbit
-
反應種屬:Human, Mouse
-
免疫原:Recombinant Human Glutathione S-transferase A2 protein (1-222AA)
-
免疫原種屬:Homo sapiens (Human)
-
標記方式:Non-conjugated
-
克隆類型:Polyclonal
-
抗體亞型:IgG
-
純化方式:Antigen Affinity Purified
-
濃度:It differs from different batches. Please contact us to confirm it.
-
保存緩沖液:PBS with 0.02% sodium azide, 50% glycerol, pH7.3.
-
產品提供形式:Liquid
-
應用范圍:ELISA, WB, IHC
-
推薦稀釋比:
Application Recommended Dilution WB 1:500-1:2000 IHC 1:20-1:200 -
Protocols:
-
儲存條件:Upon receipt, store at -20°C or -80°C. Avoid repeated freeze.
-
貨期:Basically, we can dispatch the products out in 1-3 working days after receiving your orders. Delivery time maybe differs from different purchasing way or location, please kindly consult your local distributors for specific delivery time.
-
用途:For Research Use Only. Not for use in diagnostic or therapeutic procedures.
相關產品
靶點詳情
-
功能:Conjugation of reduced glutathione to a wide number of exogenous and endogenous hydrophobic electrophiles.
-
基因功能參考文獻:
- the GSTA2 S112T polymorphism is predictive of transplant outcome in patients receiving busulfan in the preparative regimen, at least in association with cyclophosphamide. PMID: 24056816
- Single nucleotide polymorphism in GSTA2 is associated with low-stage non-small cell lung cancer. PMID: 21792076
- it is unlikely that glutathione S-transferases GSTA2, GSTM2, GSTO1, GSTO2, and GSTZ1 participate in breast cancer susceptibility. PMID: 19859803
- studied the five known allelic variants of human glutathione transferase A2-2 (GST A2-2) (EC 2.5.1.18), abundantly expressed in liver and efficiently catalyzing the bioactivation of azathioprine to release 6-mercaptopurine PMID: 20434437
- The 3D structures of human GSTs A2-2 and A3-3 in complex with Delta(4)-androstene-3-17-dione, were solved. PMID: 20083122
- Polymorphism identified in the proximal promoter of GSTA2 correlate with its expression in the liver and is expected to be of significance for individual risk of cancer or individual response to chemotherapeutic agents. PMID: 11692074
- transmutation into an efficient steroid isomerase PMID: 12023294
- no association was observed between individual GSTA2 polymorphisms and haplotypes and individual susceptibility to breast cancer. PMID: 19639209
- Overexpression of GSTA2 by transient transfection protected Colo 320HSR cells against both cycle arrest and apoptosis following exposure to HN2. PMID: 15778998
顯示更多
收起更多
-
亞細胞定位:Cytoplasm.
-
蛋白家族:GST superfamily, Alpha family
-
組織特異性:Liver.
-
數據庫鏈接:
Most popular with customers
-
-
YWHAB Recombinant Monoclonal Antibody
Applications: ELISA, WB, IHC, IF, FC
Species Reactivity: Human, Mouse, Rat
-
-
-
-
-
-















