GSK3A Antibody
-
中文名稱:GSK3A兔多克隆抗體
-
貨號:CSB-PA932427
-
規格:¥1100
-
圖片:
-
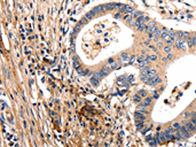
The image on the left is immunohistochemistry of paraffin-embedded Human colon cancer tissue using CSB-PA932427(GSK3A Antibody) at dilution 1/50, on the right is treated with synthetic peptide. (Original magnification: ×200)
-
The image on the left is immunohistochemistry of paraffin-embedded Human renal cancer tissue using CSB-PA932427(GSK3A Antibody) at dilution 1/50, on the right is treated with synthetic peptide. (Original magnification: ×200)
-
-
其他:
產品詳情
-
Uniprot No.:
-
基因名:
-
別名:DKFZp686D0638 antibody; Glycogen synthase kinase 3 alpha antibody; Glycogen synthase kinase-3 alpha antibody; GSK 3 alpha antibody; GSK 3A antibody; GSK-3 alpha antibody; Gsk3a antibody; GSK3A_HUMAN antibody; GSK3alpha antibody; Serine/threonine protein kinase GSK3A antibody
-
宿主:Rabbit
-
反應種屬:Human
-
免疫原:Synthetic peptide of Human GSK3A
-
免疫原種屬:Homo sapiens (Human)
-
標記方式:Non-conjugated
-
抗體亞型:IgG
-
純化方式:Antigen affinity purification
-
濃度:It differs from different batches. Please contact us to confirm it.
-
保存緩沖液:-20°C, pH7.4 PBS, 0.05% NaN3, 40% Glycerol
-
產品提供形式:Liquid
-
應用范圍:ELISA,IHC
-
推薦稀釋比:
Application Recommended Dilution ELISA 1:2000-1:10000 IHC 1:50-1:200 -
Protocols:
-
儲存條件:Upon receipt, store at -20°C or -80°C. Avoid repeated freeze.
-
貨期:Basically, we can dispatch the products out in 1-3 working days after receiving your orders. Delivery time maybe differs from different purchasing way or location, please kindly consult your local distributors for specific delivery time.
-
用途:For Research Use Only. Not for use in diagnostic or therapeutic procedures.
相關產品
靶點詳情
-
功能:Constitutively active protein kinase that acts as a negative regulator in the hormonal control of glucose homeostasis, Wnt signaling and regulation of transcription factors and microtubules, by phosphorylating and inactivating glycogen synthase (GYS1 or GYS2), CTNNB1/beta-catenin, APC and AXIN1. Requires primed phosphorylation of the majority of its substrates. Contributes to insulin regulation of glycogen synthesis by phosphorylating and inhibiting GYS1 activity and hence glycogen synthesis. Regulates glycogen metabolism in liver, but not in muscle. May also mediate the development of insulin resistance by regulating activation of transcription factors. In Wnt signaling, regulates the level and transcriptional activity of nuclear CTNNB1/beta-catenin. Facilitates amyloid precursor protein (APP) processing and the generation of APP-derived amyloid plaques found in Alzheimer disease. May be involved in the regulation of replication in pancreatic beta-cells. Is necessary for the establishment of neuronal polarity and axon outgrowth. Through phosphorylation of the anti-apoptotic protein MCL1, may control cell apoptosis in response to growth factors deprivation. Acts as a regulator of autophagy by mediating phosphorylation of KAT5/TIP60 under starvation conditions, leading to activate KAT5/TIP60 acetyltransferase activity and promote acetylation of key autophagy regulators, such as ULK1 and RUBCNL/Pacer. Negatively regulates extrinsic apoptotic signaling pathway via death domain receptors. Promotes the formation of an anti-apoptotic complex, made of DDX3X, BRIC2 and GSK3B, at death receptors, including TNFRSF10B. The anti-apoptotic function is most effective with weak apoptotic signals and can be overcome by stronger stimulation.
-
基因功能參考文獻:
- GSK-3a and GSK-3b play pivotal roles in hepatocellular carcinoma. (Review) PMID: 28619606
- he combined action of CHIR99021 and forskolin markedly delayed neurological deficits and significantly reduced the tumor volume. We suggest that reprogramming technology may be a potential treatment strategy replacing the therapeutic paradigm of traditional treatment of malignant glioma, and a combination molecule comprising a GSK3 inhibitor and a cAMP inducer could be the next generation of anticancer drugs. PMID: 29161257
- Using integrated analysis of genome-wide short hairpin RNA (shRNA) screening data in combination with genome-wide gene expression data, the study identified GSK3 as one of the key factors in p53-mediated apoptosis in human lung cancer cells. PMID: 28662516
- demonstrated that GSK-3alpha is regulated by CREB in lung cancer and is required for the cell viability. These findings implicate CREB-GSK-3alpha axis as a novel therapeutic target for lung cancer treatment PMID: 27049759
- GSK3 acts through APC motifs R2 and B to regulate APC:Axin interactions, promoting high-throughput of betacatenin to destruction. PMID: 26393419
- reveals that GSK-3alpha- and GSK-3beta-regulated pathways can be responsible for stepwise transition to myelodysplastic syndromes and subsequent acute myeloid leukemia PMID: 26766591
- CHP3 functions as a novel negative regulator of cardiomyocyte hypertrophy via inhibition of GSK3alpha/beta phosphorylation. PMID: 25935310
- Elevated GSK3 protein kinase activity is associated with non-small cell lung carcinoma PMID: 25486534
- GSK3A is redundant with GSK3B in regulating drug-resistance and chemotherapy-induced necroptosis PMID: 24984063
- ER stress-PERK-GSK3alpha/beta signaling promotes proatherogenic macrophage lipid accumulation PMID: 25183803
- glycogen synthase kinase 3 alpha and beta activity is increased in foetal membranes after term and preterm labour PMID: 25550525
- TRAIL-induced apoptosis in pancreatic ductal adenocarcinoma cell lines is enhanced by pharmacological inhibition of glycogen synthase kinase-3 (GSK-3) or by shRNA-mediated depletion of either GSK-3alpha or GSK-3beta. PMID: 24675460
- Data indicate that autophagy inhibition promotes glycogen synthase kinase-(GSK3) inhibition-induced apoptosis. PMID: 25561726
- PtpA has a role in promoting anti-apoptotic activity of protein-dependent dephosphorylation of host GSK3alpha PMID: 25187516
- Protein Kinase B-dependent phosphorylation of glycogen synthase kinase GSK-3 contributes to the pro-fibrotic signaling leading to renal tissue fibrosis in obstructive nephropathy PMID: 24685987
- This review highlights the emerging role of GSK3alpha in Alzheimer's disease which has been largely overlooked in favor of GSK3beta. PMID: 24254703
- In lipopolysaccharide-stimulated human neutrophils, GSK-3-alpha inhibitors mimicked the effect of LiCl, by potentiating TNF-alpha release after 4 h. GSK-3 inhibition prolongs activation of the p38/MNK1/eIF4E pathway of mRNA translation. PMID: 24803542
- JNK and GSK3 especially are potential signaling molecules regulating BMP-induced osteoblastic human mesenchymal stem cells differentiation. PMID: 24060635
- GSK-3 expression and regulation in human neutrophils, was investigated. PMID: 24035907
- this studydemonstrated abundant levels of the critical negative cell-cycle regulators, p27(Kip1), its phosphorylated form, p-p27(S10), p18Ink4c, and GSK-3, in beta-cells of both adult human and mouse pancreatic islets, which contribute to maintenance of beta-cell quiescence. PMID: 23896637
- The involvement of GSK-3 in several key pathophysiological pathways leading to AD and neurodegenerative diseases has placed this enzyme in a central position in this disorder. PMID: 23621307
- GSK3alpha, GSK3beta, and MAPK13 were found to be the most active tau kinases, phosphorylating tau at all four epitopes. PMID: 23798682
- Studies indicate the therapeutic potential of GSK-3 inhibitors for treatment of neurodegenerative and behavior disorders. PMID: 23369789
- Lower phosphorylation levels of GSK3A is associated with poor treatment response in rectal cancer. PMID: 22658458
- Findings suggest that inhibiton of Bcl-2, Bcl-xL and PI3K, and release of Bim from Bcl-2/Bcl-xL and GSK3alpha/beta culminating in Bax/Bak activation and apoptosis. PMID: 23243017
- GSK-3 may play a crucial role in the inflammatory process in chronic rhinosinusitis with nasal polyps (CRSwNP). PMID: 23352529
- GSK-3alpha is more prevalent in low Gleason score tumors, where it might promote androgen-dependent proliferation by activating androgen receptor. PMID: 22539113
- glycogen synthase kinase-3 (GSK3), when deinhibited by default in cells deprived of growth factors, activates acetyltransferase TIP60 through phosphorylating TIP60-Ser86, which acetylates and stimulates the protein kinase ULK1, which is required for autophagy PMID: 22539723
- investigated whether GSK-3 activity is regulated by thymosin beta-4 (Tbeta4) and associated with Tbeta4-mediated migration in gastric cancer cells; expression of GSK-3alpha, beta-catenin and E-cadherin could be negatively regulated by Tbeta4 induced ERK phosphorylation; suggests that Tbeta4 could be a novel regulator to control Wnt signal pathway PMID: 22328534
- GSK3 inhibitor-BIO regulates proliferation of immortalized pancreatic mesenchymal stem cells PMID: 22384031
- GSK-3alpha has a role and is a target in human acute myeloid leukemia PMID: 22326953
- Glycogen synthase kinase (GSK)-3 promotes p70 ribosomal protein S6 kinase (p70S6K) activity and cell proliferation. PMID: 22065737
- Data show that p53 directly up-regulates microRNA-149* (miR-149*) that in turn targets glycogen synthase kinase-3alpha, resulting in increased expression of Mcl-1 and resistance to apoptosis in melanoma cells. PMID: 21896753
- GSK3 acts as a molecular brake on the signaling pathway, leading to TF expression in monocytes interacting with activated platelets PMID: 21320285
- The authors demonstrate that inhibition of GSK-3 dampens Bacillus anthracis edema toxin-induced maturation and migration processes of monocyte-derived dendritic cells. PMID: 21576335
- Overexpression of glycogen synthase kinase-3 alpha in ovarian carcinoma cells is associated with acquired paclitaxel resistance. PMID: 21436692
- Investigations with human tissues in this review strongly support the postulate that GSK3 has a pathological role in mood disorders and is likely a therapeutic target in mood disorder treatment. PMID: 20668436
- Data show that the effects of PI3K-Akt signalling on IL-10 responses were mediated at least in part by GSK3. PMID: 21255011
- in multiple myeloma cells GSK-3alpha and beta play distinct roles in cell survival and modulate the sensitivity to proteasome inhibitors PMID: 20920357
- Phosphorylation of proteins in the brain associated with Alzheimer's disease is altered in cortical tissue lacking transgenic glycogen synthase kinase-3alpha and -3ss. PMID: 20831597
- widely expressed throughout the hair follicles PMID: 19705135
- Glycogen synthase kinase (GSK3) plays a central role in promoting glucocorticoid-induced apoptosis. PMID: 20371704
- GSK-3 maintains the MLL leukemia stem cell transcriptional program by promoting the conditional association of CREB and its coactivators TORC and CBP with homedomain protein MEIS1, which in turn facilitates HOX-mediated transcription and transformation. PMID: 20541704
- study suggests that downstream signaling components of the PI3K/Akt pathway, GSK3 & cyclin D2 as well as the significant interaction between PTEN-PDK and between pAkt-pGSK3beta, are involved in the survival and proliferation of leiomyomas. PMID: 19464003
- the N termini of both GSK-3 isoforms were dispensable, whereas progressive C-terminal deletions resulted in protein misfolding exhibited by deficient activity, impaired ability to interact with Axin, and a loss of Tyr(279/216) phosphorylation PMID: 20080974
- Studies show that GSK-3 and Omi/HtrA2 synergistically cause annexin A2 cleavage and then cell cycle inhibition or apoptosis. PMID: 19656851
- immunoreactivity of IGF-I and GSK3a/b signaling pathways studied in ALS spinal cords and hippocampus with special reference to Kii and Guam ALS patients: in Japanese ALS patients, IGF-I expression was positively correlated with the clinical duration. PMID: 19323791
- improves insulin action and glucose metabolism in skeletal muscle PMID: 12086949
- GSK3alpha is a potential regulator of platelet function PMID: 14550568
- Data show that myotubes defective in glycogen synthase (GS) activity express insulin-responsive glycogen synthase kinase-3alpha, suggesting that failure of insulin to decrease GS phosphorylation involves abnormal activity of another kinase or phosphatase. PMID: 15194499
顯示更多
收起更多
-
蛋白家族:Protein kinase superfamily, CMGC Ser/Thr protein kinase family, GSK-3 subfamily
-
數據庫鏈接:
Most popular with customers
-
-
YWHAB Recombinant Monoclonal Antibody
Applications: ELISA, WB, IHC, IF, FC
Species Reactivity: Human, Mouse, Rat
-
Phospho-YAP1 (S127) Recombinant Monoclonal Antibody
Applications: ELISA, WB, IHC
Species Reactivity: Human
-
-
-
-
-















