GSDME Antibody
-
中文名稱:GSDME兔多克隆抗體
-
貨號:CSB-PA006766LA01HU
-
規格:¥440
-
圖片:
-
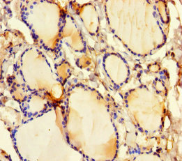
Immunohistochemistry of paraffin-embedded human thyroid tissue using CSB-PA006766LA01HU at dilution of 1:100
-
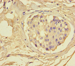
Immunohistochemistry of paraffin-embedded human breast cancer using CSB-PA006766LA01HU at dilution of 1:100
-
Immunofluorescent analysis of Hela cells using CSB-PA006766LA01HU at dilution of 1:100 and Alexa Fluor 488-congugated AffiniPure Goat Anti-Rabbit IgG(H+L)
-
-
其他:
產品詳情
-
產品名稱:Rabbit anti-Homo sapiens (Human) GSDME Polyclonal antibody
-
Uniprot No.:
-
基因名:
-
別名:2310037D07Rik antibody; 4932441K13Rik antibody; Deafness, autosomal dominant 5 antibody; Deafness, autosomal dominant 5 protein antibody; DFNA5 antibody; DFNA5 gene antibody; DFNA5_HUMAN antibody; Dfna5h antibody; EG14210 antibody; Fin15 antibody; ICERE 1 antibody; ICERE-1 antibody; Inversely correlated with estrogen receptor expression 1 antibody; Non-syndromic hearing impairment protein 5 antibody; Nonsyndromic hearing impairment protein antibody
-
宿主:Rabbit
-
反應種屬:Human
-
免疫原:Recombinant Human Gasdermin-E protein (1-496AA)
-
免疫原種屬:Homo sapiens (Human)
-
標記方式:Non-conjugated
本頁面中的產品,GSDME Antibody (CSB-PA006766LA01HU),的標記方式是Non-conjugated。對于GSDME Antibody,我們還提供其他標記。見下表:
-
克隆類型:Polyclonal
-
抗體亞型:IgG
-
純化方式:>95%, Protein G purified
-
濃度:It differs from different batches. Please contact us to confirm it.
-
保存緩沖液:Preservative: 0.03% Proclin 300
Constituents: 50% Glycerol, 0.01M PBS, PH 7.4 -
產品提供形式:Liquid
-
應用范圍:ELISA, IHC, IF
-
推薦稀釋比:
Application Recommended Dilution IHC 1:20-1:200 IF 1:50-1:200 -
Protocols:
-
儲存條件:Upon receipt, store at -20°C or -80°C. Avoid repeated freeze.
-
貨期:Basically, we can dispatch the products out in 1-3 working days after receiving your orders. Delivery time maybe differs from different purchasing way or location, please kindly consult your local distributors for specific delivery time.
-
用途:For Research Use Only. Not for use in diagnostic or therapeutic procedures.
相關產品
靶點詳情
-
功能:Precursor of a pore-forming protein that converts non-inflammatory apoptosis to pyroptosis. This form constitutes the precursor of the pore-forming protein: upon cleavage, the released N-terminal moiety (Gasdermin-E, N-terminal) binds to membranes and forms pores, triggering pyroptosis.; Pore-forming protein produced by cleavage by CASP3 or granzyme B (GZMB), which converts non-inflammatory apoptosis to pyroptosis or promotes granzyme-mediated pyroptosis, respectively. After cleavage, moves to the plasma membrane, homooligomerizes within the membrane and forms pores of 10-15 nanometers (nm) of inner diameter, triggering pyroptosis. Binds to inner leaflet lipids, bisphosphorylated phosphatidylinositols, such as phosphatidylinositol (4,5)-bisphosphate. Cleavage by CASP3 switches CASP3-mediated apoptosis induced by TNF or danger signals, such as chemotherapy drugs, to pyroptosis. Mediates secondary necrosis downstream of the mitochondrial apoptotic pathway and CASP3 activation as well as in response to viral agents. Exhibits bactericidal activity. Cleavage by GZMB promotes tumor suppressor activity by triggering robust anti-tumor immunity. Suppresses tumors by mediating granzyme-mediated pyroptosis in target cells of natural killer (NK) cells: cleavage by granzyme B (GZMB), delivered to target cells from NK-cells, triggers pyroptosis of tumor cells and tumor suppression. May play a role in the p53/TP53-regulated cellular response to DNA damage.
-
基因功能參考文獻:
- DFNA5 variant is associated with tobacco- and HPV-mediated oral oncogenesis. PMID: 30091681
- DFNA5 methylation shows strong potential as a biomarker for detection of breast cancer. Slightly increased methylation in histologically normal breast tissue surrounding the tumor suggests that it may be a good early detection marker. PMID: 28404884
- In conclusion, our findings firstly revealed that GSDME switches chemotherapy drug-induced caspase-3 dependent apoptosis into pyroptosis in gastric cancer cells. PMID: 29183726
- findings suggest that caspase-3 activation can trigger necrosis by cleaving GSDME and offer new insights into cancer chemotherapy PMID: 28459430
- Genetic variations in the EYA4, GRHL2 and DFNA5 genes and their interactions with occupational noise exposure may play an important role in the incidence of noise-induced hearing loss (NIHL). PMID: 26400775
- Study identified a novel DFNA5 mutation IVS8+1 delG in a Chinese family which led to skipping of exon 8. This is the sixth DFNA5 mutation relates to hearing loss and the second one in DFNA5 intron 8. PMID: 26365971
- We identified a novel c.991-2A>G mutation in DFNA5 which again may lead to exon 8 skipping at the mRNA level. PMID: 24933359
- DFNA5 deletion mutation is associated with autosomal dominant hereditary hearing loss in Japanese families. PMID: 24506266
- DFNA5 protein expression in hepatocellular carcinoma cells was significantly lower than that in normal cells. PMID: 24154762
- DFNA5 is composed of two domains, separated by a hinge region. The first region induces apoptosis when transfected in HEK293T cells, the second region masks and probably regulates this apoptosis inducing capability PMID: 21522185
- A mutation in DFNA5 leads to a type of hearing loss that closely resembles the frequently observed age-related hearing impairment. PMID: 21805831
- A founder effect was demonstrated for the mutation of the DFNA5 gene casusing hearing loss in East Asians. PMID: 19911014
- no significant linkage between age-related hearing impairment (ARHI) and microsatellite markers from the DFNA5 region; there exists no strong association between DFNA5 and ARHI PMID: 12461698
- Here, we report another mutation in DFNA5, a CTT deletion in the polypyrimidine tract of intron 7. PMID: 14559215
- A novel DFNA5 mutation was found in a Dutch family, of which 37 members were examined. PMID: 14676472
- These results suggest that DFNA5 plays a role in the p53-regulated cellular response to genotoxic stress probably by cooperating with p53. PMID: 16897187
- description of a DFNA5 mutation: the insertion of a cytosine at nucleotide position 640 (AF073308.1:_c.640insC, AAC69324.1:_p. Thr215HisfsX8) which does not lead to hearing impairment PMID: 17427029
- GCs induce dfna5 mRNA and its expression appears to be repressed in the basal state. Induction of dfna5 mRNA correlates with GC-dependent apoptosis of CEM cells, though dfna5 expression alone is not sufficient for apoptosis. PMID: 17616391
- DFNA5-associated hearing loss is caused by a very specific gain-of-function mutation. PMID: 17868390
- DFNA5 is a novel tumor suppressor gene in CRC and a valuable molecular marker for human cancer PMID: 18223688
- These data implicate DFNA5 promoter methylation as a novel molecular biomarker in human breast cancer. PMID: 18346456
顯示更多
收起更多
-
相關疾病:Deafness, autosomal dominant, 5 (DFNA5)
-
亞細胞定位:[Gasdermin-E, N-terminal]: Cell membrane; Multi-pass membrane protein.; [Gasdermin-E]: Cytoplasm, cytosol.
-
蛋白家族:Gasdermin family
-
組織特異性:Expressed in cochlea. Low level of expression in heart, brain, placenta, lung, liver, skeletal muscle, kidney and pancreas, with highest expression in placenta.
-
數據庫鏈接:
Most popular with customers
-
-
YWHAB Recombinant Monoclonal Antibody
Applications: ELISA, WB, IHC, IF, FC
Species Reactivity: Human, Mouse, Rat
-
Phospho-YAP1 (S127) Recombinant Monoclonal Antibody
Applications: ELISA, WB, IHC
Species Reactivity: Human
-
-
-
-
-















