GRK2 Antibody
-
中文名稱:GRK2兔多克隆抗體
-
貨號:CSB-PA00969A0Rb
-
規格:¥440
-
圖片:
-
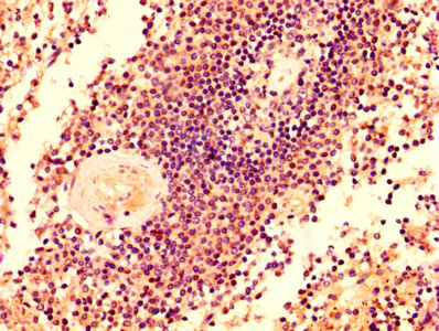
IHC image of CSB-PA00969A0Rb diluted at 1:500 and staining in paraffin-embedded human tonsil tissue performed on a Leica BondTM system. After dewaxing and hydration, antigen retrieval was mediated by high pressure in a citrate buffer (pH 6.0). Section was blocked with 10% normal goat serum 30min at RT. Then primary antibody (1% BSA) was incubated at 4°C overnight. The primary is detected by a biotinylated secondary antibody and visualized using an HRP conjugated SP system.
-
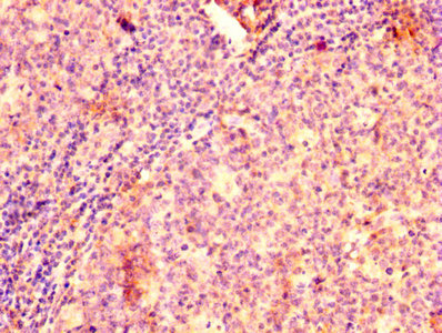
IHC image of CSB-PA00969A0Rb diluted at 1:500 and staining in paraffin-embedded human spleen tissue performed on a Leica BondTM system. After dewaxing and hydration, antigen retrieval was mediated by high pressure in a citrate buffer (pH 6.0). Section was blocked with 10% normal goat serum 30min at RT. Then primary antibody (1% BSA) was incubated at 4°C overnight. The primary is detected by a biotinylated secondary antibody and visualized using an HRP conjugated SP system.
-
-
其他:
產品詳情
-
產品名稱:Rabbit anti-Homo sapiens (Human) GRK2 Polyclonal antibody
-
Uniprot No.:
-
基因名:
-
別名:ADRBK1 antibody; Adrenergic beta receptor kinase 1 antibody; ARBK1_HUMAN antibody; BARK antibody; BARK1 antibody; Beta adrenergic receptor kinase 1 antibody; Beta ARK 1 antibody; Beta ARK1 antibody; Beta-adrenergic receptor kinase 1 antibody; Beta-ARK-1 antibody; FLJ16718 antibody; G protein coupled receptor kinase 2 antibody; G-protein coupled receptor kinase 2 antibody; GRK2 antibody
-
宿主:Rabbit
-
反應種屬:Human
-
免疫原:Recombinant Human Beta-adrenergic receptor kinase 1 protein (2-221AA)
-
免疫原種屬:Homo sapiens (Human)
-
標記方式:Non-conjugated
本頁面中的產品,GRK2 Antibody (CSB-PA00969A0Rb),的標記方式是Non-conjugated。對于GRK2 Antibody,我們還提供其他標記。見下表:
-
克隆類型:Polyclonal
-
抗體亞型:IgG
-
純化方式:>95%, Protein G purified
-
濃度:It differs from different batches. Please contact us to confirm it.
-
保存緩沖液:Preservative: 0.03% Proclin 300
Constituents: 50% Glycerol, 0.01M PBS, PH 7.4 -
產品提供形式:Liquid
-
應用范圍:ELISA, IHC
-
推薦稀釋比:
Application Recommended Dilution IHC 1:500-1:1000 -
Protocols:
-
儲存條件:Upon receipt, store at -20°C or -80°C. Avoid repeated freeze.
-
貨期:Basically, we can dispatch the products out in 1-3 working days after receiving your orders. Delivery time maybe differs from different purchasing way or location, please kindly consult your local distributors for specific delivery time.
-
用途:For Research Use Only. Not for use in diagnostic or therapeutic procedures.
相關產品
靶點詳情
-
功能:Specifically phosphorylates the agonist-occupied form of the beta-adrenergic and closely related receptors, probably inducing a desensitization of them. Key regulator of LPAR1 signaling. Competes with RALA for binding to LPAR1 thus affecting the signaling properties of the receptor. Desensitizes LPAR1 and LPAR2 in a phosphorylation-independent manner. Positively regulates ciliary smoothened (SMO)-dependent Hedgehog (Hh) signaling pathway by facilitating the trafficking of SMO into the cilium and the stimulation of SMO activity. Inhibits relaxation of airway smooth muscle in response to blue light.
-
基因功能參考文獻:
- M3R activation-induced GRK2 recruitment is Ggamma subtype dependent in which Gbetagamma dimers with low cell membrane-affinity Ggamma9 exhibited a two-fold higher GRK2-recruitment compared to high affinity Ggamma3 expressing cells. PMID: 29864421
- Chronic/pathologic GPCR signaling elicits the interaction of the G-protein Gbetagamma subunit with GPCR kinase 2 (GRK2), targeting the receptor for internalization, scaffolding to pathologic signals, and receptor degradation. Targeting this pathologic Gbetagamma-GRK2 interaction has been suggested as a possible strategy for the treatment of HF. PMID: 28130200
- A novel regulatory role of GRK2 was proposed for the ubiquitination of beta-arrestin in the context of the PKC-mediated heterologous regulation of GPCRs. PMID: 29054428
- eIF3d promotes gallbladder cancer (GBC) progression mainly via eIF3d-GRK2-AKT axis and it may be used as a prognostic factor. The therapeutic targeting of eIF3d-GRK2 axis may be a potential treatment approach for GBC. PMID: 28594409
- KHSV miR-K3 activates the GRK2/CXCR2/AKT axis inducing KSHV-induced angiogenesis and promoting KSHV latency. PMID: 27058419
- Compared to the original peptide, a modified peptide (Ac-EEMEFSEAEANMN-NH2) exhibited markedly higher affinity for GRK2, but very low affinity for GRK5, suggesting that it can be a sensitive and selective peptide for GRK2 PMID: 27714516
- Low grk2 expression is associated with lung metastasis in gastric cancer. PMID: 28843497
- Lowering the level of cellular FLNA caused an elevation in RalA activity and resulted in selective interference with the normal intracellular trafficking and signaling of D2R through GRK2. PMID: 27188791
- Results demonstrate that GPR3 signals at the plasma membrane and can be silenced by GRK2/beta-arrestin overexpression. These results also strongly implicate the serine and/or threonine residues in the third intracellular loop in the regulation of GPR3 activity. PMID: 23826079
- GRK2 is negatively related to IGF1R and IGF1R, but not GRK2, was associated with the tumour-node-metastasis stage and overall and disease-free survival in hepatocellular carcinoma. PMID: 28202495
- The tyrosine-phosphorylated GRK2 mediates this inhibition by acting on the second intracellular loop of D3R. PMID: 28579429
- GRK2 is overexpressed in pancreatic cancer, and might serve as a potential indicator of unfavorable prognosis. PMID: 27346572
- Data, including data from studies in heterozygous knockout mice, suggest that GRK2 is involved in TNFalpha-induced wound healing in epithelial cells of the colon; GRK2 appears to inhibit TNFalpha-induced apoptosis; GRK2 inhibits TNFalpha-induced ERK activation by inhibiting generation of reactive oxygen species. Homozygous knockout of GRK2 is embryonically lethal in mice. PMID: 28572156
- The dominant model (CC vs. CT+TT) of rs1894111 polymorphism in the ADRBK1 gene might be associated with low-renin hypertension in Han Chinese. PMID: 27555048
- Our data suggest that GRK2 acts as an important onco-modulator by strengthening the functionality of key players in breast tumorigenesis such as HDAC6 and Pin1. PMID: 27720394
- GRK2 may inhibit IGF1-induced human hepatocellular carcinoma cell growth and migration through downregulation of EGR1. PMID: 26936374
- It is a critical factor in diabetic endothelial dysfunction and plays a role in many physiological functions including regulation of G-protein-coupled receptors (GPCRs). (review) PMID: 26234354
- Suggest role for GRK2 in the regulating cardiac hypertrophy. PMID: 26224342
- the dual-specific GRK2 and ERK cascade inhibitor, RKIP (Raf kinase inhibitor protein), triggered dysfunctional cardiomyocyte energetics and the expression of heart failure-promoting Pparg-regulated genes. PMID: 26670611
- Acute mental stress significantly increased GRK2 density in in peripheral blood mononuclear cells of young adult males. PMID: 26706289
- It plays a role in progression of Vasculature which is affected by insulin resistance and type 2 diabetes expresses high levels of GRK2 PMID: 26447102
- Data suggest that, by targeting/repressing GRK2, microRNA-K3 of Kaposi sarcoma-associated herpesvirus (KSHV) facilitates migration and invasion of vascular endothelial cells via activation of CXCR2/AKT signaling. PMID: 26402907
- Acute aerobic exercise induces a greater GRK2 expression in women than men, while increased cardiorespiratory fitness is associated with exercise-induced GRK2 expression in PBMCs PMID: 26092485
- G protein beta subunits (Gb) bind to DDB1 and Gb2 targets GRK2 for ubiquitylation by the DDB1-CUL4A-ROC1 ubiquitin ligase. PMID: 25982117
- A thorough understanding of the functions of GRK2 in the heart is necessary in order to finalize it as a candidate for drug development. PMID: 24702056
- Knockdown of ADRBK1 gene has detrimental effects on breast cancer cell growth. PMID: 25279970
- Results uncovered that Gaq binding to GRK2 enhances the recruitment of GRK2 to M3-ACh receptors. PMID: 25316767
- These data demonstrate that GRK2 modulates FcinRI signaling in mast cells via at least two mechanisms.One involves GRK2-RH and modulates tyrosine phosphorylation of Syk, and the other is mediated via the phosphorylation of p38 and Akt. PMID: 24904059
- Data indicate that residues on the G-protein coupled receptor kinase 2 (GRK2) N terminus and kinase domain extension collaborate to create a G protein-coupled receptor (GPCR) docking site. PMID: 25049229
- Low levels of GRK2/GRK5 causes a slow and not complete desensitization/down-regulation of GPR17. PMID: 24613411
- GRK2 is localized to centrosomes and plays a central role in mitogen-promoted centrosome separation. PMID: 23904266
- The gene expression levels of TREM1 in PMNs isolated from patients with bacterial infections may be used as a surrogate biomarker for determining the severity. PMID: 24465168
- Changes in lymphocyte GRK2 after exercise training can strongly predict outcome in advanced heart failure. PMID: 23689525
- This review discusses recently discovered roles of GRK2 as a biomarker in cardiomyocyte metabolism and myocardial contraction. PMID: 24812353
- decreased endothelial Grk2 dosage accelerated tumor growth, along with reduced pericyte vessel coverage and enhanced macrophage infiltration, and this transformed environment promoted decreased GRK2 in breast cancer vessels PMID: 24135140
- This study showed that, among GRK2, beta-arrestin 1, and beta-arretin 2, beta-arrestin 1 and GRK2 seem to have a role in modulating GH secretion during somatostatin analog treatment. PMID: 24169548
- Desensitization and internalization of endothelin receptor A: impact of G protein-coupled receptor kinase 2 (GRK2)-mediated phosphorylation. PMID: 24064210
- Data indicate that CXCL12-induced phosphorylation at CXCR4 S346/347 was mediated by GRK2/3. PMID: 23734232
- GRK2 takes part in the regulation of the initial inflammatory response during mycobacterial infection. PMID: 23312955
- We further detected that reduced level of GRK2 induced a small cell cycle arrest at G2/M phase by enhancing the expression of cyclin A, B1, and E PMID: 23460259
- Data suggest that specific serine/threonine residues in DRD2 (dopamine receptor D2) are involved in regulation of DRD2 endocytosis by GRK2 and GASP1 (G protein-coupled receptor associated sorting protein 1). PMID: 23082996
- Gene transfer of human GRK2 inhibitory peptide preserved regional/global systolic function after acute MI without arresting progressive ventricular remodeling. PMID: 23208013
- This study identify that GRK2 as a potential molecular link between inflammation and mGluR-mediated sensitization. PMID: 23494575
- this study provides evidence that GRK2 mediates phosphorylation-independent mGluR5 desensitization via the interaction between the RGS domain and Galphaq in HEK 293 cells. PMID: 23705503
- Increased localization is seen in heart mitochondria from cardiac-specific GRK2 transgenic mice compared with normal littermate controls. PMID: 23467820
- GRK2 dynamically associates with and phosphorylates HDAC6 to stimulate its alpha-tubulin deacetylase activity at specific cellular localizations such as the leading edge of migrating cells, thus promoting local tubulin deacetylation and enhanced motility. PMID: 23076141
- Persistent hyperalgesia in GRK2-deficient mice is associated with an increase in spinal cord microglia/macrophages. PMID: 22731384
- Inhibition of G-protein-coupled receptor kinase 2 (GRK2) triggers the growth-promoting mitogen-activated protein kinase (MAPK) pathway PMID: 23362259
- a novel role for IL-8 in inhibiting betaAR agonist-stimulated alveolar epithelial fluid transport via GRK2/PI3K-dependent mechanisms. PMID: 23221335
- These data suggest cell type- and subcellular compartment-dependent differences in GRK/arrestin-mediated desensitization and signaling. PMID: 23139825
顯示更多
收起更多
-
亞細胞定位:Cytoplasm. Cell membrane.
-
蛋白家族:Protein kinase superfamily, AGC Ser/Thr protein kinase family, GPRK subfamily
-
組織特異性:Expressed in peripheral blood leukocytes.
-
數據庫鏈接:
Most popular with customers
-
-
YWHAB Recombinant Monoclonal Antibody
Applications: ELISA, WB, IHC, IF, FC
Species Reactivity: Human, Mouse, Rat
-
Phospho-YAP1 (S127) Recombinant Monoclonal Antibody
Applications: ELISA, WB, IHC
Species Reactivity: Human
-
-
-
-
-
VCP Recombinant Monoclonal Antibody
Applications: ELISA, WB, IHC, IF, IP
Species Reactivity: Human, Rat















