GRIN1 Antibody
-
中文名稱:GRIN1兔多克隆抗體
-
貨號:CSB-PA283513
-
規格:¥1100
-
圖片:
-
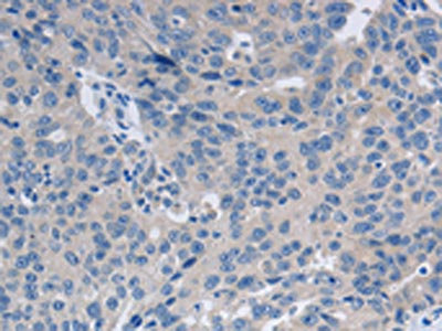
The image on the left is immunohistochemistry of paraffin-embedded Human liver cancer tissue using CSB-PA283513(GRIN1 Antibody) at dilution 1/50, on the right is treated with synthetic peptide. (Original magnification: ×200)
-
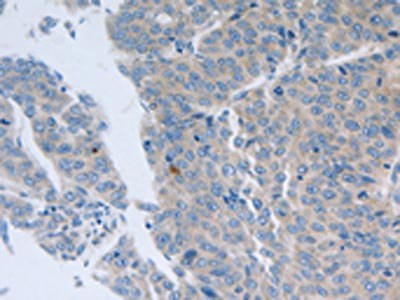
The image on the left is immunohistochemistry of paraffin-embedded Human ovarian cancer tissue using CSB-PA283513(GRIN1 Antibody) at dilution 1/50, on the right is treated with synthetic peptide. (Original magnification: ×200)
-
-
其他:
產品詳情
-
Uniprot No.:
-
基因名:
-
別名:GluN1 antibody; Glutamate [NMDA] receptor subunit zeta-1 antibody; Glutamate receptor ionotropic N methyl D aspartate 1 antibody; Glutamate receptor ionotropic, N-methyl-D aspartate, subunit 1 antibody; glutamate receptor ionotropic, NMDA 1 antibody; Grin1 antibody; MRD8 antibody; N methyl D aspartate receptor antibody; N methyl D aspartate receptor channel subunit zeta 1 antibody; N methyl D aspartate receptor subunit NR1 antibody; N-methyl-D-aspartate receptor subunit NR1 antibody; NMD-R1 antibody; NMDA 1 antibody; NMDA R1 antibody; NMDA receptor 1 antibody; NMDA1 antibody; NMDAR antibody; NMDZ1_HUMAN antibody; NR1 antibody
-
宿主:Rabbit
-
反應種屬:Human,Mouse,Rat
-
免疫原:Synthetic peptide of Human GRIN1
-
免疫原種屬:Homo sapiens (Human)
-
標記方式:Non-conjugated
-
抗體亞型:IgG
-
純化方式:Antigen affinity purification
-
濃度:It differs from different batches. Please contact us to confirm it.
-
保存緩沖液:-20°C, pH7.4 PBS, 0.05% NaN3, 40% Glycerol
-
產品提供形式:Liquid
-
應用范圍:ELISA,IHC
-
推薦稀釋比:
Application Recommended Dilution ELISA 1:2000-1:5000 IHC 1:25-1:100 -
Protocols:
-
儲存條件:Upon receipt, store at -20°C or -80°C. Avoid repeated freeze.
-
貨期:Basically, we can dispatch the products out in 1-3 working days after receiving your orders. Delivery time maybe differs from different purchasing way or location, please kindly consult your local distributors for specific delivery time.
-
用途:For Research Use Only. Not for use in diagnostic or therapeutic procedures.
相關產品
靶點詳情
-
功能:Component of NMDA receptor complexes that function as heterotetrameric, ligand-gated ion channels with high calcium permeability and voltage-dependent sensitivity to magnesium. Channel activation requires binding of the neurotransmitter glutamate to the epsilon subunit, glycine binding to the zeta subunit, plus membrane depolarization to eliminate channel inhibition by Mg(2+). Sensitivity to glutamate and channel kinetics depend on the subunit composition.
-
基因功能參考文獻:
- Glycans potentiate the effect of GluN1 and GluN2B receptors. PMID: 28378791
- In this study, we report a success of the WES approach to the identification of a genetic cause of a challenging case, undiagnosed on clinical grounds. We identified the causative missense mutation (p.Met727Val) in exon 16 of the GRIN1 gene. As the p.Met727Val mutation shown by WES is in the same GluN1 domain, we infer that the pathogenic variant impact on NMDAR is likely similar to that induced by p.Glu662Lys mutation. PMID: 29194067
- one base difference in the GRIN1M promoter sequence (G --> C) results in the inability of the sequence to form a parallel G-quadruplex. PMID: 28702665
- Data suggest GRINL1A (GCOM1)-NMDA receptor-internexin-alpha (INA) interaction pathway may be relevant to neuroprotection. PMID: 29339073
- These results indicate these individuals may have suffered neurodevelopmental deficits as a result of the decreased presence of GluN1-G620R/GluN2B complexes on the neuronal surface during embryonic brain development and reduced current responses of GluN1-G620R-containing NMDARs after birth. PMID: 28228639
- Mice with GRIN1 disrupted in the intralaminar thalamic nuclei exhibited various schizophrenia-like phenotypes, including deficits in working memory, long-term spatial memory, and attention, as well as impulsivity, impaired prepulse inhibition, hyperlocomotion and hyperarousal. PMID: 28244984
- 2-methoxyestradiol impacts on glycine/serine-mediated metabolic reprogramming in osteosarcoma cells by its interaction with GRIN1/GluN2A receptors. PMID: 28262924
- tPA is a ligand of the N-terminal domain of the obligatory GluN1 subunit of NMDAR acting as a modulator of their dynamic distribution at the neuronal surface and subsequent signaling. PMID: 27831563
- Two novel Grin1 mutations were identified in 2 cases of severe early infantile encephalopathy. Se688Tyr mutation results in disruption of NMDA ligand binding and the p.Gly827Arg mutation results in disrupted gating of the ion channel. PMID: 28389307
- A homozygous missense variant of GRIN1 was identified in two consanguineous sibs affected with severe intellectual disability and autistic features. PMID: 28051072
- NMDA receptor-dependent signaling is involved in melanosome transfer, which is associated with calcium influx, cytoskeleton protein redistribution, dendrites and filopodia formation PMID: 27596138
- Findings show that N-methyl-d-aspartic acid receptor subunit GluN1 is expressed on oligodendrocytes and myelin in humans. PMID: 27443784
- De novo GRIN1 mutations are associated with severe intellectual disability with cortical visual impairment as well as oculomotor and movement disorders being discriminating phenotypic features. Loss of NMDA receptor function appears to be the underlying disease mechanism. The identification of both heterozygous and homozygous mutations blurs the borders of dominant and recessive inheritance of GRIN1-associated disorders. PMID: 27164704
- The differences in cortical NMDAR expression and post-synaptic density protein 95 are present in psychiatric disorders and suicide completion and may contribute to different responses to ketamine. PMID: 26013316
- GRIN1 (rs4880213) was significantly associated with depression and disruptive behavior in adolescents. PMID: 26819771
- Knockdown of PKD1 did not affect NMDAR internalization but prevented the phosphorylation and inhibition of remaining surface NMDARs and NMDAR-mediated synaptic functions. PMID: 26584860
- Study found GluN receptor subunit-specific changes in mixed subcortical ischemic vascular dementia(SIVD)/Alzheimer's disease(AD) (decreased GluN1) and SIVD (increased GluN2A and 2B), likely reflecting interaction of ischemic neurovascular and AD processes PMID: 25261450
- results suggest that NMDA-R autoantibodies are unlikely to account for a large proportion of treatment-refractory psychosis. PMID: 25431428
- The results of this study suggested that GRIN1 mutations cause encephalopathy resulting in seizures and movement disorders. PMID: 25864721
- Genome-wide significant marker, SNP rs524991, and an association of seropositivity with influenza autoantibodies status, we provide genetic and environmental risk factors of NMDAR-autoantibodies formation PMID: 23999527
- Epigenetic changes in GRIN1, in combination with experiences of maltreatment, may confer risk for depression in children. PMID: 24655651
- Reduction in NR1 and NR2C in the DLPFC of people with schizophrenia may lead to altered NMDAR stoichiometry and provides compelling evidence for an endogenous NMDAR deficit in schizophrenia. PMID: 23070074
- Isolated GluN1/GluN3A receptors integrated into lipid bilayers responded to addition of either glycine or d-serine, but not glutamate, with a approximately 1 nm reduction in height of the extracellular domain PMID: 25017909
- Results show that the expression and distribution of NMDA receptors subunits GluN1, GluN2A and GluN2B - together with that of postsynaptic protein PSD-95 - are modified in Alzheimer's disease compared to normal aging PMID: 24156266
- B7T inhibition of NMDA current mediated by NR1/NR2B receptor. PMID: 23271275
- The rs1126442, GRIN1 polymorphism contributes to the genetic vulnerability to psychosis in METH-dependent subjects in the Thai population. PMID: 23880023
- Association of multiple sclerosis disease severity and allelic variants of the NR1 and NR2B glutamate receptor genes. PMID: 23840674
- GluN1 binds specifically to the sigma-1 receptor within intact cells. PMID: 24227730
- Antibodies that bind recombinant GluN1-S2 peptides (but not the intact GluN1 protein) develop transiently in patients after stroke in proportion to infarct size, suggesting that these antibodies are raised secondarily to neuronal damage. PMID: 23723305
- Transgenic NR1 receptors on neuradrenergic neurons regulate development of opiate dependence and psychomotor sensitization. PMID: 22040728
- After 7 days of chronic alcohol exposure, there are significant increases in mRNA expression of GRIN1 in cultured neurons derived from alcoholic subjects, but not in cultures from nonalcoholics. PMID: 22486492
- Adult NR1-deficient transgenic mice show multiple abnormal behaviors including reduced social interactions, locomotor hyperactivity, self-injury, deficits in prepulse inhibition and sensory hypersensitivity, among others. PMID: 22726567
- GRIN1 and GRIN2D appear instrumental to normal brain development and function in this study of rare and/or de novo mutation in neurodevelopmental disorders. PMID: 22833210
- The multifunctional cytokine-like molecule HMGB1 released by activated, stressed, and damaged or necrotic cells can facilitate NMDAR-mediated cell responses. PMID: 22952988
- A critical role of the single glutamine residue within the GluN1 M4 domain regulates surface delivery of functional NMDA receptors. PMID: 22937865
- key amino acid residues within both NR1 and NR2B M3 domains contribute to the regulation of the surface expression of unassembled NR1 and NR2 subunits PMID: 22711533
- The unique co-existence of SP and phospho-NMDAR1 in tendinopathy presumably reflects a tissue proliferative and nociceptive role. PMID: 22354721
- GluN1(hypo) transgenic mice exhibit impairments on all tests of cognition that are employed, as well as reduced engagement in naturalistic behaviors, including nesting and burrowing. PMID: 22300668
- The NR1 subunit of NMDA receptors is involved in amygdala hyperexcitability in some patients who have temporal lobe epilepsy. PMID: 20848605
- G Protein-regulated inducer of neurite outgrowth (GRIN) modulates Sprouty protein repression of mitogen-activated protein kinase (MAPK) activation by growth factor stimulation PMID: 22383529
- Transgenic mice with dopaminergic neuron-specific NMDAR1 deletion are impaired in a variety of habit-learning tasks, while normal in some other dopamine-modulated functions such as locomotor activities. PMID: 22196339
- Homozygotes for the T allele in the rs4880213 GRIN1 SNP had reduced intracortical inhibition, as expected for enhanced glutamatergic excitation in these subjects. PMID: 21753020
- NMDAR1 subunit expressed by primary afferent nerves of floxed mice plays an important role in the development of sensitized pain states. PMID: 20974228
- Expression of NMDA receptors in lymphocytes is regulated by central nervous system, which controls the inflammation process. PMID: 20414717
- The results of this study suggested that haplotypes of GRIN1 may influence responsiveness to ACTH. PMID: 20722663
- Sp4 hypomorphic mice could therefore serve as a genetic model to investigate impaired NMDA functions resulting from loss-of-function mutations of human SP4 gene in schizophrenia and/or other psychiatric disorders. PMID: 20634195
- Both tissue-type PA (tPA) and urokinase-type PA (uPA) bind to NMDA-R1 and reverse this effect, thereby enhancing acetylcholine-induced tracheal contractility. PMID: 20097831
- Functional NMDA receptors are expressed by breast cancer and are important agents for maintaining cell growth and viability. PMID: 19784770
- Polymorphisms in the GRIN1 and GRIN2B genes may serve as potential biomarkers for a reduced risk of PD among the Chinese population in Taiwan. PMID: 20438806
- The neuronal coexistence of glutamate and NMDAR1, observed in painful tendinosis but not in controls, suggests a regulatory role in intensified pain signalling. PMID: 19422642
顯示更多
收起更多
-
相關疾病:Neurodevelopmental disorder with or without hyperkinetic movements and seizures, autosomal dominant (NDHMSD)
-
亞細胞定位:Cell membrane; Multi-pass membrane protein. Cell junction, synapse, postsynaptic cell membrane. Cell junction, synapse, postsynaptic density.
-
蛋白家族:Glutamate-gated ion channel (TC 1.A.10.1) family, NR1/GRIN1 subfamily
-
數據庫鏈接:
Most popular with customers
-
-
YWHAB Recombinant Monoclonal Antibody
Applications: ELISA, WB, IHC, IF, FC
Species Reactivity: Human, Mouse, Rat
-
Phospho-YAP1 (S127) Recombinant Monoclonal Antibody
Applications: ELISA, WB, IHC
Species Reactivity: Human
-
-
-
-
-















