GRHL2 Antibody
-
中文名稱:GRHL2兔多克隆抗體
-
貨號:CSB-PA750350LA01HU
-
規格:¥440
-
圖片:
-
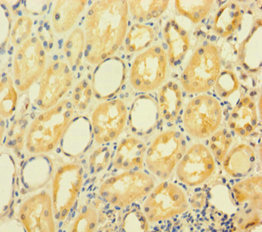
Immunohistochemistry of paraffin-embedded human kidney tissue using CSB-PA750350LA01HU at dilution of 1:100
-
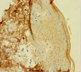
Immunohistochemistry of paraffin-embedded human skin tissue using CSB-PA750350LA01HU at dilution of 1:100
-
Immunofluorescent analysis of Hela cells using CSB-PA750350LA01HU at dilution of 1:100 and Alexa Fluor 488-congugated AffiniPure Goat Anti-Rabbit IgG(H+L)
-
-
其他:
產品詳情
-
產品名稱:Rabbit anti-Homo sapiens (Human) GRHL2 Polyclonal antibody
-
Uniprot No.:
-
基因名:GRHL2
-
別名:BOM antibody; Brother of mammalian grainyhead antibody; Deafness autosomal dominant 28 antibody; DFNA28 antibody; ECTDS antibody; FLJ11172 antibody; FLJ13782 antibody; Grainyhead like 2 (Drosophila) antibody; Grainyhead like 2 antibody; Grainyhead like protein 2 homolog antibody; Grainyhead like transcription factor 2 antibody; Grainyhead-like protein 2 homolog antibody; GRHL 2 antibody; GRHL2 antibody; GRHL2_HUMAN antibody; MGC149294 antibody; MGC149295 antibody; RGD1561191 antibody; TFCP2L3 antibody; Transcription factor CP2 like 3 antibody; Transcription factor CP2-like 3 antibody
-
宿主:Rabbit
-
反應種屬:Human
-
免疫原:Recombinant Human Grainyhead-like protein 2 homolog protein (1-265AA)
-
免疫原種屬:Homo sapiens (Human)
-
標記方式:Non-conjugated
本頁面中的產品,GRHL2 Antibody (CSB-PA750350LA01HU),的標記方式是Non-conjugated。對于GRHL2 Antibody,我們還提供其他標記。見下表:
-
克隆類型:Polyclonal
-
抗體亞型:IgG
-
純化方式:Antigen Affinity Purified
-
濃度:It differs from different batches. Please contact us to confirm it.
-
保存緩沖液:Preservative: 0.03% Proclin 300
Constituents: 50% Glycerol, 0.01M PBS, PH 7.4 -
產品提供形式:Liquid
-
應用范圍:ELISA, IHC, IF
-
推薦稀釋比:
Application Recommended Dilution IHC 1:20-1:200 IF 1:50-1:200 -
Protocols:
-
儲存條件:Upon receipt, store at -20°C or -80°C. Avoid repeated freeze.
-
貨期:Basically, we can dispatch the products out in 1-3 working days after receiving your orders. Delivery time maybe differs from different purchasing way or location, please kindly consult your local distributors for specific delivery time.
-
用途:For Research Use Only. Not for use in diagnostic or therapeutic procedures.
相關產品
靶點詳情
-
功能:Transcription factor playing an important role in primary neurulation and in epithelial development. Binds directly to the consensus DNA sequence 5'-AACCGGTT-3' acting as an activator and repressor on distinct target genes. During embryogenesis, plays unique and cooperative roles with GRHL3 in establishing distinct zones of primary neurulation. Essential for closure 3 (rostral end of the forebrain), functions cooperatively with GRHL3 in closure 2 (forebrain/midbrain boundary) and posterior neuropore closure. Regulates epithelial morphogenesis acting as a target gene-associated transcriptional activator of apical junctional complex components. Up-regulates of CLDN3 and CLDN4, as well as of RAB25, which increases the CLDN4 protein and its localization at tight junctions. Comprises an essential component of the transcriptional machinery that establishes appropriate expression levels of CLDN4 and CDH1 in different types of epithelia. Exhibits functional redundancy with GRHL3 in epidermal morphogenetic events and epidermal wound repair. In lung, forms a regulatory loop with NKX2-1 that coordinates lung epithelial cell morphogenesis and differentiation. In keratinocytes, plays a role in telomerase activation during cellular proliferation, regulates TERT expression by binding to TERT promoter region and inhibiting DNA methylation at the 5'-CpG island, possibly by interfering with DNMT1 enzyme activity. In addition, impairs keratinocyte differentiation and epidermal function by inhibiting the expression of genes clustered at the epidermal differentiation complex (EDC) as well as GRHL1 and GRHL3 through epigenetic mechanisms.
-
基因功能參考文獻:
- Whole-genome sequencing identified a unique variant (c.20+544G>T) within an intronic regulatory region of GRHL2. PMID: 29499165
- GRHL2 gene may have a role in orbital innervations and the defect in this gene (deletion) may be related to the Congenital fibrosis of the extraocular muscles type 1 phenotype. PMID: 29110737
- In this study, we demonstrated for the first time that GRHL2 has a functional role in the regulation of epithelial plasticity of PDAC cells. PMID: 28960866
- data analysis and modeling results highlight the relationships among multiple crucial Epithelial-to-Mesenchymal Transition /Mesenchymal-to-Epithelial Transition drivers including ZEB1, GRHL2, CD24, and ESRP1, particularly in basal-like breast cancers, which are most similar to triple-negative breast cancer (TNBC) and are considered the most dangerous subtype PMID: 28266048
- Data indicate a 'phenotypic stability factors' (PSFs) such as GRHL2 that couple to the core epithelial-to-mesenchymal transition (EMT) decision-making circuit (miR-200/ZEB) and stabilize hybrid epithelial/mesenchymal (hybrid E/M) E/M phenotype. PMID: 27008704
- Silencing of GRHL2 expression in non-tumorigenic kidney cell line results in increased cell proliferation, increased resistance to apoptosis, as well as changes in the levels of selected proteins involved in the pathogenesis of clear cell renal cell carcinoma (ccRCC). These changes support the potential role for GRHL2 as a suppressor of ccRCC. PMID: 28543713
- Results demonstrate a mechanistic role for GRHL2 in promoting anoikis through metabolic alterations. PMID: 27084311
- GRHL2 maintained AR expression in multiple prostate cancer model systems, was required for cell proliferation, enhanced AR's transcriptional activity, and colocated with AR at specific sites on chromatin to regulate genes relevant to disease progression. PMID: 28473532
- Studies indicate that Grainyhead-like transcription factor 2 (GRHL2) controls the expression of E-cadherin (CDH1) required for adherens junctions and possibly regulates the expression of claudin-4 (CLDN4) in tight junctions. PMID: 28636799
- results indicated GRHL2 might be a noise-induced hearing loss (NIHL) susceptibility gene, but the effect of POU4F3 on NIHL could only be detected when taking noise exposure into account and their effects were enhanced by higher levels of noise exposure PMID: 27271650
- These data are indicative for a strong oncogenic potential of the GRHL2 gene in epithelial ovarian cancer cells displaying either epithelial (A2780s) or mesenchymal (SKOV3) phenotypes. PMID: 28278050
- In this review, we summarized recent progress on grainyhead-like 2 in development and cancer in order to get an insight into the regulation network of grainyhead-like 2 and understand the roles of grainyhead-like 2 in various cancers. PMID: 28459369
- A loss or strong reduction in GRHL2 expression appears to be a characteristic of cervical cancer, suggesting that GRHL2 down-regulation is a necessary step during cervical carcinogenesis. PMID: 25550776
- In skin from psoriasis patients, the effect of miR-194 on cell proliferation and differentiation was significantly reversed by overexpression of GRHL2. Moreover, the expression of miR-194 and GRHL2 was inversely correlated in psoriasis lesional skin. Taken together, our results suggest that miR-194 inhibits the proliferation and promotes the differentiation of keratinocytes through targeting GRHL2. PMID: 28040329
- A novel connection between GRHL2 and miR-200 in oral cancer.Grainyhead-like 2 regulates epithelial plasticity and stemness in oral cancer cells. PMID: 26933170
- GRHL2 genetic polymorphisms, rs611419 and rs10955255, have a protective role against sudden sensorineural hearing loss (SSHL) and reduce the risk of SSHL. However, rs6989650 is not associated with SSHL. PMID: 26847018
- This study showed that Mendelian sensorineural hearing loss exhibits vestibular dysfunction, including DFNA9, DFNA11, DFNA15 and DFNA28. PMID: 27083884
- study demonstrates that loss of GRHL2 increases the levels of histone mark H3K27me3 on promoters and GRHL2-binding sites at miR-200b/a and E-cadherin genes. These findings support GRHL2 as a pivotal gatekeeper of EMT in EOC via miR-200-ZEB1. PMID: 26887977
- Taken together, our results demonstrate a role for miR-217 in the regulation of keratinocyte differentiation, partially through the regulation of GRHL2. PMID: 26826389
- Genetic variations in the EYA4, GRHL2 and DFNA5 genes and their interactions with occupational noise exposure may play an important role in the incidence of noise-induced hearing loss (NIHL). PMID: 26400775
- The p63 gene is regulated by GRHL2 through reciprocal feedback and determines the epithelial phenotype in human keratinocytes. PMID: 26085095
- A Grhl2-dependent gene network controls trophoblast branching morphogenesis. PMID: 25758223
- has identified ZEB1 as a target of GRHL2 and suggested a reciprocal GRHL2-ZEB1 repressive relationship, providing a novel mechanism through which proliferation may be modulated in colorectal cancer cells. PMID: 24756066
- Mutations in GRHL2 result in an autosomal-recessive ectodermal Dysplasia syndrome. PMID: 25152456
- Over-expression of Grhl2 decreased c-Myc and Bcl-2 protein expression level. PMID: 24068586
- These findings indicate that GRHL2 may be a noise-induced hearing loss susceptibility gene and that polymorphisms of GRLH2 may contribute to the etiology of noise-induced hearing loss. PMID: 24131873
- expression of GRHL2 is directly suppressed by the ZEB1, which in turn is a direct target for repression by GRHL2, suggesting that the EMT transcription factors GRHL2 and ZEB1 form a double negative regulatory feedback loop PMID: 23814079
- Frameshift mutation in GRHL2 is associated with autosomal-dominant deafness. PMID: 23813623
- GRHL2 plays a key role in regulating many physiological functions of human airway epithelium, including those involving cell morphogenesis, adhesion, and motility. PMID: 23690579
- Grhl2 plays an essential role in the determination of epithelial phenotype of breast cancers, EMT and tumor progression PMID: 23284647
- GRHL2 impairs keratinocyte differentiation through transcriptional inhibition of the genes clustered at the epidermal differentiation complex. PMID: 23254293
- Findings define a major role for GRHL2 in the suppression of oncogenic EMT in breast cancer cells. PMID: 22379025
- GRHL2 suppresses death-receptor expression. PMID: 21949371
- No positive association was found between GRHL2 polymorphisms and age-related hearing impairment in Han Chinese individuals. PMID: 21557239
- GRHL2 regulates the hTERT expression through an epigenetic mechanism and controls the cellular life span. PMID: 20938050
- Grhl2 expression in human tissue samples, including adult kidney, embryonic kidney, renal cell carcinomas and Wilms tumors was highly correlated with E-cadherin expression PMID: 20978075
- Fine mapping demonstrated that the majority of the associated SNPs reside in intron 1 of GRHL2 gene; the causative variant may change the expression levels of a GRHL2 isoform. PMID: 17921507
- a gain of GRHL2 in 8q22.3 was associated with early recurrence of hepatocellular carcinoma, controlling for clinical parameters PMID: 18752864
- Regulation of the hTERT promoter activity by MSH2, the hnRNPs K and D, and GRHL2 in human oral squamous cell carcinoma cells. PMID: 19015635
顯示更多
收起更多
-
相關疾病:Deafness, autosomal dominant, 28 (DFNA28); Ectodermal dysplasia/short stature syndrome (ECTDS)
-
亞細胞定位:Nucleus. Membrane.
-
蛋白家族:Grh/CP2 family, Grainyhead subfamily
-
組織特異性:Expressed in keratinocytes (at protein level). Highly expressed in placenta, prostate, brain and kidney. Lower-level expression in a variety of epithelial tissues such as thymus, lung, salivary gland, mammary gland and digestive tract. Expressed in the co
-
數據庫鏈接:
Most popular with customers
-
-
YWHAB Recombinant Monoclonal Antibody
Applications: ELISA, WB, IHC, IF, FC
Species Reactivity: Human, Mouse, Rat
-
Phospho-YAP1 (S127) Recombinant Monoclonal Antibody
Applications: ELISA, WB, IHC
Species Reactivity: Human
-
-
-
-
-















