GREB1 Antibody
-
中文名稱:GREB1兔多克隆抗體
-
貨號:CSB-PA233008
-
規格:¥1100
-
圖片:
-
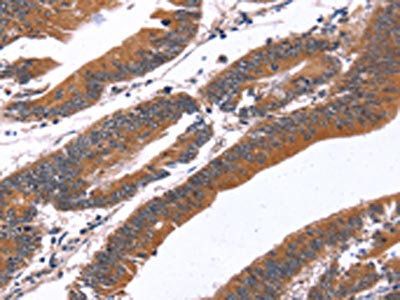
The image on the left is immunohistochemistry of paraffin-embedded Human colon cancer tissue using CSB-PA233008(GREB1 Antibody) at dilution 1/40, on the right is treated with synthetic peptide. (Original magnification: ×200)
-
The image on the left is immunohistochemistry of paraffin-embedded Human thyroid cancer tissue using CSB-PA233008(GREB1 Antibody) at dilution 1/40, on the right is treated with synthetic peptide. (Original magnification: ×200)
-
-
其他:
產品詳情
-
Uniprot No.:
-
基因名:GREB1
-
別名:5730583K22Rik antibody; 9130004E13 antibody; AF180470 antibody; AU023194 antibody; Gene regulated by estrogen in breast cancer protein antibody; Gene regulated in breast cancer 1 protein antibody; GREB 1 antibody; Greb1 antibody; GREB1_HUMAN antibody; KIAA0575 antibody; mKIAA0575 antibody; OTTHUMP00000180581 antibody; Protein GREB1 antibody
-
宿主:Rabbit
-
反應種屬:Human,Mouse
-
免疫原:Synthetic peptide of Human GREB1
-
免疫原種屬:Homo sapiens (Human)
-
標記方式:Non-conjugated
-
抗體亞型:IgG
-
純化方式:Antigen affinity purification
-
濃度:It differs from different batches. Please contact us to confirm it.
-
保存緩沖液:-20°C, pH7.4 PBS, 0.05% NaN3, 40% Glycerol
-
產品提供形式:Liquid
-
應用范圍:ELISA,IHC
-
推薦稀釋比:
Application Recommended Dilution ELISA 1:2000-1:5000 IHC 1:50-1:200 -
Protocols:
-
儲存條件:Upon receipt, store at -20°C or -80°C. Avoid repeated freeze.
-
貨期:Basically, we can dispatch the products out in 1-3 working days after receiving your orders. Delivery time maybe differs from different purchasing way or location, please kindly consult your local distributors for specific delivery time.
-
用途:For Research Use Only. Not for use in diagnostic or therapeutic procedures.
相關產品
靶點詳情
-
功能:May play a role in estrogen-stimulated cell proliferation. Acts as a regulator of hormone-dependent cancer growth in breast and prostate cancers.
-
基因功能參考文獻:
- GREB1 is a novel progesterone-responsive gene required for endometrial stromal decidualization. PMID: 28911214
- The aim of this study was to determine if genetic variation within GREB1 was associated with BMD variation. PMID: 28293781
- Whole exome sequence analysis of two families with renal agenesis identified a single candidate gene, GREB1L. Data implicates GREB1L as a coactivator for RARs. PMID: 28739660
- Which were rescued by wild-type human GREB1L mRNA. PMID: 29100090
- A significant association between GREB1L variants and BKA. PMID: 29100091
- the GREB1 region on chromosome 2p25.1 and the GREB1 gene may play a role in endometriosis risk PMID: 25788566
- GREB1 is a critical mediator of both the estrogen-stimulated proliferation of breast cancer cells and the androgen-stimulated proliferation of prostate cancer cells PMID: 24998469
- The expression of Greb1 was up-regulated in mouse tumors treated with E2 and was overexpressed in human ovarian cancers relative to human ovarian surface epithelium, suggesting a role for GREB1 in human ovarian tumor progression. PMID: 24469735
- RAD54B and GREB1 gene polymorphisms may not be associated with PCOS in the Han Chinese population. PMID: 23876972
- GREB1 is one of the central estrogen-specific ER cofactors, where it functions to mediate interactions between the ER and additional proteins. PMID: 23403292
- GREB1 alpha mRNA/protein expression levels were increased in ectopic tissue in peritoneal endometriosis. PMID: 22884659
- in ER-positive breast cancer cells, LRH-1 promotes cell proliferation by enhancing ERalpha mediated transcription of target genes such as GREB-1 PMID: 22359603
- Tissue expression of GREB1 is associated with organ-confined prostate cancer and may constitute a gene associated with a favorable prognosis. PMID: 19945309
- Longer survival was associated with hypomethylation at specific CpG sites (e.g. GREB1, TGIF and TOB1) and hypermethylation in other genes (e.g. TMCO5, PTPRN and GUCY2C). PMID: 21577013
- Characterize a monoclonal antibody that recognizes GREB1 protein in breast cancer cells. PMID: 19842031
- GREB1 is critically involved in the estrogen induced growth of breast cancer cells. PMID: 15986123
- GREB1 is expressed in proliferating prostatic tissue and prostate cancer, is regulated by androgens, and suppression of GREB1 blocks androgen-induced growth suggesting GREB1 may be critically involved in prostate cancer proliferation. PMID: 16496412
- Data show that the induction of the gene regulated in breast cancer 1 (GREB1) is mediated by binding of estrogen receptor alpha to three consensus estrogen response elements spread over approximately 20 kb of upstream flanking sequences. PMID: 17463000
- estrogen-stimulated GREB1 transcription may involve coordinated ER binding to all three distal consensus ERE motifs PMID: 17666587
- GREB1 is expressed in human skin, and is dose-dependently induced by topical 17-beta-estradiol treatment PMID: 18794456
- Estrogen receptors are recruited at several proximal and distal estrogen response elements upstream of the GREB1 transcription unit. PMID: 15001666
顯示更多
收起更多
-
亞細胞定位:Membrane; Single-pass membrane protein.
-
蛋白家族:GREB1 family
-
組織特異性:Expressed in proliferating prostatic tissue and prostate cancer.
-
數據庫鏈接:
Most popular with customers
-
YWHAB Recombinant Monoclonal Antibody
Applications: ELISA, WB, IHC, IF, FC
Species Reactivity: Human, Mouse, Rat
-
Phospho-YAP1 (S127) Recombinant Monoclonal Antibody
Applications: ELISA, WB, IHC
Species Reactivity: Human
-
-
-
-
-
-















