GPR68 Antibody
-
中文名稱:GPR68兔多克隆抗體
-
貨號:CSB-PA623012ESR1HU
-
規格:¥440
-
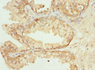
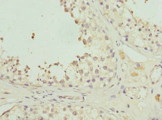
圖片:
-
其他:
產品詳情
-
產品名稱:Rabbit anti-Homo sapiens (Human) GPR68 Polyclonal antibody
-
Uniprot No.:
-
基因名:
-
別名:GPR68; OGR1; Ovarian cancer G-protein coupled receptor 1; OGR-1; G-protein coupled receptor 68; GPR12A; Sphingosylphosphorylcholine receptor
-
宿主:Rabbit
-
反應種屬:Human
-
免疫原:Recombinant Human Ovarian cancer G-protein coupled receptor 1 protein (276-365AA)
-
免疫原種屬:Homo sapiens (Human)
-
標記方式:Non-conjugated
-
克隆類型:Polyclonal
-
抗體亞型:IgG
-
純化方式:Antigen Affinity Purified
-
濃度:It differs from different batches. Please contact us to confirm it.
-
保存緩沖液:PBS with 0.02% sodium azide, 50% glycerol, pH7.3.
-
產品提供形式:Liquid
-
應用范圍:ELISA, IHC
-
推薦稀釋比:
Application Recommended Dilution IHC 1:20-1:200 -
Protocols:
-
儲存條件:Upon receipt, store at -20°C or -80°C. Avoid repeated freeze.
-
貨期:Basically, we can dispatch the products out in 1-3 working days after receiving your orders. Delivery time maybe differs from different purchasing way or location, please kindly consult your local distributors for specific delivery time.
-
用途:For Research Use Only. Not for use in diagnostic or therapeutic procedures.
相關產品
靶點詳情
-
功能:Proton-sensing receptor involved in pH homeostasis. May represents an osteoblastic pH sensor regulating cell-mediated responses to acidosis in bone. Mediates its action by association with G proteins that stimulates inositol phosphate (IP) production or Ca(2+) mobilization. The receptor is almost silent at pH 7.8 but fully activated at pH 6.8. Also functions as a metastasis suppressor gene in prostate cancer.
-
基因功能參考文獻:
- High GPR68 expression is associated with pancreatic ductal adenocarcinoma. PMID: 29092903
- different benzodiazepines exhibit a range of biases for OGR1, with sulazepam selectively activating the canonical Gs of the G protein signaling pathway, in heterologous expression systems, as well as in several primary cell types. PMID: 29042451
- Our results suggest that OGR1-dependent increases in TRPC4 expression may favour formation of highly Ca(2+) -permeable TRPC4-containing channels that promote transformed granule cell migration. Increased motility of cancer cells is a prerequisite for cancer invasion and metastasis, and our findings may point towards a key role for TRPC4 in progression of certain types of medullablastoma. PMID: 28627017
- Blocking of GPR68 or NF-small ka, CyrillicB activity severely attenuated acidification induced IL-8 production. PMID: 27166427
- These results suggest that zOGR1, but not GPR4, is also a metal-sensing G-protein-coupled receptor in addition to a proton-sensing G-protein-coupled receptor, although not all metals that activate hOGR1 activated zOGR1. PMID: 28270026
- data identify a role for GPR68 as a proton sensor that is required for proper enamel formation PMID: 27693231
- coexpression of OGR1- and G2A-enhanced proton sensitivity and proton-induced calcium signals. This alteration is attributed to oligomerization of OGR1 and G2A. The oligomeric potential locates receptors at a specific site, which leads to enhanced PMID: 27049592
- Proton-sensing GPCR-YAP Signalling Promotes Cancer-associated Fibroblast Activation of Mesenchymal Stem Cells PMID: 27019624
- The deconstruction of OGR1-dependent signaling may aid our understanding of mucosal inflammation mechanisms PMID: 26206859
- Provide evidence for the roles of OGR1 and ASIC1a in the regulation of intestinal passive Mg(2+) absorption. PMID: 24375028
- the expression of OGR1 in myeloid-derived cells, especially in double positive cells, was required for prostate tumor cell-induced immunosuppression. PMID: 23222714
- The involvement of ovarian cancer G-protein-coupled receptor 1 in acidic extracellular environment may be an underlying mechanism responsible for bone pain in osteoporosis or bone metastasis without clinically proved fractures. PMID: 22835475
- OGR1 activation increased intracellular calcium in transfected HEK293 cells. PMID: 22508039
- It indicated that OGR1 may be a tumor suppressor gene for ovarian cancer. PMID: 21740742
- extracellular acidification induces CTGF production through the OGR1/G(q/11) protein and inositol-1,4,5-trisphosphate-induced Ca(2+) mobilization in human airway smooth muscle cells. PMID: 21907704
- acidic pH-induced vascular actions of aortic smooth muscle cells can be dissected to OGR1-dependent and -independent pathways: COX-2 expression, PGI(2) production, and MKP-1 expression are mediated by OGR1, but PAI-1 expression is not. PMID: 20622109
- ovarian cancer G-protein-coupled receptor 1 (OGR1), previously described as a receptor for sphingosylphosphorylcholine, acts as a proton-sensing receptor stimulating inositol phosphate formation PMID: 12955148
- OGR1 was found to evoke strong pH-dependent responses as measured by inositol phosphate accumulation. PMID: 15665078
- cAMP accumulation may occur through OGR1-mediated stimulation of the phospholipase C/cyclooxygenase/PGI(2) pathway PMID: 16087674
- OGR1 is a novel metastasis suppressor gene for prostate cancer. OGR1's constitutive activity via G alpha(i) contributes to its inhibitory effect on cell migration in vitro. PMID: 17728215
- OGR1/G(q/11)/phospholipase C/protein kinase C pathway regulates osteoblastic COX-2 induction and subsequent PGE(2) production in response to acidic circumstances PMID: 18302504
顯示更多
收起更多
-
相關疾病:Amelogenesis imperfecta, hypomaturation type, 2A6 (AI2A6)
-
亞細胞定位:Cell membrane; Multi-pass membrane protein.
-
蛋白家族:G-protein coupled receptor 1 family
-
組織特異性:Found at low level in a wide range of tissues, but significantly expressed in lung, kidney, bone and nervous system.
-
數據庫鏈接:
Most popular with customers
-
-
YWHAB Recombinant Monoclonal Antibody
Applications: ELISA, WB, IHC, IF, FC
Species Reactivity: Human, Mouse, Rat
-
Phospho-YAP1 (S127) Recombinant Monoclonal Antibody
Applications: ELISA, WB, IHC
Species Reactivity: Human
-
-
-
-
-















