GPR65 Antibody
-
中文名稱:GPR65兔多克隆抗體
-
貨號:CSB-PA548371
-
規格:¥1100
-
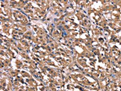
圖片:
-
The image on the left is immunohistochemistry of paraffin-embedded Human ovarian cancer tissue using CSB-PA548371(GPR65 Antibody) at dilution 1/20, on the right is treated with synthetic peptide. (Original magnification: ×200)
-
The image on the left is immunohistochemistry of paraffin-embedded Human thyroid cancer tissue using CSB-PA548371(GPR65 Antibody) at dilution 1/20, on the right is treated with synthetic peptide. (Original magnification: ×200)
-
-
其他:
產品詳情
-
Uniprot No.:
-
基因名:
-
別名:GPR65; TDAG8; Psychosine receptor; G-protein coupled receptor 65; T-cell death-associated gene 8 protein
-
宿主:Rabbit
-
反應種屬:Human
-
免疫原:Synthetic peptide of Human GPR65
-
免疫原種屬:Homo sapiens (Human)
-
標記方式:Non-conjugated
-
抗體亞型:IgG
-
純化方式:Antigen affinity purification
-
濃度:It differs from different batches. Please contact us to confirm it.
-
保存緩沖液:-20°C, pH7.4 PBS, 0.05% NaN3, 40% Glycerol
-
產品提供形式:Liquid
-
應用范圍:ELISA,IHC
-
推薦稀釋比:
Application Recommended Dilution ELISA 1:2000-1:5000 IHC 1:50-1:200 -
Protocols:
-
儲存條件:Upon receipt, store at -20°C or -80°C. Avoid repeated freeze.
-
貨期:Basically, we can dispatch the products out in 1-3 working days after receiving your orders. Delivery time maybe differs from different purchasing way or location, please kindly consult your local distributors for specific delivery time.
-
用途:For Research Use Only. Not for use in diagnostic or therapeutic procedures.
相關產品
靶點詳情
-
功能:Receptor for the glycosphingolipid psychosine (PSY) and several related glycosphingolipids. Plays a role in immune response by maintaining lysosome function and supporting phagocytosis-mediated intracellular bacteria clearance. May have a role in activation-induced cell death or differentiation of T-cells.
-
基因功能參考文獻:
- TDAG8 functions as a contextual tumor suppressor down-regulated in hematological malignancies. PMID: 29017562
- Study results suggest greater T cell death associated gene-8 (TDAG8) expression in patients with panic disorder compared to healthy subjects, and directly link TDAG8 expression and the severity of the panic disorder symptoms PMID: 28736033
- this study establishes a role for GPR65 in inflammatory bowel disease susceptibility and identify lysosomal dysfunction as a potentially causative element in pathogenesis PMID: 27287411
- TDAG8 expression is decreased by more than 50%. PMID: 24152439
- GPR65 is a regulator upstream of MMP3, which is regulated by proton-sensing G-protein-coupled receptors PMID: 23707809
- Acidosis promotes Bcl-2 family-mediated evasion of apoptosis: involvement of acid-sensing G protein-coupled receptor Gpr65 signaling to Mek/Erk. PMID: 22685289
- Data suggest that one physiological function of TDAG8 is negative regulation of inflammation by inhibiting production of pro-inflammatory cytokines in T-lymphocytes and macrophages. PMID: 22445881
- These results support the hypothesis that TDAG8 enhances tumor development by promoting adaptation to the acidic environment to enhance cell survival/proliferation. PMID: 20855608
- GPR4 and TDAG8 overexpression in human tumors plays a role in driving or maintaining tumor formation PMID: 15221007
- TDAG8 is one of the proton-sensing GPCRs coupling to adenylyl cyclase and psychosine, and its related lysosphingolipids behave as if they were antagonists against protein-sensing receptors, including TDAG8, GPR4, and OGR1. PMID: 15326175
- TDAG8 may play biological roles in immune response and cellular transformation under conditions accompanying tissue acidosis. PMID: 15618224
- Expression of TDAG8 by immune cells may regulate responses in acidic microenvironments. PMID: 15665078
- At least partly, TDGA8 mediates extracellular acidification-induced inhibition of proinflammatory cytokine production through the Gs protein/cyclic AMP-dependent protein kinase A signaling pathway in transgenic mouse macrophages. PMID: 19234222
顯示更多
收起更多
-
亞細胞定位:Cell membrane; Multi-pass membrane protein.
-
蛋白家族:G-protein coupled receptor 1 family
-
組織特異性:Predominantly expressed in thymus, spleen, lymph nodes, small intestine, lung, placenta and peripheral blood leukocytes.
-
數據庫鏈接:
Most popular with customers
-
-
YWHAB Recombinant Monoclonal Antibody
Applications: ELISA, WB, IHC, IF, FC
Species Reactivity: Human, Mouse, Rat
-
Phospho-YAP1 (S127) Recombinant Monoclonal Antibody
Applications: ELISA, WB, IHC
Species Reactivity: Human
-
-
-
-
-















