GPR55 Antibody
-
中文名稱:GPR55兔多克隆抗體
-
貨號:CSB-PA009820OA01HU
-
規格:¥440
-
圖片:
-
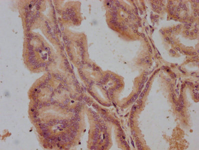
IHC image of CSB-PA009820OA01HU diluted at 1:100 and staining in paraffin-embedded human prostate tissue performed on a Leica BondTM system. After dewaxing and hydration, antigen retrieval was mediated by high pressure in a citrate buffer (pH 6.0). Section was blocked with 10% normal goat serum 30min at RT. Then primary antibody (1% BSA) was incubated at 4°C overnight. The primary is detected by a biotinylated secondary antibody and visualized using an HRP conjugated SP system.
-
-
其他:
產品詳情
-
產品名稱:Rabbit anti-Homo sapiens (Human) GPR55 Polyclonal antibody
-
Uniprot No.:
-
基因名:
-
別名:G protein coupled receptor 55 antibody; G-protein coupled receptor 55 antibody; GPCR GPR55 antibody; GPR 55 antibody; Gpr55 antibody; GPR55_HUMAN antibody; LPIR1 antibody; Probable G protein coupled receptor 55 antibody
-
宿主:Rabbit
-
反應種屬:Human
-
免疫原:Peptide sequence from Human G-protein coupled receptor 55 protein (203-222AA)
-
免疫原種屬:Homo sapiens (Human)
-
標記方式:Non-conjugated
本頁面中的產品,GPR55 Antibody (CSB-PA009820OA01HU),的標記方式是Non-conjugated。對于GPR55 Antibody,我們還提供其他標記。見下表:
-
克隆類型:Polyclonal
-
抗體亞型:IgG
-
純化方式:Antigen Affinity Purified
-
濃度:It differs from different batches. Please contact us to confirm it.
-
保存緩沖液:Preservative: 0.03% Proclin 300
Constituents: 50% Glycerol, 0.01M PBS, pH 7.4 -
產品提供形式:Liquid
-
應用范圍:ELISA, IHC
-
推薦稀釋比:
Application Recommended Dilution IHC 1:20-1:200 -
Protocols:
-
儲存條件:Upon receipt, store at -20°C or -80°C. Avoid repeated freeze.
-
貨期:Basically, we can dispatch the products out in 1-3 working days after receiving your orders. Delivery time maybe differs from different purchasing way or location, please kindly consult your local distributors for specific delivery time.
-
用途:For Research Use Only. Not for use in diagnostic or therapeutic procedures.
相關產品
靶點詳情
-
功能:May be involved in hyperalgesia associated with inflammatory and neuropathic pain. Receptor for L-alpha-lysophosphatidylinositol (LPI). LPI induces Ca(2+) release from intracellular stores via the heterotrimeric G protein GNA13 and RHOA. Putative cannabinoid receptor. May play a role in bone physiology by regulating osteoclast number and function.
-
基因功能參考文獻:
- GPR55 is involved in the migratory behavior of human breast cancer cells. PMID: 29188802
- Inhibition of GPR55 activity produces antitumor effects via attenuation of the MEK/ERK and PI3K-AKT pathways leading to a reduction in the expression and function of MDR proteins. PMID: 27423937
- our data suggest that GPR55 and CB1 play differential roles in colon carcinogenesis where the former seems to act as oncogene and the latter as tumor suppressor. PMID: 28875496
- GPR55 was highly expressed by beta-cells of both humans and mice. It was also present in a small proportion of mouse islet alpha-cells and in the majority of human islet alpha-cells, but it was absent or at very low levels in delta-cells of both species. GPR55 was preferentially expressed in the endocrine pancreas, with only faint immunoreactivity in the exocrine pancreas in mice and humans. PMID: 27561953
- We observed a significantly higher expression of GPR55 mRNA in Crohn's disease (CD) patients compared to ulcerative colitis (UC) and controls. CD patients manifested higher GPR55 mRNA expression in inflamed compared with non-inflamed colonic tissues. In contrast, the analysis of GPR55 mRNA expression in UC patients revealed no statistically significant differences between inflamed and non-inflamed colonic tissue. PMID: 28272905
- Crucial amino acid residues involved in agonist signaling at the GPR55 receptor have been identified. PMID: 28005346
- The signalling pathways activated by lysophosphatidylinositol through its receptor GPR55 play a pivotal role in different cancer. [review] PMID: 26588872
- GPR55 is involved in the migratory behaviour of colon carcinoma cells. PMID: 26436760
- Inhibiting the pro-angiogenic L-alpha-lysophosphatidylinositol /GPR55 pathway appears a promising target against angiogenesis in ovarian carcinoma PMID: 25989290
- GPR55 is expressed in placenta,located solely at the placental endothelium; L-alpha-lysophosphatidylinositol (LPI), the endogenous ligand of GPR55, increases migratory activity of venous but not arterial placental endothelial cells suggesting a role of LPI-GPR55 axis in placental venous endothelium function PMID: 25869640
- GPR55 could play deleterious role in ox-LDL-induced foam cells and could be a novel pharmacological target to manage atherosclerosis and other related cardiovascular diseases. PMID: 25970609
- GPR55 was a direct target gene of miR-675-5p. PMID: 25889562
- proinflammatory role in innate immunity PMID: 25344934
- expression of CB1 and GPR55 in proximal tubules is altered in response to elevated levels of glucose and albumin PMID: 25545857
- This review summarizes our current knowledge of expression and function of GPR55 in tissues involved in metabolic regulation and the signaling cascades through which GPR55 is reported to act. PMID: 24972076
- Heteromerization of GPR55 and cannabinoid CB2 receptors modulates signalling PMID: 25048571
- Data suggest GPR55 (G-protein coupled receptor 55), ABCC1 (ATP-binding cassette sub-family C), and MPR1/ABCB1 (multidrug resistance protein 1) participate/cooperate in autocrine communication/tumorigenesis involving lysophosphatidylinositol. [REVIEW] PMID: 25233417
- CB2R and GPR55 form heteromers in cancer cells, these structures possess unique signaling properties, and modulation of these heteromers can modify the antitumoral activity of cannabinoids in vivo PMID: 24942731
- GPR55 receptors were expressed in urothelial cell lines and interact with CB1 receptors. PMID: 24652077
- GPR55 antagonists occupies a horizontal binding pocket extending into the extracellular loop region, a central ligand portion that fits vertically in the receptor binding pocket. PMID: 24274581
- Data (including data from tissue bank samples) suggest that GPR55 is strongly expressed on myenteric neurons of the colon. PMID: 23603203
- Data suggest that GPR55 is functionally expressed in vascular endothelium/platelets and is involved in regulation of calcium signaling; as suspected, lysophosphatidylinositol is a ligand/agonist for GPR55. PMID: 23639801
- HIV-infected human cells injected into immunodeficient mice to observe expression levels of CB1R, CB2R and GPR55. PMID: 20549374
- GPR55 drives skin carcinogenesis and is upregulated in human squamous cell carcinomas. PMID: 22751111
- This article reviews current data about GPR55 pharmacology and signalling, highlighting its involvement in several pathophysiological conditions. [review] PMID: 23151004
- This review presents a summary of what is known about the G-protein coupled receptors GPR35 and GPR55 and their potential characterization as lysophospholipid or cannabinoid receptors, respectively--{REVIEW} PMID: 22820167
- CB1 modulates the signaling properties of the lysophosphatidylinositol receptor GPR55. PMID: 23161546
- Studies suggest the lysophosphatidylinositol (LPI)/orphan G protein-coupled receptor GPR55 axis plays an important role in different physiological and pathological contexts. PMID: 22285325
- GASP-1 is a key regulator of the trafficking and, by extension, functional expression of GPR55 PMID: 21718301
- alpha-lysophosphatidylinositol(LPI)/GPR55 system is positively associated with obesity in humans. PMID: 22179809
- New blood brothers: the GPR55 and CB2 partnership PMID: 21537344
- GPR55 limits the tissue-injuring inflammatory responses mediated by CB(2)R, while it synergizes with CB(2)R in recruiting neutrophils to sites of inflammation. PMID: 21467997
- GPR55 is expressed in human tumours and drives proliferation and its expression correlates with tumour aggressiveness PMID: 21367464
- The chemical diversity provided by three lead compounds combined with the identification of key GPR55 receptor interaction sites should provide a basis for the design of more efficacious second-generation GPR55 ligands that retain GPR55 selectivity. PMID: 21534610
- this study demonistrated that low-functioning Val195 allele of GPR55 appears to be a risk factor for anorexia nervosa. PMID: 20506567
- GPR55 is expressed in several prostate and ovarian cancer cell lines and has a critical role in regulating proliferation and anchorage-independent growth. GPR55 mediates the effects of lysophosphatidylinositol in prostate and ovarian cancer cells. PMID: 20838378
- GPR55 expression in human tumors from different origins correlates with tumor aggressiveness. Moreover, GPR55 promotes cancer cell proliferation through the overactivation of the extracellular signal-regulated kinase cascade. PMID: 20818416
- results suggest that GPR55 and its endogenous ligand LPI play essential roles in the homoeostatic responses to stress signals in several mammalian tissues and cells including certain types of immune cells PMID: 20051382
- These results strongly suggest that GPR55 is a specific and functional receptor for lysophosphatidylinositol. PMID: 17765871
- The GPR55 is a novel cannabinoid receptor, it binds to and is activated by the cannabinoid ligand CP55940 and couples to Galpha13 and can mediate activation of rhoA, cdc42 and rac1. PMID: 17876302
- establish GPR55 as a cannabinoid receptor with signaling distinct from CB(1) and CB(2). PMID: 18263732
- in endothelial cells, two receptors for anandamide were found, which were characterized as cannabinoid 1 receptor & and G-protein-coupled receptor 55; integrin clustering enables anandamide-induced Ca2+ signaling in endothelial cells via GPR55 PMID: 18445684
- Treatment with lysophosphatidylinositol induces marked GPR55 internalization and stimulates a sustained, oscillatory calcium release pathway, which is dependent on Galpha13 and requires RhoA activation. PMID: 18757503
- GPR55 is an atypical cannabinoid responder. PMID: 19723626
- Data reveal a role of GPR55 in bone physiology by regulating osteoclast number and function. PMID: 19805329
顯示更多
收起更多
-
亞細胞定位:Cell membrane; Multi-pass membrane protein.
-
蛋白家族:G-protein coupled receptor 1 family
-
組織特異性:Expressed in the caudate nucleus and putamen, but not detected in the hippocampus, thalamus, pons cerebellum, frontal cortex of the brain or in the liver. Expressed in osteoclasts and osteoblasts.
-
數據庫鏈接:
Most popular with customers
-
YWHAB Recombinant Monoclonal Antibody
Applications: ELISA, WB, IHC, IF, FC
Species Reactivity: Human, Mouse, Rat
-
Phospho-YAP1 (S127) Recombinant Monoclonal Antibody
Applications: ELISA, WB, IHC
Species Reactivity: Human
-
-
-
-
-
-















