GPIHBP1 Antibody
-
中文名稱:GPIHBP1兔多克隆抗體
-
貨號:CSB-PA811603LA01HU
-
規格:¥440
-
圖片:
-
Western Blot
Positive WB detected in: U87 whole cell lysate(30μg), LO2 whole cell lysate(30μg), 293 whole cell lysate(30μg), Hela whole cell lysate(30μg), 293T whole cell lysate(30μg), 786-O whole cell lysate(30μg),Mouse Kidney tissue lysate(30μg),Mouse Fat tissue lysate(30μg)
All lanes: GPIHBP1 antibody at 1:1000
Secondary
Goat polyclonal to rabbit IgG at 1/20000 dilution
Predicted band size: 20 kDa
Observed band size: 25 kDa
Exposure time: 120s -
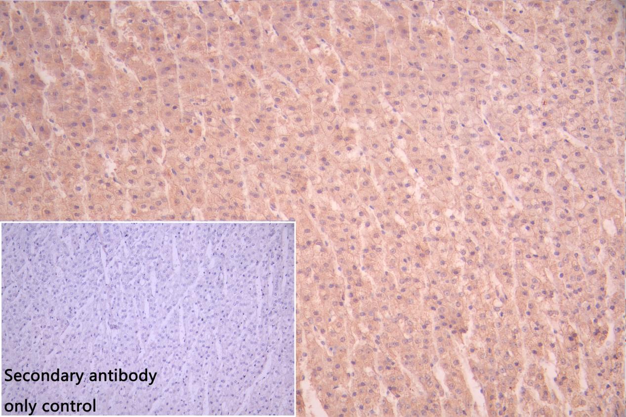
IHC image of CSB-PA811603LA01HU diluted at 1:100 and staining in paraffin-embedded human adrenal gland tissue performed on a Leica BondTM system. After dewaxing and hydration, antigen retrieval was mediated by high pressure in a citrate buffer (pH 6.0). Section was blocked with 10% normal goat serum 30min at RT. Then primary antibody (1% BSA) was incubated at 4°C overnight. The primary is detected by a Goat anti-rabbit polymer IgG labeled by HRP and visualized using 0.05% DAB. Secondary antibody only control: uses 1% BSA instead of primary antibody
-
-
其他:
產品詳情
-
產品描述:
The GPIHBP1 antibody was derived from the rabbits immunized with the recombinant human GPIHBP1 protein (21-151aa). This rabbit anti-human GPIHBP1 polyclonal antibody was tested to detect human, mouse, and rat GPIHBP1 proteins in ELISA, IHC, and WB applications. The non-conjugated IgG got purified by protein G and reached up to 95% in purity.
The target protein GPIHBP1 is essential for the proper functioning of lipoprotein lipase (LPL), allowing LPL to efficiently break down triglycerides in circulating lipoproteins, such as chylomicrons and very-low-density lipoproteins (VLDLs), and to release free fatty acids for use by the body. This process facilitates efficient triglyceride metabolism and helps maintain healthy lipid levels in the bloodstream. Defects or mutations in GPIHBP1 have been linked to familial chylomicronemia syndrome (FCS), a rare genetic disorder characterized by severe hypertriglyceridemia due to impaired LPL activity.
-
產品名稱:Rabbit anti-Homo sapiens (Human) GPIHBP1 Polyclonal antibody
-
Uniprot No.:
-
基因名:GPIHBP1
-
別名:GPIHBP1; HBP1; Glycosylphosphatidylinositol-anchored high density lipoprotein-binding protein 1; GPI-HBP1; GPI-anchored HDL-binding protein 1; High density lipoprotein-binding protein 1
-
宿主:Rabbit
-
反應種屬:Human, Mouse
-
免疫原:Synthesized peptide derived from human HDBP1
-
免疫原種屬:Homo sapiens (Human)
-
克隆類型:Polyclonal
-
抗體亞型:IgG
-
純化方式:Antigen affinity purification
-
濃度:It differs from different batches. Please contact us to confirm it.
-
保存緩沖液:Liquid in PBS containing 50% glycerol, 0.5% BSA and 0.02% sodium azide.
-
產品提供形式:Liquid
-
應用范圍:ELISA, WB, IHC
-
推薦稀釋比:
Application Recommended Dilution WB 1:500-1:2000 IHC 1:50-1:200 -
Protocols:
-
儲存條件:Upon receipt, store at -20°C or -80°C. Avoid repeated freeze.
-
貨期:Basically, we can dispatch the products out in 1-3 working days after receiving your orders. Delivery time maybe differs from different purchasing way or location, please kindly consult your local distributors for specific delivery time.
-
用途:For Research Use Only. Not for use in diagnostic or therapeutic procedures.
相關產品
靶點詳情
-
功能:Mediates the transport of lipoprotein lipase LPL from the basolateral to the apical surface of endothelial cells in capillaries. Anchors LPL on the surface of endothelial cells in the lumen of blood capillaries. Protects LPL against loss of activity, and against ANGPTL4-mediated unfolding. Thereby, plays an important role in lipolytic processing of chylomicrons by LPL, triglyceride metabolism and lipid homeostasis. Binds chylomicrons and phospholipid particles that contain APOA5. Binds high-density lipoprotein (HDL) and plays a role in the uptake of lipids from HDL.
-
基因功能參考文獻:
- the negatively charged IDR of GPIHBP1 traverses a vast space, facilitating capture of LPL by capillary endothelial cells and simultaneously contributing to GPIHBP1's ability to preserve LPL structure and activity. PMID: 29899144
- The increased GPIHBP1 was significantly associated with decreased body weight. PMID: 29056530
- apoC-III potently inhibits triglyceride hydrolysis when LPL is bound to GPIHBP1 PMID: 28694296
- mutation of a conserved cysteine in GPIHBP1 abolishes the ability of GPIHBP1 to bind LPL PMID: 28476858
- One of 33 patients with unexplained chylomicronemia had the GPIHBP1 autoantibody syndrome PMID: 28666713
- Triglyceride-raising variant alleles of the GPIHBP1, encoding glycosylphosphatidylinositol-anchored HDL-binding protein 1,associated with clinical Cardiovascular endpoints. PMID: 28534127
- The authors now show: (1) that ANGPTL4 inactivates LPL by catalyzing the unfolding of its hydrolase domain; (2) that binding to GPIHBP1 renders LPL largely refractory to this inhibition; and (3) that both the LU domain and the intrinsically disordered acidic domain of GPIHBP1 are required for this protective effect. PMID: 27929370
- familial chylomicronemia due to mutations in GPIHBP1 gene PMID: 27578123
- mAbs RE3 and RG3 bound with reduced affinity to a mutant GPIHBP1 containing an Ly6 domain mutation (W109S) that abolishes LPL binding. Immunohistochemistry studies with the GPIHBP1 mAbs revealed that human GPIHBP1 is expressed only in capillary endothelial cells. Finally, we created an ELISA that detects GPIHBP1 in human plasma. PMID: 27875259
- The binding of both antibody 88B8 and GPIHBP1 to LPL depends on large segments of LPL's carboxyl-terminal domain. PMID: 27494936
- An LPL structural model suggests that the LPL S447X truncation exposes residues implicated in LPL binding to lipoprotein binding uptake receptors, such as GPIHBP1. PMID: 27984852
- The acidic domain of GPIHBP1 stabilizes LPL catalytic activity by mitigating the global unfolding of LPL's catalytic domain. PMID: 26725083
- 2 novel GPIHBP1 missense mutations in 2 unrelated patients as the cause of their severe hypertriglyceridemia PMID: 26892125
- GPIHBP1 mutations should be considered in neonates with chylomicronemia negative for mutations in LPL gene PMID: 25911085
- the two domains of GPIHBP1 interact independently with LPL and the functionality of LPL depends on its localization on GPIHBP1 PMID: 25873395
- No GPIHBP1 mutations were identified in a cohort of patients with diabetic lipemia. PMID: 25131724
- patient with type I hyperlipoproteinemia harbored homozygous mutation in case series PMID: 24793350
- GPIHBP1 missense mutations leading to protein multimerization prevent lipoprotein lipase binding. PMID: 25387803
- Homozygosity for a deletion of exons 3 and 4 of GPIHBP1 results in Type 1 hyperlipoproteinemia. PMID: 24589565
- an extra cysteine in the GPIHBP1 Ly6 motif results in multimerization of GPIHBP1, defective LPL binding, and severe hypertriglyceridemia. PMID: 24847059
- Wild-type lipoprotein lipase (LPL) and a mutated (S447X-LPL) protein bind to the endothelial cell LPL transporter GPIHBP1 with equal efficiency. PMID: 24704550
- A polymorphism in the GPIHBP1 gene promoter was associated with an increased risk of hypertriglyceridemia and had an additive effect on the risk conferred by LPL defective alleles. PMID: 21978733
- Mutations in GPIHBP1 are rare but the associated clinical phenotype of hypertriglyceridaemia is severe. PMID: 22239554
- analysis of a neonate with complete GPIHBP1 deficiency due to homozygosity for a deletion of GPIHBP1 [case report] PMID: 22008945
- Expression of glycosylphosphatidylinositol-anchored high-density lipoprotein binding protein 1 tended to be higher in young healthy subjects than in subjects with type 2 diabetes mellitus or Colder control subjects PMID: 22078753
- function and genetics of GPIHBP1 in lipoprotein lipase transport PMID: 21844202
- we first report a mutation of the hydrophobic C-terminal domain that impairs GPIHBP1 membrane targeting PMID: 21816778
- Findings provide further evidence that GPIHBP1 is involved in the catabolism of triglyceride-rich lipoproteins and plays a role in childhood-onset chylomicronaemia. PMID: 21314738
- the Ly6 domain of GPIHBP1 is important for the ability of GPIHBP1 to bind and transport LPL. PMID: 21478160
- report that two LPL missense mutations initially identified in patients with chylomicronemia, C418Y and E421K, abolish LPL's ability to bind to GPIHBP1 without interfering with LPL catalytic activity or binding to heparin PMID: 21518912
- GPIHBP1 binds lipoprotein lipase but does not bind other lipase family members. GPIHBP1 binds apoAV but does not bind apoAI or high-density lipoprotein. GPIHBP1 binding to chylomicrons is mediated by lipoprotein lipase. PMID: 20966398
- The conserved cysteines in the Ly6 domain are crucial for GPIHBP1 function. PMID: 20026666
- Observational study of gene-disease association. (HuGE Navigator) PMID: 20237496
- GPIHBP1 functions as an LPL stabilizer PMID: 19542565
- a very rare GPIHBP1 missense mutation appears to be associated with severe hypertriglyceridemia and chylomicronemia. PMID: 17883852
- Data show that the G56R substitution did not affect the ability of GPIHBP1 to reach the cell surface, nor did the amino acid substitution have any discernible effect on the binding of lipoprotein lipase, chylomicrons, or apo-AV. PMID: 17997385
- the acidic domain of GPIHBP1 is important and electrostatic interactions play a key role in ligand binding PMID: 18713736
- Case Report: Chylomicronemia with a mutant GPIHBP1 (Q115P) that cannot bind lipoprotein lipase. PMID: 19304573
顯示更多
收起更多
-
相關疾病:Hyperlipoproteinemia 1D (HLPP1D)
-
亞細胞定位:Apical cell membrane; Lipid-anchor, GPI-anchor. Basolateral cell membrane; Lipid-anchor, GPI-anchor. Cell membrane; Lipid-anchor, GPI-anchor.
-
數據庫鏈接:
Most popular with customers
-
-
YWHAB Recombinant Monoclonal Antibody
Applications: ELISA, WB, IHC, IF, FC
Species Reactivity: Human, Mouse, Rat
-
Phospho-YAP1 (S127) Recombinant Monoclonal Antibody
Applications: ELISA, WB, IHC
Species Reactivity: Human
-
-
-
-
-















