GPAM Antibody
-
中文名稱:GPAM兔多克隆抗體
-
貨號:CSB-PA010968
-
規格:¥1100
-
圖片:
-
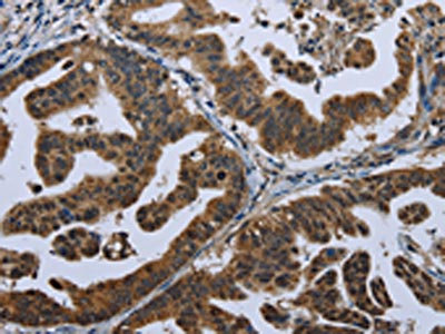
The image on the left is immunohistochemistry of paraffin-embedded Human ovarian cancer tissue using CSB-PA010968(GPAM Antibody) at dilution 1/60, on the right is treated with fusion protein. (Original magnification: ×200)
-
The image on the left is immunohistochemistry of paraffin-embedded Human gastric cancer tissue using CSB-PA010968(GPAM Antibody) at dilution 1/60, on the right is treated with fusion protein. (Original magnification: ×200)
-
-
其他:
產品詳情
-
Uniprot No.:
-
基因名:GPAM
-
別名:Glycerol 3 phosphate acyltransferase 1 mitochondrial antibody; Glycerol 3 phosphate acyltransferase mitochondrial antibody; Glycerol-3-phosphate acyltransferase 1 antibody; Gpam antibody; GPAT antibody; GPAT-1 antibody; GPAT1 antibody; GPAT1_HUMAN antibody; KIAA1560 antibody; MGC26846 antibody; mitochondrial antibody; RP11-426E5.2 antibody
-
宿主:Rabbit
-
反應種屬:Human,Mouse,Rat
-
免疫原:Fusion protein of Human GPAM
-
免疫原種屬:Homo sapiens (Human)
-
標記方式:Non-conjugated
-
抗體亞型:IgG
-
純化方式:Antigen affinity purification
-
濃度:It differs from different batches. Please contact us to confirm it.
-
保存緩沖液:-20°C, pH7.4 PBS, 0.05% NaN3, 40% Glycerol
-
產品提供形式:Liquid
-
應用范圍:ELISA,IHC
-
推薦稀釋比:
Application Recommended Dilution ELISA 1:2000-1:10000 IHC 1:100-1:300 -
Protocols:
-
儲存條件:Upon receipt, store at -20°C or -80°C. Avoid repeated freeze.
-
貨期:Basically, we can dispatch the products out in 1-3 working days after receiving your orders. Delivery time maybe differs from different purchasing way or location, please kindly consult your local distributors for specific delivery time.
-
用途:For Research Use Only. Not for use in diagnostic or therapeutic procedures.
相關產品
靶點詳情
-
功能:Esterifies acyl-group from acyl-ACP to the sn-1 position of glycerol-3-phosphate, an essential step in glycerolipids biosynthesis such as triglycerides, phosphatidic acids and lysophosphatidic acids.
-
基因功能參考文獻:
- High GPAM expression is associated with Ovarian Carcinoma. PMID: 28652252
- two transcriptional initiation sites and two promoters (promoter I and II) required for expression of the human GPAT1 (hGPAT1) gene were identified. PMID: 22634312
- Results suggest that GPAM is expressed in human breast cancer with associated changes in the cellular metabolism, in particular an increased synthesis of phospholipids, the major structural component of cellular membranes. PMID: 22070544
-
亞細胞定位:Mitochondrion outer membrane; Multi-pass membrane protein.
-
蛋白家族:GPAT/DAPAT family
-
數據庫鏈接:
Most popular with customers
-
YWHAB Recombinant Monoclonal Antibody
Applications: ELISA, WB, IHC, IF, FC
Species Reactivity: Human, Mouse, Rat
-
Phospho-YAP1 (S127) Recombinant Monoclonal Antibody
Applications: ELISA, WB, IHC
Species Reactivity: Human
-
-
-
-
-
-















