GOLPH3 Antibody
-
中文名稱:GOLPH3兔多克隆抗體
-
貨號:CSB-PA872494LA01HU
-
規格:¥440
-
圖片:
-
Western Blot
Positive WB detected in: Hela whole cell lysate(20μg), MCF7 whole cell lysate(20μg)
All lanes: GOLPH3 antibody at 1:1000
Secondary
Goat polyclonal to rabbit IgG at 1/20000 dilution
Predicted band size: 34 kDa
Observed band size: 34 kDa
Exposure time: 120s -
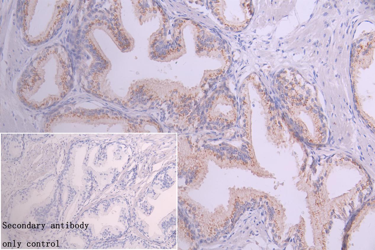
IHC image of CSB-PA872494LA01HU diluted at 1:1200 and staining in paraffin-embedded human prostate cancer performed on a Leica BondTM system. After dewaxing and hydration, antigen retrieval was mediated by high pressure in a citrate buffer (pH 6.0). Section was blocked with 10% normal goat serum 30min at RT. Then primary antibody (1% BSA) was incubated at 4°C overnight. The primary is detected by a Goat anti-rabbit polymer IgG labeled by HRP and visualized using 0.05% DAB. Secondary antibody only control: uses 1% BSA instead of primary antibody
-
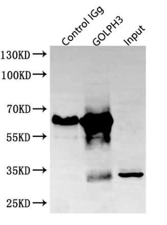
Immunoprecipitating GOLPH3 in Hela whole cell lysate
Lane 1: Rabbit control IgG instead of CSB-RA010605A0HU in Hela whole cell lysate
Lane 2:CSB-PA872494LA01HU(7.98μg)+ Hela whole cell lysate(600μg)
Lane 3: Hela whole cell lysate(30μg)
For western blotting, a HRP-conjugated Protein G antibody was used as the secondary antibody (1/20000)
-
-
其他:
產品詳情
-
產品名稱:Rabbit anti-Homo sapiens (Human) GOLPH3 Polyclonal antibody
-
Uniprot No.:
-
基因名:GOLPH3
-
別名:Coat protein antibody; Coat protein GPP34 antibody; FLJ90675 antibody; Golgi associated protein antibody; Golgi peripheral membrane protein 1, 34 kDa antibody; Golgi phosphoprotein 3 (coat protein) antibody; Golgi phosphoprotein 3 antibody; Golgi protein antibody; GOLP3_HUMAN antibody; Golph3 antibody; GOPP1 antibody; GPP34 antibody; MIDAS antibody; Mitochondrial DNA absence factor antibody
-
宿主:Rabbit
-
反應種屬:Human
-
免疫原:Recombinant Human Golgi phosphoprotein 3 protein (16-150AA)
-
免疫原種屬:Homo sapiens (Human)
-
標記方式:Non-conjugated
本頁面中的產品,GOLPH3 Antibody (CSB-PA872494LA01HU),的標記方式是Non-conjugated。對于GOLPH3 Antibody,我們還提供其他標記。見下表:
-
克隆類型:Polyclonal
-
抗體亞型:IgG
-
純化方式:>95%, Protein G purified
-
濃度:It differs from different batches. Please contact us to confirm it.
-
保存緩沖液:Preservative: 0.03% Proclin 300
Constituents: 50% Glycerol, 0.01M PBS, pH 7.4 -
產品提供形式:Liquid
-
應用范圍:Application:ELISA, WB, IHC, IP
-
推薦稀釋比:
Application Recommended Dilution WB 1:500-1:3000 IHC 1:100-1:300 IP 1:1000-1:2000 -
Protocols:
-
儲存條件:Upon receipt, store at -20°C or -80°C. Avoid repeated freeze.
-
貨期:Basically, we can dispatch the products out in 1-3 working days after receiving your orders. Delivery time maybe differs from different purchasing way or location, please kindly consult your local distributors for specific delivery time.
-
用途:For Research Use Only. Not for use in diagnostic or therapeutic procedures.
相關產品
靶點詳情
-
功能:Phosphatidylinositol-4-phosphate-binding protein that links Golgi membranes to the cytoskeleton and may participate in the tensile force required for vesicle budding from the Golgi. Thereby, may play a role in Golgi membrane trafficking and could indirectly give its flattened shape to the Golgi apparatus. May also bind to the coatomer to regulate Golgi membrane trafficking. May play a role in anterograde transport from the Golgi to the plasma membrane and regulate secretion. Has also been involved in the control of the localization of Golgi enzymes through interaction with their cytoplasmic part. May play an indirect role in cell migration. Has also been involved in the modulation of mTOR signaling. May also be involved in the regulation of mitochondrial lipids biosynthesis.
-
基因功能參考文獻:
- Overexpression of GOLPH3 may be involved in the resistance of HT29 colon cancer cells to cisplatin chemotherapy by activating multiple cell signaling pathways. PMID: 30015866
- High GOLPH3 expression is associated with breast cancer. PMID: 29534690
- This study provides a brand new evidence that GOLPH3 promotes glioma cell proliferation by facilitating Wls recycling and Wnt/beta-catenin signaling. PMID: 29990993
- High GOLPH3 expression is associated with glioma progression. PMID: 28575494
- Proteomic-based screens identified GOLPH3 as a resident protein of the Golgi apparatus, and second as an oncogene product in a screen for genes amplified in cancer. A third screen uncovered the association of GOLPH3 with the Golgi resident phosphatidyl inositol 4 phosphate to maintain the characteristic ribbon structure of the Golgi apparatus favoring vesicular transport of secretory proteins. [review] PMID: 28954815
- Overexpression of GOLPH3 resulted in the downregulation of p21 protein, upregulation of cyclin D1 and increased retinoblastomaassociated protein phosphorylation, consequently leading to accelerated cell cycle progression. PMID: 28901498
- Results indicate that GOLPH3 is an independent predictive factor for neoadjuvant chemoradiotherapy (nCRT) sensitivity and prognosis in locally advanced rectal cancer (LARC). PMID: 27634904
- Results provide evidences that overexpression of GOLPH3 stimulates EMT via the Wnt/beta-catenin signaling pathway, which further promotes metastasis of epithelial ovarian cancer. PMID: 28332316
- GOLPH3 levels may be a novel prognostic biomarker of tobacco related lung disease. PMID: 27611309
- Authors confirm that the decrease of GOLPH3 that promotes the apoptosis of glioma cells may be regulated by the activation of NDRG1 and cleaved capcase 3. There was a inverse association between GOLPH3 and NDRG1 in glioma samples. PMID: 27698340
- Data found that miR-134 was highly downregulated in gastric cancer tissues and cell lines and inversely correlated with GOLPH3. These results suggest that miR-134 regulates gastric cancer cell proliferation, at least potentially, through downregulation of the GOLPH3 gene, implicating a candidate tumor-suppressor miRNA in the pathogenesis of gastric cancer. PMID: 28260021
- In this review, we will explore the cellular functions regulated by GOLPH3 and discuss if and how they contribute to the oncogenic activity of this intriguing Golgi localized oncoprotein. PMID: 27378035
- cumulative evidence indicates that GOLPH3 participates in several cellular processes critical for cancer cells, emerging as an attractive therapeutic target PMID: 27123979
- GOLPH3 overexpression may participate in the occurrence and development of colorectal carcinoma by inhibiting apoptosis and promoting angiogenesis. PMID: 26730158
- Results show that high GOLPH3 and nuclear/cytoplasmic YB-1 expression correlated with a poor prognosis in patients with prostate cancer. PMID: 26794392
- Review/Meta-analysis: overexpression of GOLPH3 predicts poor prognosis in solid tumors. PMID: 26617771
- GOLPH3 is likely to play important roles in bladder cancer progression via modulating AKT/mTOR signaling, and it is a novel prognostic biomarker and promising therapeutic target for bladder cancer. PMID: 26375441
- GOLPH3 was expressed in prostate cancer cell lines. Our findings suggest GOLPH3 regulate MMP9 expression which impact cell migration and invasion. PMID: 26097550
- GOLPH3 promotes glioblastoma cell migration and invasion via the mTOR-YB1pathway. PMID: 25156912
- GOLPH3 expression predicts poor prognosis in patients with prostate cancer undergoing radical prostatectomy. PMID: 25760033
- High GOLPH3 expression is associated with poor prognosis and invasion of hepatocellular carcinoma PMID: 25634514
- The expression level of GOLPH3 is correlated with metastasis and prognosis in NSCLC, and GOLPH3 mediates metastasis by regulating the protein levels of MMP-2 and MMP-9 in vitro. PMID: 25659977
- Results show that in esophageal squamous cell carcinoma (ESCC), miR-126 was downregulated and IRS-1 and GOLPH3, overexpressed suggesting a tumor suppression role of miR-126 via the regulation of IRS-1 and GOLPH3. PMID: 25017784
- High expression of the GOLPH3 protein is common in early-stage Non-Small-Cell Lung Carcinoma, and is closely associated with tumor progression, increased tumor angiogenesis, and poor survival. PMID: 25081702
- The GOPLH3 expression level is highly correlated with Akt/mTOR signaling in human gastric cancer samples. PMID: 25286393
- High GOLPH3 expression is associated with metastasis in non-small cell lung cancer. PMID: 25081375
- Our recent investigation of the regulation of GOLPH3 revealed a surprising response by the Golgi upon DNA damage that is mediated by DNA-PK and GOLPH3. PMID: 25634214
- Study demonstrated that overexpression of GOLPH3 was associated with poor survival in patients with pancreatic ductal adenocarcinoma. PMID: 25104140
- The DNA copy number variations disrupt PDZD2 and GOLPH3 genes predominantly expressed in placenta, and it may represent a novel risk factor for recurrent miscarriage. PMID: 24827138
- overexpression of GOLPH3 protein is closely related to poorer prognosis in patients with epithelial ovarian cancer. PMID: 25204671
- Golgi phosphoprotein 3 (GOLPH3) promotes hepatocellular carcinoma cell aggressiveness by activating the NF-kappaB pathway. PMID: 25385148
- These results are the first direct demonstration of the role of GOLPH3 in N-glycosylation to regulate cell biological functions. PMID: 24895123
- In this review, GOLPH3 is described as an oncoprotein involved in cell signal transduction. PMID: 24395131
- GOLPH3 has a role in triggering signal-mediated incorporation of glycosyltransferases into coatomer-coated vesicles PMID: 25246532
- Data indicate that Golgi phosphoprotein 3 (GOLPH3) was overexpressed in hepatocellular carcinoma (HCC) at both the mRNA and protein levels, and high expression of GOLPH3 could be served as a novel and potential prognostic biomarker for HCC patients. PMID: 24867097
- Both PKD2 and GOLPH3 play important roles in the progression of human gliomas by promoting cell proliferation. PMID: 25218347
- GOLPH3 is associated with prognosis in colorectal cancer patients treated with postoperative 5-fluorouracil-based adjuvant chemotherapy. PMID: 24444035
- These results suggest that GOLPH3 expression is likely to have important roles in renal cell carcinoma (RCC) development and progression, and that GOLPH3 is a prognostic biomarker and a promising therapeutic target for RCC. PMID: 24595000
- High GOLPH3 expression is associated growth and metastasis of esophageal squamous cancer. PMID: 24175832
- GOLPH3 gene expression might play a role in tumorigenesis in epithelial ovarian carcinoma as upregulation of GOLPH3 expression is associated with a more aggressive tumor phenotype. PMID: 24458516
- Identification of the DNA-damage-induced Golgi response reveals an unexpected pathway through DNA-PK, GOLPH3, and MYO18A that regulates cell survival following DNA damage. PMID: 24485452
- PDZ module mediates direct binding of myosin-18A to GOLPH3, and this interaction in turn modulates the actin binding properties of the N-terminal extension. Thus, myosin-18A can act as an actin cross-linker with multiple regulatory modulators PMID: 23990465
- GOLPH3 regulates the migration and invasion of glioma cells though regulation of RhoA. PMID: 23500462
- Overexpression of Golgi phosphoprotein-3 is associated with glioblastoma multiforme. PMID: 22972189
- Data indicate the potential involvement of GOLPH3 in the development, differentiation, and tumorigenesis of esophageal squamous cell cancer (ESCC), and suggest the possibility of its use as a diagnostic and prognostic marker in ESCC. PMID: 23056210
- the overexpression of GOLPH3 is closely related to the progression of gastric cancer and might be regarded as an independent predictor of poor prognosis for gastric cancer PMID: 23132295
- Overexpression of GOLPH3 is associated with the transition of prostate cancer from hormone sensitive phase to hormone refractory phase. PMID: 23006319
- results suggest GOLPH3 overexpression is associated with poor prognosis for cN0 oral tongue cancer patients and may represent a novel and useful prognostic indicator for cN0 oral tongue cancer PMID: 22905766
- GOLPH3 can regulate cell-cell interaction by controlling Golgi retention of C2GnT1. PMID: 23027862
- Data indicate that golgi phosphoprotein 3 (GOLPH3) overexpression decreased FOXO1 transcriptional activity. PMID: 22675169
顯示更多
收起更多
-
亞細胞定位:Golgi apparatus, Golgi stack membrane; Peripheral membrane protein; Cytoplasmic side. Golgi apparatus, trans-Golgi network membrane; Peripheral membrane protein; Cytoplasmic side. Mitochondrion intermembrane space. Cell membrane. Endosome.
-
蛋白家族:GOLPH3/VPS74 family
-
組織特異性:Detected in muscle fibers of patients with mitochondrial diseases; not detected in normal muscle fibers.
-
數據庫鏈接:
Most popular with customers
-
-
YWHAB Recombinant Monoclonal Antibody
Applications: ELISA, WB, IHC, IF, FC
Species Reactivity: Human, Mouse, Rat
-
Phospho-YAP1 (S127) Recombinant Monoclonal Antibody
Applications: ELISA, WB, IHC
Species Reactivity: Human
-
-
-
-
-















