GOLGB1 Antibody
-
中文名稱:GOLGB1兔多克隆抗體
-
貨號:CSB-PA622788LA01HU
-
規格:¥440
-
圖片:
-
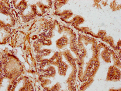
IHC image of CSB-PA622788LA01HU diluted at 1:300 and staining in paraffin-embedded human prostate tissue performed on a Leica BondTM system. After dewaxing and hydration, antigen retrieval was mediated by high pressure in a citrate buffer (pH 6.0). Section was blocked with 10% normal goat serum 30min at RT. Then primary antibody (1% BSA) was incubated at 4°C overnight. The primary is detected by a biotinylated secondary antibody and visualized using an HRP conjugated SP system.
-
Immunofluorescence staining of HepG2 cells with CSB-PA622788LA01HU at 1:100, counter-stained with DAPI. The cells were fixed in 4% formaldehyde, permeabilized using 0.2% Triton X-100 and blocked in 10% normal Goat Serum. The cells were then incubated with the antibody overnight at 4°C. The secondary antibody was Alexa Fluor 488-congugated AffiniPure Goat Anti-Rabbit IgG(H+L).
-
-
其他:
產品詳情
-
產品名稱:Rabbit anti-Homo sapiens (Human) GOLGB1 Polyclonal antibody
-
Uniprot No.:
-
基因名:
-
別名:372 kDa Golgi complex associated protein antibody; 372 kDa Golgi complex-associated protein antibody; GCP antibody; GCP372 antibody; Giantin antibody; GOGB1_HUMAN antibody; GOLGB1 antibody; Golgi autoantigen golgin subfamily a member 1 antibody; Golgi autoantigen golgin subfamily b macrogolgin (with transmembrane signal) 1 antibody; Golgi autoantigen, golgin subfamily b, macrogolgin 1 antibody; Golgi complex associated protein 372kDa antibody; Golgi complex-associated protein 372kDa antibody; Golgin B1 antibody; Golgin B1, golgi integral membrane protein antibody; Golgin subfamily B member 1 antibody; GOLIM1 antibody; Macrogolgin antibody; MGC33154 antibody
-
宿主:Rabbit
-
反應種屬:Human
-
免疫原:Recombinant Human Golgin subfamily B member 1 protein (1764-1869AA)
-
免疫原種屬:Homo sapiens (Human)
-
標記方式:Non-conjugated
本頁面中的產品,GOLGB1 Antibody (CSB-PA622788LA01HU),的標記方式是Non-conjugated。對于GOLGB1 Antibody,我們還提供其他標記。見下表:
-
克隆類型:Polyclonal
-
抗體亞型:IgG
-
純化方式:>95%, Protein G purified
-
濃度:It differs from different batches. Please contact us to confirm it.
-
保存緩沖液:Preservative: 0.03% Proclin 300
Constituents: 50% Glycerol, 0.01M PBS, pH 7.4 -
產品提供形式:Liquid
-
應用范圍:ELISA, IHC, IF
-
推薦稀釋比:
Application Recommended Dilution IHC 1:200-1:500 IF 1:50-1:200 -
Protocols:
-
儲存條件:Upon receipt, store at -20°C or -80°C. Avoid repeated freeze.
-
貨期:Basically, we can dispatch the products out in 1-3 working days after receiving your orders. Delivery time maybe differs from different purchasing way or location, please kindly consult your local distributors for specific delivery time.
-
用途:For Research Use Only. Not for use in diagnostic or therapeutic procedures.
相關產品
靶點詳情
-
功能:May participate in forming intercisternal cross-bridges of the Golgi complex.
-
基因功能參考文獻:
- Single nucleotide polymorphisms (SNPs) rs1035798 in RAGE gene, rs2073617 and rs2073618 in TNFRSF11B, and rs3732410 in Golgb1 will be investigated on whether there is an association with hemorrhagic stroke (HS) in Chinese population. PMID: 26664786
- Partial depletion of giantin or of WDR34 leads to an increase in cilia length consistent with the concept that giantin acts through dynein-2. PMID: 24046448
- the spatial organization of the Golgi ribbon is mediated by giantin, which also plays a role in cargo transport and sugar modifications PMID: 23555793
- unbiased whole-genome search for genetic modifiers of stroke risk in sickle cell anemia was performed; mutation in GOLGB1 (Y1212C) and mutation in ENPP1 (K173Q) were confirmed as having significant associations with a decreased risk for stroke PMID: 23422753
- Data report the characterization of a mammalian coiled-coil protein, CASP, a Golgi protein that shares with giantin a conserved histidine in its transmembrane domain. PMID: 12429822
- Giantin binds to Rab6A and Rab1 proteins. PMID: 17475246
顯示更多
收起更多
-
亞細胞定位:Golgi apparatus membrane; Single-pass type I membrane protein.
-
數據庫鏈接:
Most popular with customers
-
-
YWHAB Recombinant Monoclonal Antibody
Applications: ELISA, WB, IHC, IF, FC
Species Reactivity: Human, Mouse, Rat
-
Phospho-YAP1 (S127) Recombinant Monoclonal Antibody
Applications: ELISA, WB, IHC
Species Reactivity: Human
-
-
-
-
-















