GNS Antibody
-
中文名稱:GNS兔多克隆抗體
-
貨號:CSB-PA009639ESR1HU
-
規格:¥440
-
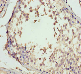
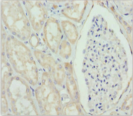
圖片:
-
其他:
產品詳情
-
產品名稱:Rabbit anti-Homo sapiens (Human) GNS Polyclonal antibody
-
Uniprot No.:
-
基因名:GNS
-
別名:2610016K11Rik antibody; AU042285 antibody; C87209 antibody; G6S antibody; Glucosamine (N-acetyl) 6 sulfatase antibody; Glucosamine 6 sulfatase antibody; Glucosamine-6-sulfatase antibody; GNS antibody; GNS_HUMAN antibody; MGC21274 antibody; N acetylglucosamine 6 sulfatase [Precursor] antibody; N-acetylglucosamine-6-sulfatase antibody; N28088 antibody
-
宿主:Rabbit
-
反應種屬:Human
-
免疫原:Recombinant Human N-acetylglucosamine-6-sulfatase protein (293-552AA)
-
免疫原種屬:Homo sapiens (Human)
-
標記方式:Non-conjugated
-
克隆類型:Polyclonal
-
抗體亞型:IgG
-
純化方式:Antigen Affinity Purified
-
濃度:It differs from different batches. Please contact us to confirm it.
-
保存緩沖液:PBS with 0.02% sodium azide, 50% glycerol, pH7.3.
-
產品提供形式:Liquid
-
應用范圍:ELISA, IHC
-
推薦稀釋比:
Application Recommended Dilution IHC 1:20-1:200 -
Protocols:
-
儲存條件:Upon receipt, store at -20°C or -80°C. Avoid repeated freeze.
-
貨期:Basically, we can dispatch the products out in 1-3 working days after receiving your orders. Delivery time maybe differs from different purchasing way or location, please kindly consult your local distributors for specific delivery time.
-
用途:For Research Use Only. Not for use in diagnostic or therapeutic procedures.
相關產品
靶點詳情
-
基因功能參考文獻:
- Mice deficient in GNS showed lysosomal storage pathology and a phenotype that closely resembled human MPSIIID. Moreover, treatment of the GNS-deficient animals with GNS-encoding adeno-associated viral (AAV) vectors of serotype 9 delivered to the cerebrospinal fluid completely corrected pathological storage, improved lysosomal functionality in the CNS and somatic tissues, resolved neuroinflammation PMID: 28334745
- 12 new patients and 15 novel mutations were identified in Mucopolysaccharidosis type IIID. PMID: 20232353
- The Sanfilippo syndrome type D patient was found to be homozygous for a single base pair deletion (c1169delA), which will cause a frameshift and premature termination of N-acetylglucosamine-6-sulphatase. PMID: 12624138
- A large intragenic deletion of 8723 bp encompassing exons 2 and 3 has been identified, the first large intragenic deletion to be reported in any of the four Sanfilippo subtypes. Q272X has also been found. PMID: 16990043
- Sanfilippo syndrome type D has 3 novel mutations in the GNS Gene. PMID: 17998446
- We identified the novel homozygous single base pair insertion, c.1226GinsG, which leads to a frame-shift and a premature truncation of the GNS protein (p.R409Rfs21X). PMID: 19650410
顯示更多
收起更多
-
相關疾病:Mucopolysaccharidosis 3D (MPS3D)
-
亞細胞定位:Lysosome.
-
蛋白家族:Sulfatase family
-
數據庫鏈接:
Most popular with customers
-
-
YWHAB Recombinant Monoclonal Antibody
Applications: ELISA, WB, IHC, IF, FC
Species Reactivity: Human, Mouse, Rat
-
Phospho-YAP1 (S127) Recombinant Monoclonal Antibody
Applications: ELISA, WB, IHC
Species Reactivity: Human
-
-
-
-
-















