GNG2 Antibody
-
中文名稱:GNG2兔多克隆抗體
-
貨號:CSB-PA009614OA01HU
-
規格:¥440
-
圖片:
-
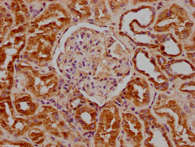
IHC image of CSB-PA009614OA01HU diluted at 1:100 and staining in paraffin-embedded human kidney tissue performed on a Leica BondTM system. After dewaxing and hydration, antigen retrieval was mediated by high pressure in a citrate buffer (pH 6.0). Section was blocked with 10% normal goat serum 30min at RT. Then primary antibody (1% BSA) was incubated at 4°C overnight. The primary is detected by a biotinylated secondary antibody and visualized using an HRP conjugated SP system.
-
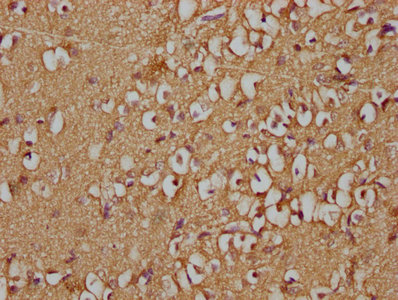
IHC image of CSB-PA009614OA01HU diluted at 1:100 and staining in paraffin-embedded human brain tissue performed on a Leica BondTM system. After dewaxing and hydration, antigen retrieval was mediated by high pressure in a citrate buffer (pH 6.0). Section was blocked with 10% normal goat serum 30min at RT. Then primary antibody (1% BSA) was incubated at 4°C overnight. The primary is detected by a biotinylated secondary antibody and visualized using an HRP conjugated SP system.
-
Immunofluorescence staining of U251 cells with CSB-PA009614OA01HU at 1:50, counter-stained with DAPI. The cells were fixed in 4% formaldehyde, permeabilized using 0.2% Triton X-100 and blocked in 10% normal Goat Serum. The cells were then incubated with the antibody overnight at 4°C. The secondary antibody was Alexa Fluor 488-congugated AffiniPure Goat Anti-Rabbit IgG(H+L).
-
-
其他:
產品詳情
-
產品名稱:Rabbit anti-Homo sapiens (Human) GNG2 Polyclonal antibody
-
Uniprot No.:
-
基因名:
-
別名:G gamma I antibody; G gamma-I antibody; GBG2_HUMAN antibody; GNG 2 antibody; Gng2 antibody; Guanine nucleotide binding protein gamma 2 antibody; Guanine nucleotide-binding protein G(I)/G(S)/G(O) subunit gamma-2 antibody
-
宿主:Rabbit
-
反應種屬:Human
-
免疫原:Peptide sequence from Human Guanine nucleotide-binding protein G(I)/G(S)/G(O) subunit gamma-2 protein (44-62AA)
-
免疫原種屬:Homo sapiens (Human)
-
標記方式:Non-conjugated
本頁面中的產品,GNG2 Antibody (CSB-PA009614OA01HU),的標記方式是Non-conjugated。對于GNG2 Antibody,我們還提供其他標記。見下表:
-
克隆類型:Polyclonal
-
抗體亞型:IgG
-
純化方式:Antigen Affinity Purified
-
濃度:It differs from different batches. Please contact us to confirm it.
-
保存緩沖液:Preservative: 0.03% Proclin 300
Constituents: 50% Glycerol, 0.01M PBS, pH 7.4 -
產品提供形式:Liquid
-
應用范圍:ELISA, IHC, IF
-
推薦稀釋比:
Application Recommended Dilution IHC 1:20-1:200 IF 1:50-1:200 -
Protocols:
-
儲存條件:Upon receipt, store at -20°C or -80°C. Avoid repeated freeze.
-
貨期:Basically, we can dispatch the products out in 1-3 working days after receiving your orders. Delivery time maybe differs from different purchasing way or location, please kindly consult your local distributors for specific delivery time.
-
用途:For Research Use Only. Not for use in diagnostic or therapeutic procedures.
相關產品
靶點詳情
-
功能:Guanine nucleotide-binding proteins (G proteins) are involved as a modulator or transducer in various transmembrane signaling systems. The beta and gamma chains are required for the GTPase activity, for replacement of GDP by GTP, and for G protein-effector interaction.
-
基因功能參考文獻:
- High GNG2 expression is associated with alcoholic hepatitis. PMID: 28818508
- G-protein betagamma subunits are positive regulators of Kv7.4 and native vascular Kv7 channel activity. PMID: 25941381
- Alteration of gene expression profiling including GPR174 and GNG2 is associated with vasovagal syncope. PMID: 25367286
- Data indicate that endogenous mTOR interacts with Gbetagamma. PMID: 24462769
- increased protein expression level of GNG2 alone inhibits proliferation of malignant melanoma cells in vitro and in vivo PMID: 23031273
- presence of Gng2 and Netrin-G2 immunoreactive elements in the insular cortex, but not in the putamen, suggests a possible common ontogeny of the claustrum and insula PMID: 22957104
- Gbetagamma inhibits Epac-induced Ca 2+ elevation in melanoma cells. Cross talk of Ca 2+ signaling between Gbetagamma & Epac plays a major role in melanoma cell migration. PMID: 21679469
- Data implicate the domain I-II linker region as an important contributor to voltage dependent Gbeta1/Ggamma2 modulation of Cav2.2 calcium channels. PMID: 20181083
- Data show that activation of PLCbeta(2) by alpha(q) and beta1gamma2 differ from activation by Rac2 and from each other. PMID: 20007712
- Data show that G protein inhibition of N-type calcium channels is critically dependent on two separate but adjacent approximately 20-amino acid regions of the Gbeta subunit, as examined with Gbetas 1 and 5 and Ggamma2. PMID: 15105422
- 10 genes were down-regulated following treatment of the T-ALL cells with 0.15 and 1.5 microg/mL of metal ores at 72 h PMID: 15747776
- Fission of transport carriers at the trans-Golgi network is dependent on specifically PLCbeta3, which is necessary to activate PKCeta and PKD in that Golgi compartment, via diacylglycerol production. PMID: 17492941
- signaling pathway by which G(i)-coupled receptor specifically induces Rac and Cdc42 activation through direct interaction of Gbetagamma with FLJ00018. PMID: 18045877
顯示更多
收起更多
-
亞細胞定位:Cell membrane; Lipid-anchor; Cytoplasmic side.
-
蛋白家族:G protein gamma family
-
組織特異性:Expressed in fetal tissues, including testis, adrenal gland, brain, white blood cells and brain.
-
數據庫鏈接:
Most popular with customers
-
-
-
-
-
-
-
VDAC1 Recombinant Monoclonal Antibody
Applications: ELISA, WB, IHC
Species Reactivity: Human, Mouse, Rat
-
VCP Recombinant Monoclonal Antibody
Applications: ELISA, WB, IHC, IF, IP
Species Reactivity: Human, Rat















