GNB5 Antibody
-
中文名稱:GNB5兔多克隆抗體
-
貨號:CSB-PA009608LA01HU
-
規格:¥440
-
圖片:
-
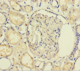
Immunohistochemistry of paraffin-embedded human kidney tissue using CSB-PA009608LA01HU at dilution of 1:100
-
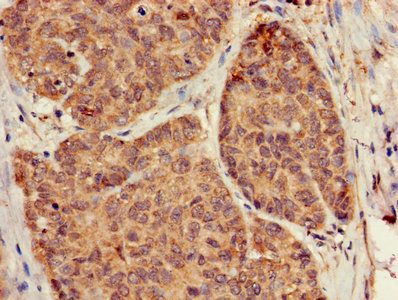
Immunohistochemistry of paraffin-embedded human ovarian cancer using CSB-PA009608LA01HU at dilution of 1:100
-
Immunofluorescent analysis of A549 cells using CSB-PA009608LA01HU at dilution of 1:100 and Alexa Fluor 488-congugated AffiniPure Goat Anti-Rabbit IgG(H+L)
-
-
其他:
產品詳情
-
產品名稱:Rabbit anti-Homo sapiens (Human) GNB5 Polyclonal antibody
-
Uniprot No.:
-
基因名:
-
別名:FLJ37457 antibody; FLJ43714 antibody; G protein beta 5 subunit antibody; G protein beta subunit 5L antibody; GB 5 antibody; GB5 antibody; GBB5_HUMAN antibody; Gbeta5 antibody; GNB 5 antibody; GNB5 antibody; Guanine nucleotide binding protein (G protein) beta 5 antibody; Guanine nucleotide binding protein beta 5 antibody; Guanine nucleotide binding protein beta 5 subunit antibody; Guanine nucleotide binding protein beta subunit 5L antibody; Guanine nucleotide binding protein subunit beta 5 antibody; Guanine nucleotide-binding protein subunit beta-5 antibody; Transducin beta chain 5 antibody
-
宿主:Rabbit
-
反應種屬:Human
-
免疫原:Recombinant Human Guanine nucleotide-binding protein subunit beta-5 protein (1-353AA)
-
免疫原種屬:Homo sapiens (Human)
-
標記方式:Non-conjugated
本頁面中的產品,GNB5 Antibody (CSB-PA009608LA01HU),的標記方式是Non-conjugated。對于GNB5 Antibody,我們還提供其他標記。見下表:
-
克隆類型:Polyclonal
-
抗體亞型:IgG
-
純化方式:>95%, Protein G purified
-
濃度:It differs from different batches. Please contact us to confirm it.
-
保存緩沖液:Preservative: 0.03% Proclin 300
Constituents: 50% Glycerol, 0.01M PBS, PH 7.4 -
產品提供形式:Liquid
-
應用范圍:ELISA, IHC, IF
-
推薦稀釋比:
Application Recommended Dilution IHC 1:20-1:200 IF 1:50-1:200 -
Protocols:
-
儲存條件:Upon receipt, store at -20°C or -80°C. Avoid repeated freeze.
-
貨期:Basically, we can dispatch the products out in 1-3 working days after receiving your orders. Delivery time maybe differs from different purchasing way or location, please kindly consult your local distributors for specific delivery time.
-
用途:For Research Use Only. Not for use in diagnostic or therapeutic procedures.
相關產品
靶點詳情
-
功能:Enhances GTPase-activating protein (GAP) activity of regulator of G protein signaling (RGS) proteins, hence involved in the termination of the signaling initiated by the G protein coupled receptors (GPCRs) by accelerating the GTP hydrolysis on the G-alpha subunits, thereby promoting their inactivation (Probable). Increases RGS9 GTPase-activating protein (GAP) activity, hence contributes to the deactivation of G protein signaling initiated by D(2) dopamine receptors. May play an important role in neuronal signaling, including in the parasympathetic, but not sympathetic, control of heart rate.
-
基因功能參考文獻:
- individuals with loss-of-function GNB5 alleles had more severe symptoms, including substantial developmental delay, speech defects, severe hypotonia, pathological gastro-esophageal reflux, retinal disease, and sinus-node dysfunction, whereas related heterozygotes harboring missense variants presented with a clinically milder phenotype PMID: 27523599
- Results suggest that D2R can interact with and stabilize the Gb5 protein, independently of R7 G protein signaling (RGS) proteins. PMID: 25162404
- The intrinsic resistance to TRAIL-triggered apoptosis of colon cancer cells is overcome by antagonization of Gbeta5. PMID: 25043307
- Type 5 G protein beta subunit (Gbeta5) controls the interaction of regulator of G protein signaling 9 (RGS9) with membrane anchors PMID: 21511947
- Gbeta5's function in vision is reviewed. PMID: 20374718
- under certain conditions, RGS9 and Gbeta5 may possibly function as betagamma dimer PMID: 15474482
- From yeast two hybrid screening with HBX as bait, human guanine nucleotide binding protein beta subunit 5L (GNbeta5) was isolated from the cDNA library constructed in this study as a new hepatitis b X protein-interacting protein. PMID: 16135253
- cytoplasmic RGS7*Gbeta5*R7BP heterotrimers and RGS7*Gbeta5 heterodimers are equivalently inefficient regulators of G protein-coupled receptor signaling relative to plasma membrane-bound heterotrimers bearing palmitoylated R7BP. PMID: 16867977
- G-protein beta5 short splice variant isoform is indispensable for outer plexiform layer integrity and normal light responses of the retina in transgenic mice. PMID: 18094259
- cytosolic chaperonin complex-dependent mechanism exists for Gbeta5-RGS7 assembly that utilizes the co-chaperone activity of PhLP1 in a unique way. PMID: 19376773
顯示更多
收起更多
-
相關疾病:Intellectual developmental disorder with cardiac arrhythmia (IDDCA); Language delay and attention deficit-hyperactivity disorder/cognitive impairment with or without cardiac arrhythmia (LADCI)
-
亞細胞定位:Membrane.
-
蛋白家族:WD repeat G protein beta family
-
組織特異性:Widely expressed.
-
數據庫鏈接:
Most popular with customers
-
-
YWHAB Recombinant Monoclonal Antibody
Applications: ELISA, WB, IHC, IF, FC
Species Reactivity: Human, Mouse, Rat
-
Phospho-YAP1 (S127) Recombinant Monoclonal Antibody
Applications: ELISA, WB, IHC
Species Reactivity: Human
-
-
-
-
-















