GNB2 Antibody
-
中文名稱:GNB2兔多克隆抗體
-
貨號:CSB-PA009604ESR1HU
-
規格:¥440
-
圖片:
-
Western blot
All lanes: GNB2 antibody at 2.22µg/ml
Lane 1: Mouse lung tissue
Lane 2: NIH/3T3 whole cell lysate
Lane 3: Jurkat whole cell lysate
Lane 4: 293T whole cell lysate
Lane 5: Hela whole cell lysate
Secondary
Goat polyclonal to rabbit IgG at 1/10000 dilution
Predicted band size: 38, 26 kDa
Observed band size: 38 kDa -
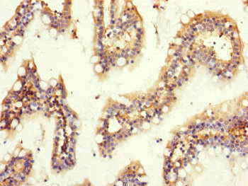
Immunohistochemistry of paraffin-embedded human small intestine tissue using CSB-PA009604ESR1HU at dilution of 1:100
-
-
其他:
產品詳情
-
產品名稱:Rabbit anti-Homo sapiens (Human) GNB2 Polyclonal antibody
-
Uniprot No.:
-
基因名:
-
別名:G protein beta 2 subunit antibody; G protein subunit beta 2 antibody; G protein subunit beta-2 antibody; GBB2_HUMAN antibody; Gnb2 antibody; Gnb2l1 antibody; Guanine nucleotide binding protein beta 2 subunit antibody; Guanine nucleotide binding protein G I G S G T beta 2 subunit 2 antibody; Guanine nucleotide binding protein G protein beta polypeptide 2 antibody; Guanine nucleotide-binding protein G(I)/G(S)/G(T) subunit beta-2 antibody; OTTHUMP00000174601 antibody; OTTHUMP00000174602 antibody; RACK1 antibody; Receptor for activated C kinase antibody; Receptor of activated protein kinase C 1 antibody; Signal transducing guanine nucleotide binding regulatory protein beta antibody; Transducin beta chain 2 antibody
-
宿主:Rabbit
-
反應種屬:Human, Mouse
-
免疫原:Recombinant Human Guanine nucleotide-binding protein G(I)/G(S)/G(T) subunit beta-2 protein (1-340AA)
-
免疫原種屬:Homo sapiens (Human)
-
標記方式:Non-conjugated
-
克隆類型:Polyclonal
-
抗體亞型:IgG
-
純化方式:Antigen Affinity Purified
-
濃度:It differs from different batches. Please contact us to confirm it.
-
保存緩沖液:PBS with 0.02% sodium azide, 50% glycerol, pH7.3.
-
產品提供形式:Liquid
-
應用范圍:ELISA, WB, IHC
-
推薦稀釋比:
Application Recommended Dilution WB 1:1000-1:5000 IHC 1:20-1:200 -
Protocols:
-
儲存條件:Upon receipt, store at -20°C or -80°C. Avoid repeated freeze.
-
貨期:Basically, we can dispatch the products out in 1-3 working days after receiving your orders. Delivery time maybe differs from different purchasing way or location, please kindly consult your local distributors for specific delivery time.
-
用途:For Research Use Only. Not for use in diagnostic or therapeutic procedures.
相關產品
靶點詳情
-
功能:Guanine nucleotide-binding proteins (G proteins) are involved as a modulator or transducer in various transmembrane signaling systems. The beta and gamma chains are required for the GTPase activity, for replacement of GDP by GTP, and for G protein-effector interaction.
-
基因功能參考文獻:
- A GNB2 gene mutation is associated with familial sinus node and atrioventricular conduction dysfunction. PMID: 28219978
- MIF and GNbeta2 interacted with influenza A H1N1 virus PB1-F2 protein. PMID: 23043599
- Results indicate that G protein beta2 (Gbeta2) is required for starvation-induced NF-kappaB activation and constitutive NF-kappaB activity. PMID: 22917497
- We conclude that the Gbetagamma complex interacts with the GR and suppresses its transcriptional activity by associating with the transcriptional complex formed on GR-responsive promoters. PMID: 15955845
- Recombinant Gbetagamma subunits were used to establish that the Gbeta(2)gamma(2) dimer can selectively reconstitute the inhibition of alpha(1H) channels in isolated membrane patches. PMID: 16973746
顯示更多
收起更多
-
亞細胞定位:Cytoplasm, perinuclear region.
-
蛋白家族:WD repeat G protein beta family
-
數據庫鏈接:
Most popular with customers
-
-
YWHAB Recombinant Monoclonal Antibody
Applications: ELISA, WB, IHC, IF, FC
Species Reactivity: Human, Mouse, Rat
-
Phospho-YAP1 (S127) Recombinant Monoclonal Antibody
Applications: ELISA, WB, IHC
Species Reactivity: Human
-
-
-
-
-















