GNAT3 Antibody
-
中文名稱:GNAT3兔多克隆抗體
-
貨號:CSB-PA587164
-
規格:¥1100
-
圖片:
-
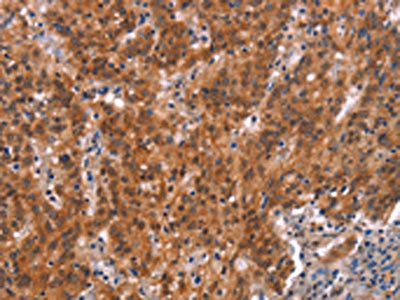
The image on the left is immunohistochemistry of paraffin-embedded Human gastic cancer tissue using CSB-PA587164(GNAT3 Antibody) at dilution 1/15, on the right is treated with synthetic peptide. (Original magnification: ×200)
-
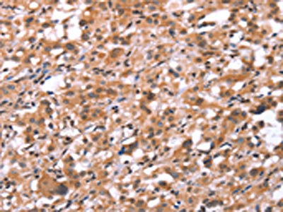
The image on the left is immunohistochemistry of paraffin-embedded Human thyroid cancer tissue using CSB-PA587164(GNAT3 Antibody) at dilution 1/15, on the right is treated with synthetic peptide. (Original magnification: ×200)
-
-
其他:
產品詳情
-
Uniprot No.:
-
基因名:GNAT3
-
別名:GDCA antibody; Ggust antibody; Gnat 3 antibody; GNAT3 antibody; GNAT3_HUMAN antibody; Gtn antibody; Guanine nucleotide binding protein alpha transducing 3 antibody; Guanine nucleotide binding protein G(t) subunit alpha 3 antibody; Guanine nucleotide-binding protein G(t) subunit alpha-3 antibody; Gustducin alpha 3 antibody; Gustducin alpha 3 chain antibody; Gustducin alpha-3 chain antibody
-
宿主:Rabbit
-
反應種屬:Human,Mouse,Rat
-
免疫原:Synthetic peptide of Human GNAT3
-
免疫原種屬:Homo sapiens (Human)
-
標記方式:Non-conjugated
-
抗體亞型:IgG
-
純化方式:Antigen affinity purification
-
濃度:It differs from different batches. Please contact us to confirm it.
-
保存緩沖液:-20°C, pH7.4 PBS, 0.05% NaN3, 40% Glycerol
-
產品提供形式:Liquid
-
應用范圍:ELISA,IHC
-
推薦稀釋比:
Application Recommended Dilution ELISA 1:1000-1:2000 IHC 1:25-1:100 -
Protocols:
-
儲存條件:Upon receipt, store at -20°C or -80°C. Avoid repeated freeze.
-
貨期:Basically, we can dispatch the products out in 1-3 working days after receiving your orders. Delivery time maybe differs from different purchasing way or location, please kindly consult your local distributors for specific delivery time.
-
用途:For Research Use Only. Not for use in diagnostic or therapeutic procedures.
相關產品
靶點詳情
-
功能:Guanine nucleotide-binding protein (G protein) alpha subunit playing a prominent role in bitter and sweet taste transduction as well as in umami (monosodium glutamate, monopotassium glutamate, and inosine monophosphate) taste transduction. Transduction by this alpha subunit involves coupling of specific cell-surface receptors with a cGMP-phosphodiesterase; Activation of phosphodiesterase lowers intracellular levels of cAMP and cGMP which may open a cyclic nucleotide-suppressible cation channel leading to influx of calcium, ultimately leading to release of neurotransmitter. Indeed, denatonium and strychnine induce transient reduction in cAMP and cGMP in taste tissue, whereas this decrease is inhibited by GNAT3 antibody. Gustducin heterotrimer transduces response to bitter and sweet compounds via regulation of phosphodiesterase for alpha subunit, as well as via activation of phospholipase C for beta and gamma subunits, with ultimate increase inositol trisphosphate and increase of intracellular Calcium. GNAT3 can functionally couple to taste receptors to transmit intracellular signal: receptor heterodimer TAS1R2/TAS1R3 senses sweetness and TAS1R1/TAS1R3 transduces umami taste, whereas the T2R family GPCRs act as bitter sensors. Functions also as lumenal sugar sensors in the gut to control the expression of the Na+-glucose transporter SGLT1 in response to dietaty sugar, as well as the secretion of Glucagon-like peptide-1, GLP-1 and glucose-dependent insulinotropic polypeptide, GIP. Thus, may modulate the gut capacity to absorb sugars, with implications in malabsorption syndromes and diet-related disorders including diabetes and obesity.
-
基因功能參考文獻:
- (GNAT3, 11 SNPs) gene, located within the 1-LOD support interval region for their association with MS and its related traits. Several SNPs were associated with MS and its related traits. Remarkably. PMID: 22456541
- The sweet taste receptors (alpha-gustducin and T1R3) are involved in glucose-stimulated secretion of GLP-1 and PYY. PMID: 21324568
- Observational study of gene-disease association. (HuGE Navigator) PMID: 20858777
- Observational study of gene-disease association. (HuGE Navigator) PMID: 20660057
- the alpha-subunit of the taste-specific G protein gustducin is expressed prominently in cells of the human colon PMID: 16728727
- Axonemal-associated localization within the midpiece and principal piece of human spermatozoa raises the possibility that this G protein alpha-subunit may process intracellular signals controlling sperm motility. PMID: 17021831
顯示更多
收起更多
-
亞細胞定位:Cytoplasm. Note=Dual distribution pattern; plasmalemmal pattern with apical region localization and cytosolic pattern with localization throughout the cytoplasm.
-
蛋白家族:G-alpha family, G(i/o/t/z) subfamily
-
組織特異性:Expressed in taste buds (sensory organs of clustered epithelial cells) of the circumvallate and foliate papillae of the tongue at protein level. Expressed in enteroendocrine L cells of the gut. Detected also in spermatozoa.
-
數據庫鏈接:
Most popular with customers
-
-
YWHAB Recombinant Monoclonal Antibody
Applications: ELISA, WB, IHC, IF, FC
Species Reactivity: Human, Mouse, Rat
-
Phospho-YAP1 (S127) Recombinant Monoclonal Antibody
Applications: ELISA, WB, IHC
Species Reactivity: Human
-
-
-
-
-















