GNAT1 Antibody
-
中文名稱:GNAT1兔多克隆抗體
-
貨號:CSB-PA009598LA01HU
-
規格:¥440
-
圖片:
-
Western Blot
Positive WB detected in: Mouse liver tissue
All lanes: GNAT1 antibody at 3μg/ml
Secondary
Goat polyclonal to rabbit IgG at 1/50000 dilution
Predicted band size: 41 kDa
Observed band size: 41 kDa -
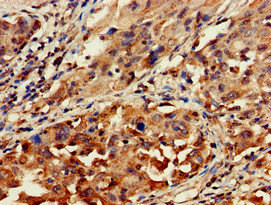
Immunohistochemistry of paraffin-embedded human lung cancer using CSB-PA009598LA01HU at dilution of 1:100
-
Immunofluorescent analysis of Hela cells using CSB-PA009598LA01HU at dilution of 1:100 and Alexa Fluor 488-congugated AffiniPure Goat Anti-Rabbit IgG(H+L)
-
-
其他:
產品詳情
-
產品名稱:Rabbit anti-Homo sapiens (Human) GNAT1 Polyclonal antibody
-
Uniprot No.:
-
基因名:GNAT1
-
別名:CSNBAD3 antibody; GBT1 antibody; GNAT1 antibody; GNAT1_HUMAN antibody; GNATR antibody; guanine nucleotide binding protein (G protein) alpha transducing activity polypeptide 1 antibody; guanine nucleotide binding protein G(T) alpha 1 subunit antibody; Guanine nucleotide-binding protein G(t) subunit alpha-1 antibody; Rod specific transducin antibody; rod-type transducin alpha subunit antibody; Transducin alpha-1 chain antibody; transducin; rod-specific antibody
-
宿主:Rabbit
-
反應種屬:Human, Mouse
-
免疫原:Recombinant Human Guanine nucleotide-binding protein G(t) subunit alpha-1 protein (92-170AA)
-
免疫原種屬:Homo sapiens (Human)
-
標記方式:Non-conjugated
本頁面中的產品,GNAT1 Antibody (CSB-PA009598LA01HU),的標記方式是Non-conjugated。對于GNAT1 Antibody,我們還提供其他標記。見下表:
-
克隆類型:Polyclonal
-
抗體亞型:IgG
-
純化方式:>95%, Protein G purified
-
濃度:It differs from different batches. Please contact us to confirm it.
-
保存緩沖液:Preservative: 0.03% Proclin 300
Constituents: 50% Glycerol, 0.01M PBS, pH 7.4 -
產品提供形式:Liquid
-
應用范圍:ELISA, WB, IHC, IF
-
推薦稀釋比:
Application Recommended Dilution WB 1:500-1:5000 IHC 1:20-1:200 IF 1:50-1:200 -
Protocols:
-
儲存條件:Upon receipt, store at -20°C or -80°C. Avoid repeated freeze.
-
貨期:Basically, we can dispatch the products out in 1-3 working days after receiving your orders. Delivery time maybe differs from different purchasing way or location, please kindly consult your local distributors for specific delivery time.
-
用途:For Research Use Only. Not for use in diagnostic or therapeutic procedures.
相關產品
靶點詳情
-
功能:Functions as signal transducer for the rod photoreceptor RHO. Required for normal RHO-mediated light perception by the retina. Guanine nucleotide-binding proteins (G proteins) function as transducers downstream of G protein-coupled receptors (GPCRs), such as the photoreceptor RHO. The alpha chain contains the guanine nucleotide binding site and alternates between an active, GTP-bound state and an inactive, GDP-bound state. Activated RHO promotes GDP release and GTP binding. Signaling is mediated via downstream effector proteins, such as cGMP-phosphodiesterase.
-
基因功能參考文獻:
- Our family's ERG showed essentially no rod response, consistent with a Danish GNAT1 pedigree but different from the Nougaret GNAT1 pedigree that shows partial preservation of rod signal. A genetic connection between Complete congenital stationary night blindness and postural orthostatic tachycardia syndrome would be intriguing, but we found no evidence for this. PMID: 30051303
- These data suggest that some truncating GNAT1 variants can indeed cause a recessive, mild, late-onset retinal degeneration in human beings rather than just stationary night-blindness as reported previously. PMID: 26472407
- Three candidate tumor-suppressor genes, SEMA3B, AXUD1 and GNAT1 may be involved in oral squamous cell carcinoma. PMID: 23292452
- These data suggest that a homozygous missense mutation in GNAT1 is associated with autosomal recessive stationary night blindness. PMID: 22190596
- Expression of GNAT1 gene is down-regulated or absent in nasopharyngeal carcinoma tissues. PMID: 17222360
顯示更多
收起更多
-
相關疾病:Night blindness, congenital stationary, autosomal dominant 3 (CSNBAD3); Night blindness, congenital stationary, 1G (CSNB1G)
-
亞細胞定位:Cell projection, cilium, photoreceptor outer segment. Membrane; Peripheral membrane protein. Photoreceptor inner segment.
-
蛋白家族:G-alpha family, G(i/o/t/z) subfamily
-
組織特異性:Rod photoreceptor cells. Predominantly expressed in the retina followed by the ciliary body, iris and retinal pigment epithelium.
-
數據庫鏈接:
Most popular with customers
-
YWHAB Recombinant Monoclonal Antibody
Applications: ELISA, WB, IHC, IF, FC
Species Reactivity: Human, Mouse, Rat
-
Phospho-YAP1 (S127) Recombinant Monoclonal Antibody
Applications: ELISA, WB, IHC
Species Reactivity: Human
-
-
-
-
-
-
VDAC1 Recombinant Monoclonal Antibody
Applications: ELISA, WB, IHC
Species Reactivity: Human, Mouse, Rat















