GNA13 Antibody
-
中文名稱:GNA13兔多克隆抗體
-
貨號:CSB-PA101118
-
規格:¥1100
-
圖片:
-
The image on the left is immunohistochemistry of paraffin-embedded Human tonsil tissue using CSB-PA101118(GNA13 Antibody) at dilution 1/30, on the right is treated with fusion protein. (Original magnification: ×200)
-
The image on the left is immunohistochemistry of paraffin-embedded Human gastric cancer tissue using CSB-PA101118(GNA13 Antibody) at dilution 1/30, on the right is treated with fusion protein. (Original magnification: ×200)
-
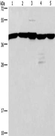
Gel: 15%SDS-PAGE, Lysate: 40 μg, Lane 1-5: A172 cells, 293T cells, mouse kidney tissue, human testis tissue, Human brain malignant glioma tissue, Primary antibody: CSB-PA101118(GNA13 Antibody) at dilution 1/600, Secondary antibody: Goat anti rabbit IgG at 1/8000 dilution, Exposure time: 10 seconds
-
-
其他:
產品詳情
-
Uniprot No.:
-
基因名:
-
別名:G alpha 13 antibody; G alpha-13 antibody; G-protein subunit alpha-13 antibody; GNA13 antibody; GNA13_HUMAN antibody; Guanine nucleotide binding protein (G protein) alpha 13 antibody; Guanine nucleotide binding protein alpha 13 subunit antibody; Guanine nucleotide-binding protein subunit alpha-13 antibody
-
宿主:Rabbit
-
反應種屬:Human,Mouse,Rat
-
免疫原:Fusion protein of Human GNA13
-
免疫原種屬:Homo sapiens (Human)
-
標記方式:Non-conjugated
-
抗體亞型:IgG
-
純化方式:Antigen affinity purification
-
濃度:It differs from different batches. Please contact us to confirm it.
-
保存緩沖液:-20°C, pH7.4 PBS, 0.05% NaN3, 40% Glycerol
-
產品提供形式:Liquid
-
應用范圍:ELISA,WB,IHC
-
推薦稀釋比:
Application Recommended Dilution ELISA 1:2000-1:5000 WB 1:500-1:2000 IHC 1:50-1:200 -
Protocols:
-
儲存條件:Upon receipt, store at -20°C or -80°C. Avoid repeated freeze.
-
貨期:Basically, we can dispatch the products out in 1-3 working days after receiving your orders. Delivery time maybe differs from different purchasing way or location, please kindly consult your local distributors for specific delivery time.
-
用途:For Research Use Only. Not for use in diagnostic or therapeutic procedures.
相關產品
靶點詳情
-
功能:Guanine nucleotide-binding proteins (G proteins) are involved as modulators or transducers in various transmembrane signaling systems. Activates effector molecule RhoA by binding and activating RhoGEFs (ARHGEF1/p115RhoGEF, ARHGEF11/PDZ-RhoGEF and ARHGEF12/LARG). GNA13-dependent Rho signaling subsequently regulates transcription factor AP-1 (activating protein-1). Promotes tumor cell invasion and metastasis by activating RhoA/ROCK signaling pathway. Inhibits CDH1-mediated cell adhesion in process independent from Rho activation.
-
基因功能參考文獻:
- High expression of GNA13 is associated with hepatocellular carcinoma. PMID: 27883022
- The ability of enhanced GNA13 signaling to suppress KLK gene expression appears at least in part due to the ability of enhanced GNA13 signaling to negatively impact Rho/ROCK-signaling. PMID: 27424208
- the selective expression of FZD10 in brain vascular endothelial cells points at a potential role of FZD10-Galpha13 signalling in central nervous system angiogenesis. PMID: 28126591
- The protein profile indicates attenuation of "GNA13-ERK signaling" in schizophrenia brain. In particular, EIF4G2 and CYFIP1, which are located downstream of the GNA13-ERK network, were decreased, suggesting that the attenuation of this signal network may cause impairment of axon formation and synapse plasticity in the brain of schizophrenia patients. PMID: 28214564
- Findings indicate a tumor suppressive role for G protein subunit alpha 13 (Galpha13) and rhoA GTP-binding protein (RhoA) in Burkitt's lymphoma and diffuse large B-cell lymphoma (DLBCL). PMID: 26616858
- Data (including data from studies using transgenic mice) suggest that R7BP-RGS7 heterotrimers interact with Galpha13 to augment signaling pathways in neurons that regulate neurite morphogenesis. (R7BP = RGS7 family binding protein; RGS7 = regulator of G-protein signaling 7 protein; Galpha13 = GTP-binding protein alpha subunit 13) PMID: 28432124
- Upregulation of GNA13 expression increased the proliferation and tumorigenicity of gastric cancer. PMID: 26735177
- Knockdown DDR1 reversed the effects of Galpha13 knockdown on cell-cell adhesion and proteolytic invasion in three-dimensional collagen. PMID: 26589794
- RGS22 acts as a tumor suppressor, repressing human pancreatic adenocarcinoma cell migration by coupling to GNA12/13. PMID: 26323264
- Galpha13 Switch Region 2 Binds to the Talin Head Domain and Activates alphaIIbbeta3 Integrin in Human Platelets PMID: 26292217
- GNA13 expression in breast cancer cells is regulated by post-transcriptional mechanisms involving miR-31. PMID: 25889182
- Data show that N-linked glycosylation of protease-activated receptor-1 (PAR1) at extracellular loop 2 (ECL2) controls G12/13 versus Gq G-proteins coupling specificity in response to thrombin stimulation. PMID: 26100877
- Our findings highlight the important role of miR-29c in regulating CRC EMT via GSK-3b/b-catenin signaling by targeting GNA13 and PTP4A and provide new insights into the metastatic basis of colorectal cancer PMID: 25193986
- These results place Blk upstream of the p190RhoGAP-RhoA pathway in Galpha13-activated cells, overall representing an opposing signaling module during CXCL12-triggered invasion. PMID: 25025568
- findings identify a Galpha13-dependent pathway that exerts dual actions in suppressing growth and blocking dissemination of germinal centre B cells that is frequently disrupted in germinal centre B-cell-derived lymphoma PMID: 25274307
- Findings indicate lysophosphatidic acid (LPA)-lysophosphatidic acid receptor-Galpha13 signaling node as a therapeutic target for pancreatic cancer treatment and control. PMID: 23508014
- Mutation in the Galpha13 gene is associated with diffuse large B-cell lymphoma. PMID: 23699601
- Itk enhances Galpha13 mediated activation of serum response factor (SRF) transcriptional activity dependent on its ability to interact with Galpha13, but its kinase activity is not required to enhance SRF activity. PMID: 23454662
- GNA13 is an important mediator of prostate cancer cell invasion, and miR-182 and miR-200 family members regulate its expression post-transcriptionally PMID: 23329838
- Activation of p115-RhoGEF requires direct association of Galpha13 and the Dbl homology domain. PMID: 22661716
- signaling-selective inhibition of the CXCR4-Galpha(13)-Rho axis prevents the metastatic spread of basal-like breast cancer cells. PMID: 21934106
- alpha subunit of the G protein G13 regulates activity of one or more Gli transcription factors independently of smoothened PMID: 21757753
- Negative regulation of Gq-mediated pathways in platelets by G(12/13) pathways through Fyn kinase PMID: 21592972
- Galpha(12/13) regulate AP-1-dependent CYR61 induction in vascular smooth muscle, promoting migration, and they are upregulated with CYR61 in arteriosclerotic lesions. PMID: 21212405
- A new role is described for Galpha13 as a mediator of chemokine receptor CXCR4 endosomal trafficking in human T cells. PMID: 21148034
- Galpha(12) binds to p120(ctn) and modulates its phosphorylation status through a Rho-independent mechanism. Galpha(12) emerges as an important regulator of p120(ctn) function PMID: 20974127
- Galpha12/13 upregulate matrix metalloproteinase-2 via p53 promoting human breast cell invasion. PMID: 20044778
- G(alpha)(12) and G(alpha)13) exert a complex pattern of nonredundant effects in small cell lung cancer cells PMID: 20160064
- This review gives an overview of Galpha12/13 signaling of G protein-coupled receptors with a focus on RhoGTPase nucleotide exchange factor (RhoGEF) proteins as the immediate mediators of G12/13 activation. PMID: 19226283
- The studies highlighted in this review provide compelling evidence that Galpha12 and Galpha13 play pivotal roles in many aspects of cancer invasion and metastasis. PMID: 19422395
- study demonstrates not only a function of integrin alphaIIbbeta3 as a noncanonical Galpha13-coupled receptor but also a new concept of Galpha13-dependent dynamic regulation of RhoA PMID: 20075254
- Galpha12 and Galpha13 negatively regulate the adhesive functions of cadherin PMID: 11976333
- Galpha13 is not associated with lipid rafts PMID: 12117999
- Galpha13 can induce ppET-1 gene expression through a JNK-mediated pathway. PMID: 12135322
- co-stimulation of G(12/13) and G(i) pathways is sufficient to activate GPIIb/IIIa in human platelets in a mechanism that involves intracellular calcium PMID: 12297512
- These results suggest that protein kinase A blocks Rho activation by phosphorylation of Galpha(13) Thr(203). PMID: 12399457
- Selective activation of Galpha(12) and Galpha(13) by thrombin and LPA, respectively, is determined by the N-terminal short sequences of alpha subunits. PMID: 12594220
- Several features of a typical alpha/RGS interaction are preserved in the alpha(13)/p115RhoGEF interaction. PMID: 15735747
- Galpha13-induced VASP phosphorylation that involves activation of RhoA and MEKK1, phosphorylation and degradation of IkappaB, release of PKA catalytic subunit from the complex with IkappaB and NF-kappaB, and subsequent phosphorylation of VASP PMID: 16046415
- analysis of the molecular mechanism of how the human TXA2 receptor interacts with G alpha 13 to activate intracellular signaling PMID: 16212421
- Estrogen receptor alpha interacts with Galpha13 to drive actin remodeling and endothelial cell migration. PMID: 16601072
- Results identify the G12 family proteins Galpha12 and 13 as important regulators of prostate cancer invasion and suggest that these proteins may be targeted to limit invasion- and metastasis-induced prostate cancer patient mortality. PMID: 16787920
- Galpha13-Rho signaling axis is required for SDF-1-induced migration through CXCR4 PMID: 17056591
- Distinct regions of Galpha13 participate in its regulatory interactions with RGS homology domain-containing RhoGEFs. PMID: 17449226
- analysis of a novel cross-talk exerted from the LPA/Galpha(13)/p115RhoGEF/RhoA pathway to the beta(2)-adrenergic receptor/Galpha(s)/adenylyl cyclase pathway PMID: 17493936
- G alpha(12/13) regulate basal p53 levels via mdm4, which constitutes a cell signaling pathway distinct from p53 phosphorylations elicited by genotoxic stress. PMID: 17510313
- role in regulating ASK1 expression levels PMID: 17595347
- provides first examination of Galpha12 and Galpha13 in the human heart, demonstrating selective activation of human atrial Galpha12 and Galpha13 by endothelin and angiotensin receptors, respectively PMID: 17878759
- A pronounced and rapid translocation of p115-RhoGEF from the cytosol to the plasma membrane was observed upon activation of several G(12/13)-coupled receptors in a cell type-independent fashion. PMID: 18320579
- AC7 is a specific downstream effector of the G(12/13) pathway PMID: 18541530
顯示更多
收起更多
-
亞細胞定位:Cell membrane; Lipid-anchor. Melanosome. Cytoplasm. Nucleus.
-
蛋白家族:G-alpha family, G(12) subfamily
-
組織特異性:Expressed in testis, including in Leydig cells and in the seminiferous epithelium, in differentiating cells from the spermatogonia to mature spermatozoa stages and round spermatids (at protein level). Expressed in 99.2% of spermatozoa from healthy individ
-
數據庫鏈接:
Most popular with customers
-
-
YWHAB Recombinant Monoclonal Antibody
Applications: ELISA, WB, IHC, IF, FC
Species Reactivity: Human, Mouse, Rat
-
Phospho-YAP1 (S127) Recombinant Monoclonal Antibody
Applications: ELISA, WB, IHC
Species Reactivity: Human
-
-
-
-
-















