GLIS3 Antibody
-
中文名稱:GLIS3兔多克隆抗體
-
貨號:CSB-PA839863LA01HU
-
規格:¥440
-
圖片:
-
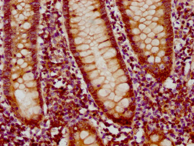
IHC image of CSB-PA839863LA01HU diluted at 1:300 and staining in paraffin-embedded human appendix tissue performed on a Leica BondTM system. After dewaxing and hydration, antigen retrieval was mediated by high pressure in a citrate buffer (pH 6.0). Section was blocked with 10% normal goat serum 30min at RT. Then primary antibody (1% BSA) was incubated at 4°C overnight. The primary is detected by a biotinylated secondary antibody and visualized using an HRP conjugated SP system.
-
Immunofluorescence staining of A549 cells with CSB-PA839863LA01HU at 1:100, counter-stained with DAPI. The cells were fixed in 4% formaldehyde, permeabilized using 0.2% Triton X-100 and blocked in 10% normal Goat Serum. The cells were then incubated with the antibody overnight at 4°C. The secondary antibody was Alexa Fluor 488-congugated AffiniPure Goat Anti-Rabbit IgG(H+L).
-
-
其他:
產品詳情
-
產品名稱:Rabbit anti-Homo sapiens (Human) GLIS3 Polyclonal antibody
-
Uniprot No.:
-
基因名:GLIS3
-
別名:GLIS3 antibody; ZNF515 antibody; Zinc finger protein GLIS3 antibody; GLI-similar 3 antibody; Zinc finger protein 515 antibody
-
宿主:Rabbit
-
反應種屬:Human
-
免疫原:Recombinant Human Zinc finger protein GLIS3 protein (527-663AA)
-
免疫原種屬:Homo sapiens (Human)
-
標記方式:Non-conjugated
本頁面中的產品,GLIS3 Antibody (CSB-PA839863LA01HU),的標記方式是Non-conjugated。對于GLIS3 Antibody,我們還提供其他標記。見下表:
-
克隆類型:Polyclonal
-
抗體亞型:IgG
-
純化方式:>95%, Protein G purified
-
濃度:It differs from different batches. Please contact us to confirm it.
-
保存緩沖液:Preservative: 0.03% Proclin 300
Constituents: 50% Glycerol, 0.01M PBS, pH 7.4 -
產品提供形式:Liquid
-
應用范圍:ELISA, IHC, IF
-
推薦稀釋比:
Application Recommended Dilution IHC 1:200-1:500 IF 1:50-1:200 -
Protocols:
-
儲存條件:Upon receipt, store at -20°C or -80°C. Avoid repeated freeze.
-
貨期:Basically, we can dispatch the products out in 1-3 working days after receiving your orders. Delivery time maybe differs from different purchasing way or location, please kindly consult your local distributors for specific delivery time.
-
用途:For Research Use Only. Not for use in diagnostic or therapeutic procedures.
相關產品
靶點詳情
-
功能:Acts as both a repressor and activator of transcription. Binds to the consensus sequence 5'-GACCACCCAC-3'.
-
基因功能參考文獻:
- Data show that loss of zinc finger protein GLIS3 (GLIS3) causes beta-cell death. PMID: 29992946
- Data did not show any associations of GLI similar 3 protein (GLIS3) gene polymorphisms rs806052, rs143051164, and rs149840771 with carbohydrate metabolism disorders among patients with maturity onset diabetes of the young (MODY) and type 2 diabetes mellitus (DM2) in Russia. PMID: 29606121
- Individually the rs7020673 and rs10758593 SNPs are not significantly associated with T1DM but seem to interact in the predisposition for this disease. PMID: 28597135
- Given the role of GLIS3 in transcriptional activation and repression during embryogenesis, in humans, GLIS3 mutations present with multisystem involvement that also includes renal cystic dysplasia, progressive liver fibrosis and osteopenia. Thyroid findings in GLIS3 patients include thyroid aplasia, diminished colloid with interstitial fibrosis at post-mortem.[review] PMID: 28648506
- GLIS3 polymorphism is not associated with Dermatomyositis /Polymyositis in the Chinese Han population PMID: 28846454
- we describe the common facial dysmorphism consisting of bilateral low-set ears, depressed nasal bridge with overhanging columella, elongated, upslanted palpebral fissures, persistent long philtrum with a thin vermilion border of the upper lip in a cohort of seven patients with GLIS3 mutations and report the emergence of a distinct, probably recognizable facial gestalt in this group which evolves with age. PMID: 27148679
- It may play a role in a number of physiological processes controlled by Glis3. PMID: 26147758
- New findings with GLIS3 phenotype including craniosynostosis, hiatus hernia, atrial septal defect, splenic cyst, and choanal atresia and confirm further cases with sensorineural deafness and exocrine pancreatic insufficiency. PMID: 26259131
- analysis of a GLIS3 variant that may have a role in resistance to Japanese type 1 diabetes PMID: 23856252
- The present data suggest that altered expression of the candidate gene GLIS3 may contribute to both type 1 and 2 type diabetes by favouring beta cell apoptosis PMID: 23737756
- Alleles of single nucleotide polymorphisms in GLIS3 and ADCY5 may confer risk of type 2 diabetes. PMID: 21949744
- the associations of GLIS3-rs7034200 and CRY2-rs11605924 with fasting glucose, beta cell function, and type 2 diabetes PMID: 21747906
- Glis3 interacts with Suppressor of Fused (SUFU) PMID: 21543335
- results demonstrate a major role for GLIS3 in the development of pancreatic beta cells and the thyroid, eye, liver and kidney PMID: 16715098
顯示更多
收起更多
-
相關疾病:Diabetes mellitus, neonatal, with congenital hypothyroidism (NDH)
-
亞細胞定位:Nucleus.
-
蛋白家族:GLI C2H2-type zinc-finger protein family
-
組織特異性:In the adult, expressed at high levels in the kidney and at lower levels in the brain, skeletal muscle, pancreas, liver, lung, thymus and ovary.
-
數據庫鏈接:
Most popular with customers
-
YWHAB Recombinant Monoclonal Antibody
Applications: ELISA, WB, IHC, IF, FC
Species Reactivity: Human, Mouse, Rat
-
Phospho-YAP1 (S127) Recombinant Monoclonal Antibody
Applications: ELISA, WB, IHC
Species Reactivity: Human
-
-
-
-
-
-















