GLIPR2 Antibody
-
中文名稱:GLIPR2兔多克隆抗體
-
貨號:CSB-PA880974LA01HU
-
規格:¥440
-
圖片:
-
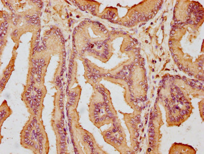
IHC image of CSB-PA880974LA01HU diluted at 1:600 and staining in paraffin-embedded human prostate tissue performed on a Leica BondTM system. After dewaxing and hydration, antigen retrieval was mediated by high pressure in a citrate buffer (pH 6.0). Section was blocked with 10% normal goat serum 30min at RT. Then primary antibody (1% BSA) was incubated at 4°C overnight. The primary is detected by a biotinylated secondary antibody and visualized using an HRP conjugated SP system.
-
-
其他:
產品詳情
-
產品名稱:Rabbit anti-Homo sapiens (Human) GLIPR2 Polyclonal antibody
-
Uniprot No.:
-
基因名:GLIPR2
-
別名:5730414A08Rik antibody; C77180 antibody; C9orf19 antibody; GAPR 1 antibody; GAPR-1 antibody; GAPR1_HUMAN antibody; GLI pathogenesis related 2 antibody; Glioma pathogenesis related protein 2 antibody; Glioma pathogenesis-related protein 2 antibody; GliPR 2 antibody; GLIPR2 antibody; Golgi associated plant pathogenesis related protein 1 antibody; Golgi associated PR 1 protein antibody; Golgi-associated plant pathogenesis-related protein 1 antibody; Golgi-associated PR-1 protein antibody; OTTMUSP00000007558 antibody; RP11-421H8.5 antibody; RP23-209M8.2 antibody
-
宿主:Rabbit
-
反應種屬:Human
-
免疫原:Recombinant Human Golgi-associated plant pathogenesis-related protein 1 protein (2-85AA)
-
免疫原種屬:Homo sapiens (Human)
-
標記方式:Non-conjugated
本頁面中的產品,GLIPR2 Antibody (CSB-PA880974LA01HU),的標記方式是Non-conjugated。對于GLIPR2 Antibody,我們還提供其他標記。見下表:
-
克隆類型:Polyclonal
-
抗體亞型:IgG
-
純化方式:>95%, Protein G purified
-
濃度:It differs from different batches. Please contact us to confirm it.
-
保存緩沖液:Preservative: 0.03% Proclin 300
Constituents: 50% Glycerol, 0.01M PBS, PH 7.4 -
產品提供形式:Liquid
-
應用范圍:ELISA, IHC
-
推薦稀釋比:
Application Recommended Dilution IHC 1:500-1:1000 -
Protocols:
-
儲存條件:Upon receipt, store at -20°C or -80°C. Avoid repeated freeze.
-
貨期:Basically, we can dispatch the products out in 1-3 working days after receiving your orders. Delivery time maybe differs from different purchasing way or location, please kindly consult your local distributors for specific delivery time.
-
用途:For Research Use Only. Not for use in diagnostic or therapeutic procedures.
相關產品
靶點詳情
-
基因功能參考文獻:
- Here, sequence analyses, structural modeling, mutagenesis combined with pull-down assays, X-ray crystal structure determination and small-angle X-ray scattering were used to investigate the Beclin 1-GAPR-1 interaction. changes in the structure of the equatorial groove combined with the improved dimerization of pentad mutant GAPR-1 are likely to abrogate binding to Beclin 1. PMID: 28876241
- This study identified a previously unrecognized role for GAPR-1 to control a unifying TLR4 signaling complex and to regulate type I Interferon signaling activation. PMID: 26678074
- Hypoxia promotes epithelial-mesenchymal transition of hepatocellular carcinoma cells via inducing GLIPR-2 expression. PMID: 24204846
- GLIPR-2 overexpression in HK-2 cells can potentiate EMT-like processes in this cell type through the ERK1/2 signaling pathway PMID: 23516513
- the charge properties of the lipid bilayer can regulate GAPR-1 dynamics as a potential mechanism to modulate GAPR-1 function PMID: 22560898
顯示更多
收起更多
-
亞細胞定位:Golgi apparatus membrane; Lipid-anchor. Note=Binds lipid-enriched microdomains of Golgi membranes not only by ionic interactions but also through the myristate.
-
蛋白家族:CRISP family
-
組織特異性:Highest expression in lung and peripheral leukocytes, and minor expression in liver and kidney.
-
數據庫鏈接:
Most popular with customers
-
-
YWHAB Recombinant Monoclonal Antibody
Applications: ELISA, WB, IHC, IF, FC
Species Reactivity: Human, Mouse, Rat
-
Phospho-YAP1 (S127) Recombinant Monoclonal Antibody
Applications: ELISA, WB, IHC
Species Reactivity: Human
-
-
-
-
-















