GLI2 Antibody
-
中文名稱:GLI2兔多克隆抗體
-
貨號:CSB-PA009500OA01HU
-
規格:¥440
-
圖片:
-
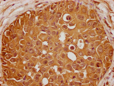
IHC image of CSB-PA009500OA01HU diluted at 1:100 and staining in paraffin-embedded human breast cancer performed on a Leica BondTM system. After dewaxing and hydration, antigen retrieval was mediated by high pressure in a citrate buffer (pH 6.0). Section was blocked with 10% normal goat serum 30min at RT. Then primary antibody (1% BSA) was incubated at 4°C overnight. The primary is detected by a biotinylated secondary antibody and visualized using an HRP conjugated SP system.
-
Western Blot
Positive WB detected in: SH-SY5Y whole cell lysate, A549 whole cell lysate
All lanes: GLI2 antibody at 1:1000
Secondary
Goat polyclonal to rabbit IgG at 1/50000 dilution
Predicted band size: 168, 134, 132, 89, 87 kDa
Observed band size: 168 kDa
-
-
其他:
產品詳情
-
產品名稱:Rabbit anti-Homo sapiens (Human) GLI2 Polyclonal antibody
-
Uniprot No.:
-
基因名:
-
別名:CJS antibody; Gli 2 antibody; GLI family zinc finger 2 antibody; GLI Kruppel family member GLI2 antibody; GLI2 antibody; GLI2_HUMAN antibody; Glioma associated oncogene family zinc finger antibody; HPE9 antibody; Oncogene GLI2 antibody; PHS2 antibody; Tax helper protein 1 antibody; Tax helper protein 2 antibody; Tax helper protein antibody; Tax responsive element 2 holding protein antibody; Tax responsive element 25 bp sequence binding protein antibody; THP antibody; THP1 antibody; THP2 antibody; Zinc finger protein GLI2 antibody
-
宿主:Rabbit
-
反應種屬:Human
-
免疫原:Peptide sequence from Human Zinc finger protein GLI2 protein (2-20AA)
-
免疫原種屬:Homo sapiens (Human)
-
標記方式:Non-conjugated
本頁面中的產品,GLI2 Antibody (CSB-PA009500OA01HU),的標記方式是Non-conjugated。對于GLI2 Antibody,我們還提供其他標記。見下表:
-
克隆類型:Polyclonal
-
抗體亞型:IgG
-
純化方式:Antigen Affinity Purified
-
濃度:It differs from different batches. Please contact us to confirm it.
-
保存緩沖液:Preservative: 0.03% Proclin 300
Constituents: 50% Glycerol, 0.01M PBS, pH 7.4 -
產品提供形式:Liquid
-
應用范圍:ELISA, WB, IHC
-
推薦稀釋比:
Application Recommended Dilution WB 1:500-1:2000 IHC 1:20-1:200 -
Protocols:
-
儲存條件:Upon receipt, store at -20°C or -80°C. Avoid repeated freeze.
-
貨期:Basically, we can dispatch the products out in 1-3 working days after receiving your orders. Delivery time maybe differs from different purchasing way or location, please kindly consult your local distributors for specific delivery time.
-
用途:For Research Use Only. Not for use in diagnostic or therapeutic procedures.
相關產品
靶點詳情
-
功能:Functions as transcription regulator in the hedgehog (Hh) pathway. Functions as transcriptional activator. May also function as transcriptional repressor. Requires STK36 for full transcriptional activator activity. Required for normal embryonic development.; Involved in the smoothened (SHH) signaling pathway.; Involved in the smoothened (SHH) signaling pathway.; Involved in the smoothened (SHH) signaling pathway.; Involved in the smoothened (SHH) signaling pathway.; Acts as a transcriptional activator in T-cell leukemia virus type 1 (HTLV-1)-infected cells in a Tax-dependent manner. Binds to the DNA sequence 5'-GAACCACCCA-3' which is part of the Tax-responsive element (TRE-2S) regulatory element that augments the Tax-dependent enhancer of HTLV-1.; (Microbial infection) Acts as a transcriptional activators in T-cell leukemia virus type 1 (HTLV-1)-infected cells in a Tax-dependent manner. Binds to the DNA sequence 5'-GAACCACCCA-3' which is part of the Tax-responsive element (TRE-2S) regulatory element that augments the Tax-dependent enhancer of HTLV-1.; (Microbial infection) Acts as a transcriptional activators in T-cell leukemia virus type 1 (HTLV-1)-infected cells in a Tax-dependent manner. Binds to the DNA sequence 5'-GAACCACCCA-3' which is part of the Tax-responsive element (TRE-2S) regulatory element that augments the Tax-dependent enhancer of HTLV-1.; (Microbial infection) Acts as a transcriptional activators in T-cell leukemia virus type 1 (HTLV-1)-infected cells in a Tax-dependent manner. Binds to the DNA sequence 5'-GAACCACCCA-3' which is part of the Tax-responsive element (TRE-2S) regulatory element that augments the Tax-dependent enhancer of HTLV-1.; Acts as a transcriptional repressor.
-
基因功能參考文獻:
- Importantly, high expression levels of HIF-1alpha/TGF-beta2/GLI2 correlated robustly with the patient relapse following chemotherapy, highlighting a potential biomarker and therapeutic target for chemoresistance in colorectal cancer. PMID: 29891662
- Study found increased expression of GLI2 in osteosarcoma tissues and cell lines and determined that GLI2 is a target of miR-141-3p. PMID: 29251328
- In conclusion, our data suggest that overexpression of the Hedgehog components SHH, GLI2 and FOXA2 might be used as markers of an aggressive hemangioma. PMID: 28370639
- High GLI2 or PDGFRB expression is associated with unfavorable survival in GC patients. GLI2 can induce PDGFRB expression in GC cells via directly binding to its promoter. In addition, the GLI2-PDGFRB axis might be an important signaling pathway modulating CSC properties of GC cells. PMID: 28975979
- Study report that compromised CSL function depends on GLI activation for conversion of human dermal fibroblasts into CAFs, separately from cellular senescence. Decreased CSL upregulates the expression of the ULK3 kinase, which binds and activates GLI2. PMID: 28877478
- The authors found that hepatitis C virus derived from hepatitis C patients infected and directly induced the trans-differentiation of human primary fibroblasts into myofibroblasts, promoting fibrogenesis. This effect correlated with the activation of GLI2, one of the targets of Hedgehog signaling pathway previously reported to be involved in myofibroblast generation. PMID: 27476557
- role of GLI2-ABCG2 signaling axis for 5Fu resistance in gastric cancer PMID: 28847472
- This study showed associations of anorectal malformations with rs3738880 in GLI2 and with previous miscarriages. PMID: 28057877
- High GLI2 expression is associated with hepatocellular carcinoma. PMID: 27036048
- our findings demonstrate that multiple signaling pathways converge on Gli2 to mediate PTHrP expression and bony invasion, highlighting Gli2 as a therapeutic target to prevent bony invasion in OSCC. PMID: 27738315
- the effect gene of the Shh pathway, gli1, was found to have a reduced level of expression along with a decreased expression of gli2. PMID: 26446020
- High Gli2 expression is associated with non-small cell lung cancer. PMID: 26936993
- GLI2 is a dosage-sensitive gene that may be responsible for the agenesis of corpus callosum observed in the proband. PMID: 27346851
- Data suggest that Nrp1 (neuropilin-1) regulates Hedgehog signaling specifically at the level of activation of GLI2 transcriptional activator function; Nrp1 localization to primary cilium does not correlate with Hedgehog signal promotion. These studies were conducted in various cell types. PMID: 28667171
- studies identify a novel molecular mechanism of regulation of CD40L by the transcription factor GLI2 in the tumor microenvironment downstream of CCR3 signaling PMID: 28461568
- the data suggest that CCRK positively regulates the kinetics by which ciliary proteins such as Smoothened and Gli2 are imported into the cilium, and that the efficiency of ciliary recruitment allows for potent responses to Hedgehog signaling over long time periods. PMID: 28817564
- GLI2 is a regulator of beta-catenin and provides insights into its role in tumorigenesis. PMID: 28300597
- bioinformatics analysis and luciferase reporter assay predicted the direct binding to miR-125b-5p, which has been reported to function as a tumor suppressor in osteosarcoma. Furthermore, functional experiments validated that cir-GLI2 exerted the tumor-promoting effects on osteosarcoma cells via negatively targeting miR-125b-5p. PMID: 28695772
- These results demonstrate that miR-124 is an important downstream target gene of Hh signaling, and the Gli2/miR-124/AURKA axis is essential for the proliferation and growth of human glioma cells. PMID: 28393219
- in trophoblasts, GLI2 not only directly bound to the promoter region of gene hsd11b2 to transactivate hsd11b2 but also formed a heterodimer with RNA polymerase II, resulting in up-regulation of hsd11b2 gene transcription PMID: 27379371
- GLI2 was identified as a crucial downstream mediator of the pro-fibrotic effects of TGF-beta. PMID: 27793816
- this study shows that Gli2 expression was more often positive in advanced non-small-cell lung carcinoma patients refractory to platinum-based chemotherapy PMID: 26762562
- Beclin-1 acts as a tumor suppressor by regulating the hedgehog (HH) signaling pathway through Gli2 expression in gastric adenocarcinoma. PMID: 25512258
- Overexpression of GLI2 is associated with osteosarcoma progression. PMID: 27460090
- MALAT1 promotes gastric cancer proliferation and progression. MALAT1 is a direct target of miR-202 and knockdown of MALAT1 significantly decreases the expression of Gli2 by negatively regulating miR-202. PMID: 27887846
- the GLI2 gene may be one of the candidate genes to analyze when an association of pituitary hormone deficiency and developmental defects in posterior pituitary gland. The highly variable phenotype found suggests the presence of additional unknown factors that could contribute to the phenotype observed in these patients. PMID: 27576279
- the GLI2 protein level could serve as a feasible marker of ligand-dependent hedgehog activation in pancreatic neoplasms. PMID: 27543868
- ALDH1A1 stabilizes the Gli2 protein in an enzyme-independent manner in hepatocellular cancer. PMID: 26896768
- GLI2 stabilized glial cell missing-a, a pivotal transcriptional factor for trophoblastic syncytialization. PMID: 26769961
- The results do not support our hypothesis that common germline genetic variants in the GLI2 genes is associated with the risk of developing medulloblastoma. PMID: 26290144
- GLI2 mutations typically result in pituitary anomalies with or without postaxial polydactyly. PMID: 25974718
- Serum starvation significantly up-regulated the expression of Gli1, which in turn increased its key target cIAP2 expression and enhanced NF-kappaB/cIAP2 pathway, resulting in promoting cell survival under serum starvation PMID: 26182949
- the JQ1-resistant cells remain dependent on c-MYC that now becomes co-regulated by high levels of GLI2 PMID: 25807524
- A relatively high frequency of GLI2 mutations occur in patients with congenital growth hormone deficiency. [Review] PMID: 25878059
- hsa-miR-665 and hsa-miR-95 were downregulated in GSRCC but upregulated in intestinal gastric adenocarcinoma, and the relatively differential expression of the miRNAs negatively controlling their target genes, GLI2 and PLCG1 PMID: 25964059
- during vertebrate history GLI2 acquired a high level of complexity in the genetic mechanisms regulating its expression during spatiotemporal patterning of the central nervous system (CNS) and limbs. PMID: 25715918
- This family confirms the incomplete penetrance of genomic disturbances affecting the GLI2 gene. However, the family presented here is unique as none of the three identified individuals with a GLI2 deletion showed any typical signs of holoprosencephaly PMID: 25820550
- We genotyped the SLC6A4 5-HTTLPR (rs4795541, rs25531) and TPH2 1125A>T (rs4290270) variants and evaluated their role in moderating disulfiram treatment for cocaine dependence. PMID: 22925276
- miR-218 and its downstream target Gli2, as well as E-cadherin, participate in the anti-invasion process PMID: 25694126
- GLI2 forms part of a core HH pathway transcriptional regulatory network that promotes human myeloid leukemic progression and dormant LSC generation PMID: 25889765
- SPOP plays critical roles in suppressing gastric tumorigenesis through inhibiting Hh/Gli2 signaling pathway. It may provide an alternative strategy for developing therapeutic agents of gastric cancer in future. PMID: 25204354
- Gli2 silencing enhances TRAIL-induced apoptosis and reduces tumor growth in human hepatoma cells in vivo. PMID: 25535898
- results indicate that miR-202 acts as a novel tumor suppressor to regulate OS cell proliferation and apoptosis through downregulating Gli2 expression. PMID: 25156120
- GLI2 regulated metastasis as well as the progression of osteosarcomas. PMID: 25082385
- The 14-3-3zeta-driven contextual changes of Smad partners from p53 to Gli2 may serve as biomarkers and therapeutic targets of TGF-beta-mediated cancer progression PMID: 25670079
- Report shows that GLI2 is the novel target gene of DeltaNp63alpha and that DeltaNp63alpha-GLI2 crosstalk in osteosarcoma cells is a necessary event in osteosarcoma progression. PMID: 25085524
- Increased GLI2 expression is associated with osteosarcoma invasion. PMID: 25449781
- Individuals with truncating mutations in GLI2 typically present with pituitary anomalies, polydactyly and subtle facial features rather than holoprosencephaly PMID: 24744436
- High Gli2 expression is associated with bone destruction in lung and breast cancer. PMID: 25359619
- Our studies demonstrate an important role for GLI2 in Lung squamous cell carcinoma PMID: 24423612
顯示更多
收起更多
-
相關疾病:Holoprosencephaly 9 (HPE9); Culler-Jones syndrome (CJS)
-
亞細胞定位:Nucleus. Cytoplasm. Cell projection, cilium.; [Isoform 1]: Nucleus.; [Isoform 2]: Nucleus.
-
蛋白家族:GLI C2H2-type zinc-finger protein family
-
組織特異性:Expressed in breast cancers (at protein level). Isoform 1 and isoform 4 are expressed in HTLV-1-infected T-cell lines (at protein level). Isoform 1 and isoform 2 are strongly expressed in HTLV-1-infected T-cell lines. Isoform 3 and isoform 4 are weakly ex
-
數據庫鏈接:
Most popular with customers
-
-
YWHAB Recombinant Monoclonal Antibody
Applications: ELISA, WB, IHC, IF, FC
Species Reactivity: Human, Mouse, Rat
-
Phospho-YAP1 (S127) Recombinant Monoclonal Antibody
Applications: ELISA, WB, IHC
Species Reactivity: Human
-
-
-
-
-















