GK Antibody
-
中文名稱:GK兔多克隆抗體
-
貨號:CSB-PA209664
-
規格:¥1100
-
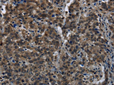
圖片:
-
The image on the left is immunohistochemistry of paraffin-embedded Human colon cancer tissue using CSB-PA209664(GK Antibody) at dilution 1/60, on the right is treated with fusion protein. (Original magnification: ×200)
-
The image on the left is immunohistochemistry of paraffin-embedded Human liver cancer tissue using CSB-PA209664(GK Antibody) at dilution 1/60, on the right is treated with fusion protein. (Original magnification: ×200)
-
-
其他:
產品詳情
-
Uniprot No.:
-
基因名:
-
別名:ATP glycerol 3 phosphotransferase antibody; ATP:glycerol 3 phosphotransferase antibody; ATP:glycerol 3-phosphotransferase antibody; D930012N15Rik antibody; GK antibody; GK1 antibody; GKD antibody; GLPK_HUMAN antibody; Glycerokinase antibody; Glycerol kinase antibody; OTTHUMP00000023108 antibody; OTTHUMP00000023109 antibody; OTTHUMP00000215321 antibody
-
宿主:Rabbit
-
反應種屬:Human,Mouse,Rat
-
免疫原:Fusion protein of Human GK
-
免疫原種屬:Homo sapiens (Human)
-
標記方式:Non-conjugated
-
抗體亞型:IgG
-
純化方式:Antigen affinity purification
-
濃度:It differs from different batches. Please contact us to confirm it.
-
保存緩沖液:-20°C, pH7.4 PBS, 0.05% NaN3, 40% Glycerol
-
產品提供形式:Liquid
-
應用范圍:ELISA,IHC
-
推薦稀釋比:
Application Recommended Dilution ELISA 1:2000-1:10000 IHC 1:100-1:300 -
Protocols:
-
儲存條件:Upon receipt, store at -20°C or -80°C. Avoid repeated freeze.
-
貨期:Basically, we can dispatch the products out in 1-3 working days after receiving your orders. Delivery time maybe differs from different purchasing way or location, please kindly consult your local distributors for specific delivery time.
-
用途:For Research Use Only. Not for use in diagnostic or therapeutic procedures.
相關產品
靶點詳情
-
功能:Key enzyme in the regulation of glycerol uptake and metabolism.
-
基因功能參考文獻:
- Both patients were found to have Xp21.2 deletions involving all coding seqeunces of the glycerol kinase (GK) gene. PMID: 27087023
- Two siblings with the contiguous X-linked gene deletion syndrome, complex glycerol kinase deficiency, are described. The elder sibling demonstrates the difficulties diagnosing this rare condition. PMID: 20110216
- missense mutations and deletions in glycerol kinase is associated with persistent hypertriglyceridemia PMID: 12636049
- a functional HNF-4alpha binding site in the first 500 bp of the 5(') upstream region is important for increased levels of glycerol kinase expression PMID: 14654354
- Comparison of expression patterns, as well as enzymatic characteristics and subcellular localization of alternatively spliced glycerol kinase isoforms. PMID: 15845384
- Results suggest that influences on RNA processing and protein stability represent modifiers of the glycerol kinase deficiency phenotype. PMID: 16549535
顯示更多
收起更多
-
相關疾病:Glycerol kinase deficiency (GKD)
-
亞細胞定位:Mitochondrion outer membrane; Peripheral membrane protein; Cytoplasmic side. Cytoplasm. Note=In sperm and fetal tissues, the majority of the enzyme is bound to mitochondria, but in adult tissues, such as liver found in the cytoplasm.
-
蛋白家族:FGGY kinase family
-
組織特異性:Highly expressed in the liver, kidney and testis. Isoform 2 and isoform 3 are expressed specifically in testis and fetal liver, but not in the adult liver.
-
數據庫鏈接:
Most popular with customers
-
-
YWHAB Recombinant Monoclonal Antibody
Applications: ELISA, WB, IHC, IF, FC
Species Reactivity: Human, Mouse, Rat
-
Phospho-YAP1 (S127) Recombinant Monoclonal Antibody
Applications: ELISA, WB, IHC
Species Reactivity: Human
-
-
-
-
-















