GJD2 Antibody
-
中文名稱:GJD2兔多克隆抗體
-
貨號:CSB-PA891536LA01HU
-
規格:¥440
-
圖片:
-
Western Blot
Positive WB detected in: U87 whole cell lysate
All lanes: GJD2 antibody at 3.2µg/ml
Secondary
Goat polyclonal to rabbit IgG at 1/50000 dilution
Predicted band size: 37 kDa
Observed band size: 37 kDa -
IHC image of CSB-PA891536LA01HU diluted at 1:500 and staining in paraffin-embedded human lung tissue performed on a Leica BondTM system. After dewaxing and hydration, antigen retrieval was mediated by high pressure in a citrate buffer (pH 6.0). Section was blocked with 10% normal goat serum 30min at RT. Then primary antibody (1% BSA) was incubated at 4°C overnight. The primary is detected by a biotinylated secondary antibody and visualized using an HRP conjugated SP system.
-
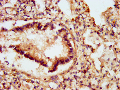
IHC image of CSB-PA891536LA01HU diluted at 1:500 and staining in paraffin-embedded human endometrial cancer performed on a Leica BondTM system. After dewaxing and hydration, antigen retrieval was mediated by high pressure in a citrate buffer (pH 6.0). Section was blocked with 10% normal goat serum 30min at RT. Then primary antibody (1% BSA) was incubated at 4°C overnight. The primary is detected by a biotinylated secondary antibody and visualized using an HRP conjugated SP system.
-
Immunofluorescence staining of Hela cells with CSB-PA891536LA01HU at 1:166, counter-stained with DAPI. The cells were fixed in 4% formaldehyde, permeabilized using 0.2% Triton X-100 and blocked in 10% normal Goat Serum. The cells were then incubated with the antibody overnight at 4°C. The secondary antibody was Alexa Fluor 488-congugated AffiniPure Goat Anti-Rabbit IgG(H+L).
-
-
其他:
產品詳情
-
產品名稱:Rabbit anti-Homo sapiens (Human) GJD2 Polyclonal antibody
-
Uniprot No.:
-
基因名:
-
別名:GJD2; GJA9; Gap junction delta-2 protein; Connexin-36; Cx36; Gap junction alpha-9 protein
-
宿主:Rabbit
-
反應種屬:Human
-
免疫原:Recombinant Human Gap junction delta-2 protein (99-197AA)
-
免疫原種屬:Homo sapiens (Human)
-
標記方式:Non-conjugated
本頁面中的產品,GJD2 Antibody (CSB-PA891536LA01HU),的標記方式是Non-conjugated。對于GJD2 Antibody,我們還提供其他標記。見下表:
-
克隆類型:Polyclonal
-
抗體亞型:IgG
-
純化方式:>95%, Protein G purified
-
濃度:It differs from different batches. Please contact us to confirm it.
-
保存緩沖液:Preservative: 0.03% Proclin 300
Constituents: 50% Glycerol, 0.01M PBS, pH 7.4 -
產品提供形式:Liquid
-
應用范圍:ELISA, WB, IHC, IF
-
推薦稀釋比:
Application Recommended Dilution WB 1:500-1:5000 IHC 1:500-1:1000 IF 1:50-1:200 -
Protocols:
-
儲存條件:Upon receipt, store at -20°C or -80°C. Avoid repeated freeze.
-
貨期:Basically, we can dispatch the products out in 1-3 working days after receiving your orders. Delivery time maybe differs from different purchasing way or location, please kindly consult your local distributors for specific delivery time.
-
用途:For Research Use Only. Not for use in diagnostic or therapeutic procedures.
相關產品
靶點詳情
-
功能:One gap junction consists of a cluster of closely packed pairs of transmembrane channels, the connexons, through which materials of low MW diffuse from one cell to a neighboring cell.
-
基因功能參考文獻:
- a possible contribution of connexin 36 to amyotrophic lateral sclerosis pathogenesis PMID: 29246791
- Our findings suggest that the stimulatory effect of hexanol and isoflurane on Cx36 gap junction conductance could be achieved by re-shuffling of the inter-subunit disulphide bond between C264 and C92 to the intra-subunit one between C264 and C87. PMID: 29298877
- Our studies have shown that the heritability of myopia makes 66.4% in Lithuania. We detected significant associations between the combinations of GJD2 CC and RASGRF1 GT and odds ratio of developing myopia. PMID: 29793445
- Study shows that human outer retina displays a diverse cohort of connexin 36 gap junctions that follows the general mammalian scheme and display a great functional diversity. PMID: 26173976
- Sparse punctate Cx36 expression was seen in the myenteric plexus in nerve trunks and some platelet-derived growth factor receptor-alpha-positive cell and interstitial cells of Cajal fibers in patients with Hirschsprung's disease. PMID: 27916369
- Genetic variants in ZC3H11B, RSPO1, and GJD2 are associated with susceptibility to the development of high myopia in a Han Chinese population. PMID: 26485405
- It was shown that the decreased level of the examined neuronal proteins was accompanied by the impaired coexpression of synaptophysin/neurofilaments and Cx36 in the series of astrocytomas--anaplastic astrocytomas--glioblastomas. PMID: 26226778
- In this study, there was no association of the analyzed SNPs located in RASGRF1. GJD2, and ACTC1 with pathological myopia. PMID: 23834555
- Three SNP alleles in BRD2, Cx-36, and ME2 and microdeletions in 15q13.3, 15q11.2, and 16p13.11 also contribute risk to juvenile myclonic epilepsy. PMID: 23756480
- Cx36 GJs are highly cation-selective and should exhibit relatively low permeability to numerous vital negatively charged metabolites and high permeability to potassium ion, a major charge carrier in cell-cell communication. PMID: 22752717
- A polymorphism of Cx36 gene is associated to certain forms of human diabetes PMID: 22288100
- connexin genes Gjd2 coding for mCx36, Gjc1 coding for mCx45 and Gja10 coding for mCx57 in the mouse, a subset of 4 connexin genes, including the unique GJA9 (Cx59) and GJA10 (Cx62), could be detected at least as transcript isoforms in the human retina. PMID: 20979653
- Variations in GJD2 is associated with refractive errors and myopia. PMID: 20835239
- Mutations in the calcium-binding motifs of CDH23 and the 35delG mutation in GJB2 cause hearing loss in one family PMID: 12522556
- connexin 36 expression is regulated by the transcriptional repressor NRSF/REST PMID: 14565956
- 35delG mutation of the GJB2 gne is a risk for deafness PMID: 15083701
- Results of reporter gene analysis of Cx36 expression in transgenic mice suggest that Cx36 has functional roles not only in several types of neurons in the retina and central nervous system but also in excitable cells of the pancreas and adrenal gland. PMID: 15116387
- significant association between juvenile myoclonic epilepsy and a Polymorphism, Single Nucleotide within exon 2 of CX36. PMID: 15235036
- Intercellular coupling occurs between neuronal and microglial populations through Cx36 gap junctions; This has important implications for normal neural physiology and microglial responses in neuronopathology in the mammalian CNS. PMID: 16211561
- The present results provide confirmatory evidence for an allelic and genotypic association of the CX36 gene with juvenile myoclonic epilepsy. PMID: 16876983
- Beta cells are extensively coupled within pancreatic islets via exchanges of mostly positively charged molecules across Cx36 channels. PMID: 17828386
- The data show that Cx36 is a native protein of human pancreatic islets, which mediates the coupling of the insulin-producing beta-cells, and contributes to control beta-cell function by modulating gene expression. PMID: 19000992
- CaMKII and Cx36 were shown to be significantly colocalized in the inferior olive, a brainstem nucleus highly enriched in electrical synapses, indicating physical proximity of these proteins PMID: 19095792
- ZO-2 may serve to anchor regulatory proteins at gap junctions composed of Cx36. PMID: 19418635
顯示更多
收起更多
-
亞細胞定位:Cell membrane; Multi-pass membrane protein. Cell junction, gap junction.
-
蛋白家族:Connexin family, Delta-type subfamily
-
組織特異性:Highly expressed in neurons.
-
數據庫鏈接:
Most popular with customers
-
-
YWHAB Recombinant Monoclonal Antibody
Applications: ELISA, WB, IHC, IF, FC
Species Reactivity: Human, Mouse, Rat
-
Phospho-YAP1 (S127) Recombinant Monoclonal Antibody
Applications: ELISA, WB, IHC
Species Reactivity: Human
-
-
-
-
-















