GJB6 Antibody
-
中文名稱:GJB6兔多克隆抗體
-
貨號:CSB-PA551964
-
規格:¥1100
-
圖片:
-
The image on the left is immunohistochemistry of paraffin-embedded Human brain tissue using CSB-PA551964(GJB6 Antibody) at dilution 1/60, on the right is treated with synthetic peptide. (Original magnification: ×200)
-
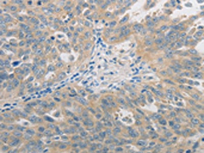
The image on the left is immunohistochemistry of paraffin-embedded Human ovarian cancer tissue using CSB-PA551964(GJB6 Antibody) at dilution 1/60, on the right is treated with synthetic peptide. (Original magnification: ×200)
-
Gel: 10%SDS-PAGE, Lysate: 24 μg, Lane: 293T cells, Primary antibody: CSB-PA551964(GJB6 Antibody) at dilution 1/1040, Secondary antibody: Goat anti rabbit IgG at 1/8000 dilution, Exposure time: 2 minutes
-
-
其他:
產品詳情
-
Uniprot No.:
-
基因名:GJB6
-
別名:GJB6; Gap junction beta-6 protein; Connexin-30; Cx30
-
宿主:Rabbit
-
反應種屬:Human,Mouse
-
免疫原:Synthetic peptide of Human GJB6
-
免疫原種屬:Homo sapiens (Human)
-
標記方式:Non-conjugated
-
抗體亞型:IgG
-
純化方式:Antigen affinity purification
-
濃度:It differs from different batches. Please contact us to confirm it.
-
保存緩沖液:-20°C, pH7.4 PBS, 0.05% NaN3, 40% Glycerol
-
產品提供形式:Liquid
-
應用范圍:ELISA,WB,IHC
-
推薦稀釋比:
Application Recommended Dilution ELISA 1:1000-1:5000 WB 1:1000-1:5000 IHC 1:50-1:150 -
Protocols:
-
儲存條件:Upon receipt, store at -20°C or -80°C. Avoid repeated freeze.
-
貨期:Basically, we can dispatch the products out in 1-3 working days after receiving your orders. Delivery time maybe differs from different purchasing way or location, please kindly consult your local distributors for specific delivery time.
-
用途:For Research Use Only. Not for use in diagnostic or therapeutic procedures.
相關產品
靶點詳情
-
功能:One gap junction consists of a cluster of closely packed pairs of transmembrane channels, the connexons, through which materials of low MW diffuse from one cell to a neighboring cell.
-
基因功能參考文獻:
- results showed the A88V and G11R mutants of GJB6 may activate the downstream execution factor, caspase-3, through the extrinsic apoptotic pathway mediated by caspase-8 and the intrinsic apoptotic pathway mediated by caspase-9; study provides further clarification on mechanisms underlying the effect of mutant variants A88V and G11R of the GJB6 gene on the induction of HaCaT cell apoptosis PMID: 30043857
- Investigation of stemness-related CD133 and cMyc in human samples and rat xenografts exhibited a reciprocal relationship between Cx30 and IGF-1R in the low and high grades (HG) of glioma. Cx30 was completely abolished in HG; levels of IGF-1R, CD133 and cMyc expression were positively correlated with HG. Cx30 transfection could attenuate the malignant burden of glioma in rat xenografts. PMID: 28875331
- Genotype may affect deafness severity, but environmental and other genetic factors may also modulate the severity and evolution of GJB2-GJB6 deafness. PMID: 29106882
- data reveals that a recurrent mutation p.A88V in GJB6 played a pathogenic role in a large Chinese family and emphasizes the importance of gene test in this congenital disorder PMID: 27137747
- Cx26 and Cx30 proteins thus seem not to be co-expressed but to form closely associated assemblies of gap junction plaques. PMID: 26941236
- del(GJB6-D13S1854) was highly prevalent in this sample of deaf Syrian families. PMID: 28012540
- identification and functional characterization of a new Cx30 mutation in a family with hearing impairment in association with previously unreported skin anomalies PMID: 26620415
- Screening of GJB6 gene large deletions among Syrians with congenital hearing impairment. PMID: 25989237
- results suggest that SNPs present in the GJB2 and GJB6 genes may have an influence on ARNSHL in humans. PMID: 26075227
- found that connexin 26 (Cx26) and Cx30 GJs readily diffuse within the plaque structures, whereas Cx43 GJs remain persistently immobile for more than 2 min after bleaching PMID: 26265468
- GJB6 deletions were not detected. PMID: 25288386
- An absence of GJB6 mutations and low frequency of SLC26A4 mutations suggest that additional genetic factors may contribute to nonsyndromic hearing loss in India. PMID: 26188157
- Results show high mRNA and protein levels for Cx43 and Cx30 in breast cancer but they are correlated with improved and bad outcome respectively suggesting that they may serve as prognostic markers in breast cancer. PMID: 25383624
- Mutations in GJB2, GJB6 and GJA1 are not a major cause of non-syndromic deafness in black Africans PMID: 26046157
- study found A c.31G>A (p.G11R) missense mutation in GJB6 gene is the genotypic characteristic for hidrotic ectodermal dysplasia in Chinese population PMID: 23981984
- A new extended deletion in the GJB2 and GJB6 gene sequences (approximately 101 kb in size; NC_000013.10:g.20,757,021_20,858,394del), detected in three unrelated Russian patients, was described and characterized. PMID: 25715449
- Mutations in GJB6 and GJA1 are not a major cause of nonsyndromic deafness in this group of Africans from Cameroon and South Africa. there is no sufficient evidence to support their testing in a clinical setting for individuals of African ancestry. PMID: 24785695
- We found a great variety of mutations depending on the analyzed region in patients with SNHL; 57.86% of patients had affection in one or two alleles in GJB2 or GJB6 genes whereas 42.14% were wild-type. In some cases, allele distribution depended on region PMID: 24774219
- In a cohort of Slovakian cochlear implant users, GJB6 deletion delD13S1830 was identified in only one subject of 131, in double heterozygosity with a GJB6 mutation. PMID: 23700267
- In a cohort of patients with mild to profound autosomal recessive sensorineural hypoacusis, 1% exhibited compound heterozygosis for GJB6-D13S1830 deletion and 35delG/GJB2. PMID: 23553242
- None of the most common types of deletions in the GJB2 gene (c.35delG, c.167delT or c.235delC) were found in this large cohort of deaf children from Uganda PMID: 24706568
- GJB2 mutation is not a significant gene in patients diagnosed with hearing loss in subsaharan Africa. PMID: 21392827
- increased expression in Dupuytren's disease PMID: 24359029
- Significant heterogeneity was observed in the alleles and patterns of NSHI inheritance among the subjects studied PMID: 23684175
- Clouston syndrome with heterozygous GJB6 mutation p.Ala88Val and GJB2 variant p.Val27Ile revealing mild sensorineural hearing loss and photophobia in 24 year old Japanese female PMID: 23863883
- these results showed thatc.35delG is the most common but not the only GJB2 mutation and that the del(GJB6-del D13S1830) is absent in our cohort. PMID: 23434199
- We identified a recurrent heterozygous mutation c.31G>C (p.Gly11Arg) in the GJB6 gene in the Lebanese-German family with Clouston syndrome. PMID: 23219093
- In this work, the screening of 77 patients did not reveal the delGJB6-D13S1830 mutation and our results cannot suggest risk of hearing impairment due to this mutation in our population. PMID: 23503914
- the 35delG mutation was detected in 12 (12.7 per cent): 10 (83.3 per cent) were homozygous and 2 (16.7 per cent) heterozygous mutant. The 167delT and del(GJB6-D13S1830) mutations were not detected. PMID: 23171692
- Genetic analyses of the GJB2 and GJB6 genes indicated that similar pathological genotypes, occurring with similar frequencies, may be responsible for both progressive and non-progressive hearing loss. PMID: 22704424
- GJB3 and GJB6 genetic variants are associated with the pathogenicity of nonsyndromic sensorineural hearing loss. PMID: 22617145
- Twenty subjects (59%) had a family history of HL, with 26% specifically reporting familial unilateral HL. Mutational screening revealed sequence variants in the GJB2, GJB3, TECTA, and COCH genes. Two novel mutations were detected in COCH and TECTA. PMID: 22534022
- in Cx30, positively charged Glu49 residues establish a potential barrier within the fully open channel PMID: 22292956
- GJB6 del(GJB6-D13S1830) mutation was not detected in any of Non-syndromic hearing loss samples PMID: 22281373
- Study found no mutations in GJB6 or POU3F4 in nonsyndromic Tibetan Chinese patients with hearing impairment. PMID: 22389666
- GJB6 deletion and A1555G mutation account for a minor proportion of nonsyndromic sensorineural hearing loss in the Qatari population PMID: 22103400
- GJB6 mutations is not a common cause of sensorineural hearing loss among chinese population. PMID: 22186156
- A neonatal hearing screening program in Campania, Italy did not find any incidence of GJB6 or GJB3 mutations. PMID: 21916817
- study concludes the hearing loss in probands with the del(GJB6-D13S1854) deletion (and a heterozygous mutation in GJB2) results from a lack of functional Cx26 protein; results are supportive of presence of GJB2 cis-regulatory element(s) upstream GJB6 PMID: 21738759
- All students with association GJB2 mutation and GJB6 showed severe to profound hearing loss in both ears. PMID: 22106692
- The p.A40V mutation in CX30 causes autosomal-dominant nonsyndromic hearing loss. PMID: 21731760
- mutations in the GJB6 gene are unlikely to be a major cause of non-syndromic deafness in Asian Indians PMID: 21227513
- Some GJB2, GJB3, and GJB6 mutations occurred in deaf students. PMID: 18338563
- Heterozygote mutation carriers had less hearing impairment, but most other factors demonstrated no differences. These results support the theory of an unidentified genetic factor contributing to hearing loss in some heterozygote carriers. PMID: 21287563
- analysis of GJB2 and GJB6 mutations in Southeastern Brazilians with hereditary nonsyndromic deafness PMID: 20563649
- Mutation of GJB6 gene is infrequent in the Chinese non-syndromic hearing-loss population. PMID: 17438853
- The frequency of 35delG/GJB2 and del (D13S1830/GJB6) alleles in patients with-non-syndromic deafness was 7.8% and 0.65%, respectively. PMID: 20835527
- The generation and characterization of a mouse model for human bilateral middle/high-frequency hearing loss based on the substitution of an evolutionarily conserved threonine by a methionine at position 5 near the N-terminus of Cx30, is described. PMID: 20858605
- These results indicate that the expression of connexin 30 is a novel differentiation marker mediating the biological behavior of intestinal phenotype gastric cancer. PMID: 21116114
- GJB6-associated deafness was correlated with better oral outcomes in Portuguese cochlear implant users PMID: 20650534
顯示更多
收起更多
-
相關疾病:Ectodermal dysplasia 2, Clouston type (ECTD2); Deafness, autosomal recessive, 1B (DFNB1B); Deafness, autosomal dominant, 3B (DFNA3B)
-
亞細胞定位:Cell membrane; Multi-pass membrane protein. Cell junction, gap junction.
-
蛋白家族:Connexin family, Beta-type (group I) subfamily
-
數據庫鏈接:
Most popular with customers
-
-
YWHAB Recombinant Monoclonal Antibody
Applications: ELISA, WB, IHC, IF, FC
Species Reactivity: Human, Mouse, Rat
-
-
-
-
-
-















