GIT1 Antibody
-
中文名稱:GIT1兔多克隆抗體
-
貨號:CSB-PA009439LA01HU
-
規格:¥440
-
圖片:
-
Western Blot
Positive WB detected in: Mouse brain tissue
All lanes: GIT1 antibody at 3.5μg/ml
Secondary
Goat polyclonal to rabbit IgG at 1/50000 dilution
Predicted band size: 85, 20, 86 kDa
Observed band size: 85 kDa -
Immunohistochemistry of paraffin-embedded human thyroid tissue using CSB-PA009439LA01HU at dilution of 1:100
-
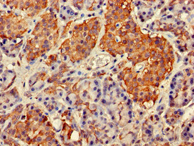
Immunohistochemistry of paraffin-embedded human pancreatic tissue using CSB-PA009439LA01HU at dilution of 1:100
-
Immunofluorescent analysis of Hela cells using CSB-PA009439LA01HU at dilution of 1:100 and Alexa Fluor 488-congugated AffiniPure Goat Anti-Rabbit IgG(H+L)
-
-
其他:
產品詳情
-
產品名稱:Rabbit anti-Homo sapiens (Human) GIT1 Polyclonal antibody
-
Uniprot No.:
-
基因名:
-
別名:ARF GAP GIT1 antibody; ARF GTPase activating protein GIT1 antibody; ARF GTPase-activating protein GIT1 antibody; CAT 1 antibody; CAT-1 antibody; CaT1 antibody; Cool associated and tyrosine phosphorylated protein 1 antibody; Cool-associated and tyrosine-phosphorylated protein 1 antibody; G protein coupled receptor kinase interacting ArfGAP 1 antibody; G protein coupled receptor kinase interactor 1 antibody; G protein-coupled receptor kinase-interactor 1 antibody; GIT1 antibody; GIT1_HUMAN antibody; GRK interacting protein 1 antibody; GRK-interacting protein 1 antibody
-
宿主:Rabbit
-
反應種屬:Human, Mouse
-
免疫原:Recombinant Human ARF GTPase-activating protein GIT1 protein (470-642AA)
-
免疫原種屬:Homo sapiens (Human)
-
標記方式:Non-conjugated
本頁面中的產品,GIT1 Antibody (CSB-PA009439LA01HU),的標記方式是Non-conjugated。對于GIT1 Antibody,我們還提供其他標記。見下表:
-
克隆類型:Polyclonal
-
抗體亞型:IgG
-
純化方式:>95%, Protein G purified
-
濃度:It differs from different batches. Please contact us to confirm it.
-
保存緩沖液:Preservative: 0.03% Proclin 300
Constituents: 50% Glycerol, 0.01M PBS, pH 7.4 -
產品提供形式:Liquid
-
應用范圍:ELISA, WB, IHC, IF
-
推薦稀釋比:
Application Recommended Dilution WB 1:500-1:5000 IHC 1:20-1:200 IF 1:50-1:200 -
Protocols:
-
儲存條件:Upon receipt, store at -20°C or -80°C. Avoid repeated freeze.
-
貨期:Basically, we can dispatch the products out in 1-3 working days after receiving your orders. Delivery time maybe differs from different purchasing way or location, please kindly consult your local distributors for specific delivery time.
-
用途:For Research Use Only. Not for use in diagnostic or therapeutic procedures.
相關產品
靶點詳情
-
功能:GTPase-activating protein for ADP ribosylation factor family members, including ARF1. Multidomain scaffold protein that interacts with numerous proteins and therefore participates in many cellular functions, including receptor internalization, focal adhesion remodeling, and signaling by both G protein-coupled receptors and tyrosine kinase receptors. Through PAK1 activation, positively regulates microtubule nucleation during interphase. Plays a role in the regulation of cytokinesis; for this function, may act in a pathway also involving ENTR1 and PTPN13. May promote cell motility both by regulating focal complex dynamics and by local activation of RAC1. May act as scaffold for MAPK1/3 signal transduction in focal adhesions. Recruits MAPK1/3/ERK1/2 to focal adhesions after EGF stimulation via a Src-dependent pathway, hence stimulating cell migration. Plays a role in brain development and function. Involved in the regulation of spine density and synaptic plasticity that is required for processes involved in learning. Plays an important role in dendritic spine morphogenesis and synapse formation. In hippocampal neurons, recruits guanine nucleotide exchange factors (GEFs), such as ARHGEF7/beta-PIX, to the synaptic membrane. These in turn locally activate RAC1, which is an essential step for spine morphogenesis and synapse formation. May contribute to the organization of presynaptic active zones through oligomerization and formation of a Piccolo/PCLO-based protein network, which includes ARHGEF7/beta-PIX and FAK1. In neurons, through its interaction with liprin-alpha family members, may be required for AMPA receptor (GRIA2/3) proper targeting to the cell membrane. In complex with GABA(A) receptors and ARHGEF7, plays a crucial role in regulating GABA(A) receptor synaptic stability, maintaining GPHN/gephyrin scaffolds and hence GABAergic inhibitory synaptic transmission, by locally coordinating RAC1 and PAK1 downstream effector activity, leading to F-actin stabilization. May also be important for RAC1 downstream signaling pathway through PAK3 and regulation of neuronal inhibitory transmission at presynaptic input. Required for successful bone regeneration during fracture healing. The function in intramembranous ossification may, at least partly, exerted by macrophages in which GIT1 is a key negative regulator of redox homeostasis, IL1B production, and glycolysis, acting through the ERK1/2/NRF2/NFE2L2 axis. May play a role in angiogenesis during fracture healing. In this process, may regulate activation of the canonical NF-kappa-B signal in bone mesenchymal stem cells by enhancing the interaction between NEMO and 'Lys-63'-ubiquitinated RIPK1/RIP1, eventually leading to enhanced production of VEGFA and others angiogenic factors. Essential for VEGF signaling through the activation of phospholipase C-gamma and ERK1/2, hence may control endothelial cell proliferation and angiogenesis.
-
基因功能參考文獻:
- There is significant interaction effects of the GIT1 and DRD4 gene variants on impulsivity in Attention Deficit Hyperactivity Disorder. PMID: 28948080
- We show that GIT1, which also contains an ANK domain, inhibits the Notch1-Dll4 signaling pathway by competing with Notch1 ANK domain for binding to RBP-J in stalk cells PMID: 27926858
- we discuss recent findings in key physiological systems that exemplify current understanding of the function of this important regulatory complex. Further, we draw attention to gaps in crucial information that remain to be filled to allow a better understanding of the many roles of the GIT-PIX complex in health and disease PMID: 27182061
- interactions between Cat-1 and its binding partner paxillin are necessary to ensure sufficient Akt activation so that cancer cells are able to grow under anchorage-independent conditions PMID: 28100775
- In astrocytes and neural stem cells, we identified G-protein-coupled receptor kinase-interacting protein 1 (GIT1) as a novel mTOR-binding protein, creating a unique mTOR complex lacking Raptor and Rictor PMID: 27340174
- miR-195 inhibits chondrocyte migration through targeted regulation of GIT1 expression. PMID: 27922692
- MiR-491 has a role in attenuating cancer stem cells-like properties of hepatocellular carcinoma by inhibition of GIT-1/NF-kappaB-mediated EMT PMID: 26188902
- Data show that G-protein-coupled receptor kinase-interacting protein 1 (GIT1) and semaphorin 4C (SEMA4C) were found to have putative microRNA miR-138 binding sites in their 3' untranslated region (3'UTRs). PMID: 26283050
- Data show association of G protein-coupled receptor kinase-interacting protein 1 (GIT1), p21-activated kinase interacting exchange factor (betaPIX), and p21 protein (Cdc42/Rac)-activated kinase 1 (PAK1) with centrosomes. PMID: 27012601
- Results suggested that cyclic phosphorylation-dephosphorylation at Tyr- 554 of Git1 was crucial for dynamic interactions between Git1 and paxillin/Hic-5 in order to ensure coordinated cell motility. PMID: 25742295
- GIT1/betaPIX/Rac1/PAK pathway plays a crucial role in regulating GABA(A)R synaptic stability and hence inhibitory synaptic transmission with important implications for inhibitory plasticity and information processing in the brain. PMID: 25284783
- Results show that GIT1 is targeted by miR-149 to suppress breast cancer cell migration/invasion and metastasis. PMID: 24608434
- miRNA-491-5p and GIT1 serve as modulators and biomarkers for oral squamous cell carcinoma invasion and metastasis. PMID: 24335959
- GIT1-cortactin association through GIT1-Spa homology domain is required for cortactin localization to the leading edge and is essential for endothelial cell directional migration and tumor angiogenesis. PMID: 24265417
- GIT1 SNP rs550818 is not associated with ADHD in the Brazilian sample. PMID: 22897819
- novel roles for Cat-1 and its interactions with the Arf GTPases and paxillin in oncogenic transformation. PMID: 22807447
- Rac1 affects small GTPase Arf6 via the Arf GTPase-activating protein, GIT1, as key downstream components of the signaling pathway underlying Ras-induced non-apoptotic cell death. PMID: 20713492
- an intronic single-nucleotide polymorphism in GIT1, the minor allele of which causes reduced GIT1 expression, shows a strong association with ADHD susceptibility PMID: 21499268
- The CC domain of ERK1/2 is necessary for binding to GIT1, for ERK1/2 activation in focal adhesions, and for cell spreading and migration. PMID: 19947948
- MYO18A is a novel binding partner of the PAK2/betaPIX/GIT1 complex and suggest that MYO18A may play an important role in regulating epithelial cell migration via affecting multiple cell machineries. PMID: 19923322
- GIT1 functions in a motile, multi-molecular signaling complex that regulates membrane protrusions and cell migration. PMID: 11896197
- GIT1 is a novel regulator of PLCgamma function that mediates PLCgamma activation by c-Src and integrates signal transduction by GPCRs and TKRs PMID: 14523024
- GIT1 is a novel mediator in agonist-dependent signaling in ECs. GIT1 is involved in cell shape changes and may have a role as a negative feedback regulator that augments recovery of cell contraction. PMID: 15016733
- A protein interaction network links GIT1, an enhancer of huntingtin aggregation, to Huntington disease. PMID: 15383276
- GIT1 has a role as a scaffold for ERK1/2 activation in focal adhesions PMID: 15923189
- GTI proteins regulate cytoskeletal dynamics by feedback inhibition of Rac1, they participate in receptor internalization by regulating membrane trafficking between the plasma membrane and endosomes. PMID: 16598076
- Mass spectrometry was to used to generate a phosphorylation map og GIT1. PMID: 16825424
- Results suggest that the PAK-PIX-GIT1 complex is critical for Erk-dependent myosin phosphorylation and vascular permeability. PMID: 17429073
- GIT1 utilizes a focal adhesion targeting-homology domain to bind paxillin. PMID: 17467235
- The association of PLCgamma1 with complexes containing GIT1 and beta-Pix is essential for its role in integrin-mediated cell spreading and motility. As a component of this complex, PLCgamma1 is also involved in the activation of Cdc42 and Rac1. PMID: 17562871
- tyrosine phosphorylation of GIT1 by Src kinases may regulate cytoskeletal reorganization downstream of alpha(IIb)beta(3) by bringing the Rac guanine nucleotide exchange factor betaPIX to the vicinity of the integrin PMID: 18211801
- GIT1 mediates VEGF-induced podosome formation in endothelial cells: critical role for PLCgamma. PMID: 19023093
- Rac3 inhibits adhesion and differentiation of neuronal cells by modifying GIT1 downstream signaling. PMID: 19494130
- Cloning of human GIT1 cDNA, and demonstration of GIT1 interaction with PIX and paxillin proteins. PMID: 10896954
顯示更多
收起更多
-
亞細胞定位:Cytoplasm. Cell junction, synapse. Cell junction, synapse, presynapse. Cell junction, synapse, postsynapse. Cell junction, synapse, postsynaptic density. Cell junction, focal adhesion. Cell projection, lamellipodium. Cytoplasm, cytoskeleton, microtubule organizing center, centrosome. Cytoplasm, cytoskeleton, spindle pole.
-
數據庫鏈接:
Most popular with customers
-
-
YWHAB Recombinant Monoclonal Antibody
Applications: ELISA, WB, IHC, IF, FC
Species Reactivity: Human, Mouse, Rat
-
Phospho-YAP1 (S127) Recombinant Monoclonal Antibody
Applications: ELISA, WB, IHC
Species Reactivity: Human
-
-
-
-
-
VDAC1 Recombinant Monoclonal Antibody
Applications: ELISA, WB, IHC
Species Reactivity: Human, Mouse, Rat















