GGPS1 Antibody
-
中文名稱:GGPS1兔多克隆抗體
-
貨號:CSB-PA009393HA01HU
-
規格:¥440
-
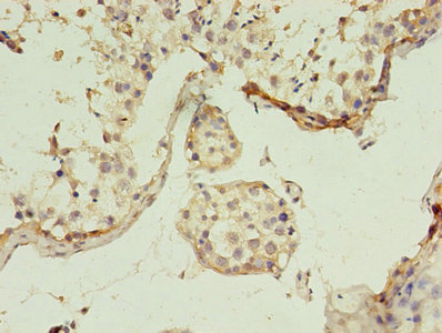
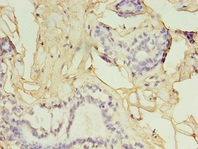
圖片:
-
其他:
產品詳情
-
產品名稱:Rabbit anti-Homo sapiens (Human) GGPS1 Polyclonal antibody
-
Uniprot No.:
-
基因名:GGPS1
-
別名:(2E antibody; 6E)-farnesyl diphosphate synthase antibody; Dimethylallyltranstransferase antibody; Farnesyl diphosphate synthase antibody; Farnesyltranstransferase antibody; Geranylgeranyl diphosphate synthase 1 antibody; Geranylgeranyl diphosphate synthase antibody; Geranylgeranyl pyrophosphate synthase antibody; Geranylgeranyl pyrophosphate synthetase antibody; Geranyltranstransferase antibody; GGPP synthase antibody; GGPP synthetase antibody; GGPPS antibody; GGPPS_HUMAN antibody; GGPPS1 antibody; GGPPSase antibody; GGPS1 antibody; OTTHUMP00000036073 antibody; OTTHUMP00000216161 antibody; OTTHUMP00000216163 antibody; OTTHUMP00000216164 antibody
-
宿主:Rabbit
-
反應種屬:Human
-
免疫原:Recombinant Human Geranylgeranyl pyrophosphate synthase protein (1-300AA)
-
免疫原種屬:Homo sapiens (Human)
-
標記方式:Non-conjugated
本頁面中的產品,GGPS1 Antibody (CSB-PA009393HA01HU),的標記方式是Non-conjugated。對于GGPS1 Antibody,我們還提供其他標記。見下表:
-
克隆類型:Polyclonal
-
抗體亞型:IgG
-
純化方式:>95%, Protein G purified
-
濃度:It differs from different batches. Please contact us to confirm it.
-
保存緩沖液:Preservative: 0.03% Proclin 300
Constituents: 50% Glycerol, 0.01M PBS, PH 7.4 -
產品提供形式:Liquid
-
應用范圍:ELISA, IHC
-
推薦稀釋比:
Application Recommended Dilution IHC 1:20-1:200 -
Protocols:
-
儲存條件:Upon receipt, store at -20°C or -80°C. Avoid repeated freeze.
-
貨期:Basically, we can dispatch the products out in 1-3 working days after receiving your orders. Delivery time maybe differs from different purchasing way or location, please kindly consult your local distributors for specific delivery time.
-
用途:For Research Use Only. Not for use in diagnostic or therapeutic procedures.
相關產品
靶點詳情
-
功能:Catalyzes the trans-addition of the three molecules of IPP onto DMAPP to form geranylgeranyl pyrophosphate, an important precursor of carotenoids and geranylated proteins.
-
基因功能參考文獻:
- results may support a model in which accumulation of susceptibility variants (including some in relevant genes, notably GGPS1) may lead to a possible genetic component of predisposition to atypical femoral fractures. PMID: 28467865
- GGPPS1 may play a critical role during the development of HCC from cirrhosis and is of clinical significance for predicting biological character of HCC. PMID: 24716791
- Egr-1 most likely does not induce the constitutive activation of Erk1/2 through its target gene GGPS1. PMID: 23478574
- the Egr-1/GGPPS/Erk1/2 pathway is responsible for insulin resistance during hyperinsulinism PMID: 21321112
- these results reveal a new EGR-1/GGPPS/MAPK signaling pathway that controls cigarette smoke-induced pulmonary inflammation. PMID: 21224049
- Study suggested that GGPS1 -8188A ins/del polymorphism may confer susceptibility to femoral neck BMD response to bisphosphonate therapy in Korean women. PMID: 20191015
- crystal structure; it reveals that three dimers join together to form a propeller-bladed hexameric molecule with a mass of approximately 200 kDa PMID: 16698791
- Farnesyltranstransferase mutations are associated with lonafarnib resistance PMID: 17536018
- results indicate that the active form of GGPS in the solution is an octamer rather than hexamer or dimer PMID: 17646172
- Evidence for a non-membrane bound isoform of geranylgeranyl diphosphate synthase 1 in rat. PMID: 8419360
顯示更多
收起更多
-
亞細胞定位:Cytoplasm.
-
蛋白家族:FPP/GGPP synthase family
-
組織特異性:Abundantly expressed in testis. Found in other tissues to a lower extent.
-
數據庫鏈接:
Most popular with customers
-
YWHAB Recombinant Monoclonal Antibody
Applications: ELISA, WB, IHC, IF, FC
Species Reactivity: Human, Mouse, Rat
-
Phospho-YAP1 (S127) Recombinant Monoclonal Antibody
Applications: ELISA, WB, IHC
Species Reactivity: Human
-
-
-
-
-
-















